购物车
  • TargetMol
    您的购物车当前为空

Anti-HK2 Polyclonal Antibody

Synonyms: HXK2, HKII
货号 TMAB-00868 一键复制产品信息
Rating icon 还可以

Anti-HK2 Polyclonal Antibody 是一种 Rabbit 抗体,靶向 HK2。Anti-HK2 Polyclonal Antibody 可用于 IF, IHC-Fr, IHC-P, WB。

Anti-HK2 Polyclonal Antibody

一键复制产品信息
Rating icon 还可以
货号 TMAB-00868

别名 HXK2, HKII

Anti-HK2 Polyclonal Antibody 是一种 Rabbit 抗体,靶向 HK2。Anti-HK2 Polyclonal Antibody 可用于 IF, IHC-Fr, IHC-P, WB。

Anti-HK2 Polyclonal Antibody
规格价格库存数量
50 μL
¥ 1,165
5日内发货
100 μL
¥ 1,960
5日内发货
200 μL
¥ 2,790
5日内发货
库存状态实时更新,以官网显示为准,现货产品可直接加购物车下单
大包装 & 定制
加入购物车

TargetMol的所有产品仅用作科学研究或药证申报,不能被用于人体,我们不向个人提供产品和服务。请您遵守承诺用途,不得违反法律法规规定用于任何其他用途。

实验操作小课堂
常见问题解答
查看更多

资源下载:产品操作手册

产品介绍


生物活性
产品描述
Anti-HK2 Polyclonal Antibody is a Rabbit antibody targeting HK2. Anti-HK2 Polyclonal Antibody can be used in IF, IHC-Fr, IHC-P, WB.
别名
HXK2, HKII
Ig Type
IgG
反应种属
Human,Mouse (predicted:Rat,Dog,Pig,Cow,Rabbit,Sheep)
验证活性
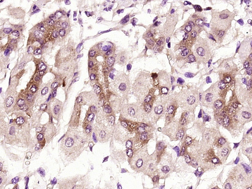
1. Paraformaldehyde-fixed, paraffin embedded (Mouse stomach); Antigen retrieval by boiling in sodium citrate buffer (pH6.0) for 15 min; Block endogenous peroxidase by 3% hydrogen peroxide for 20 min; Blocking buffer (normal goat serum) at 37°C for 30 min; Antibody incubation with (Hexokinase 2) Polyclonal Antibody, Unconjugated (TMAB-00868) at 1:400 overnight at 4°C, followed by operating according to SP Kit (Rabbit) instructionsand DAB staining.
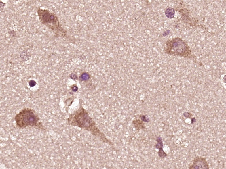
2. Paraformaldehyde-fixed, paraffin embedded (Human brain glioma); Antigen retrieval by boiling in sodium citrate buffer (pH6.0) for 15 min; Block endogenous peroxidase by 3% hydrogen peroxide for 20 min; Blocking buffer (normal goat serum) at 37°C for 30 min; Antibody incubation with (Hexokinase 2) Polyclonal Antibody, Unconjugated (TMAB-00868) at 1:400 overnight at 4°C, followed by operating according to SP Kit (Rabbit) instructionsand DAB staining.
3. Sample:
Heart (Mouse) Lysate at 40 μg
Muscle (Mouse) Lysate at 40 μg
Primary: Anti-Hexokinase II (TMAB-00868) at 1/300 dilution
Secondary: IRDye800CW Goat Anti-Rabbit IgG at 1/20000 dilution
Predicted band size: 102 kDa
Observed band size: 102 kDa
verifiedActivityverifiedActivityverifiedActivity
应用IFIHC-FrIHC-PWB
推荐剂量
IF=1:100-500; IHC-Fr=1:100-500; IHC-P=1:100-500; WB=1:500-2000
抗体种类
Polyclonal
宿主来源Rabbit
亚细胞定位Mitochondrion outer membrane. Its hydrophobic N-terminal sequence may be involved in membrane binding.
组织特异性Predominant hexokinase isozyme expressed in insulin-responsive tissues such as skeletal muscle.
构建方式Polyclonal Antibody
纯化方式Protein A purified
性状Liquid
缓冲液0.01M TBS (pH7.4) with 1% BSA, 0.02% Proclin300 and 50% Glycerol.
浓度1 mg/mL
研究背景The hexokinases utilize Mg-ATP as a phosphoryl donor to catalyze the first step of intracellular glucose metabolism, the conversion of glucose to glucose-6-phosphate. Four hexokinase isoenzymes have been identified, including hexokinase I (HXK I), hexokinase II (HXK II), hexokinase III (HXK III) and hexokinase IV (HXK IV, also designated glucokinase or GCK). Hexokinases I-III each contain an N-terminal cluster of hydrophobic amino acids. Glucokinase lacks the N-terminal hydrophobic cluster. The hydrophobic cluster is thought to be necessary for membrane binding. This is substantiated by the finding that glucokinase has lower affinity for glucose than do the other hexokinases. HXK I has been shown to be expressed in brain, kidney and heart tissues as well as in hepatoma cell lines. HXK II is involved in the uptake and utilization of glucose by adipose and skeletal tissues. Of the hexokinases, HXK III has the highest affinity for glucose. Glucokinase is expressed in pancreatic beta cells where it functions as a glucose sensor, determining the “set point” for insulin secretion.
抗原信息
免疫原
KLH conjugated synthetic peptide: human Hexokinase II/HxK2
抗原种属
Human
基因名称
HK2
基因ID
蛋白名称
Hexokinase-2
Uniprot ID
研究领域
Metabolism of carbohydrates,Cardiac metabolism,Carbohydrate metabolism,Energy Metabolism,Energy Metabolism
功能
Predominant hexokinase isozyme expressed in insulin-responsive tissues such as skeletal muscle.
化学信息
分子量Theoretical: 102 kDa. Actual: 102 kDa.
储存&溶解度
储存方式Store at -20°C or -80°C for 12 months. Avoid repeated freeze-thaw cycles.
运输方式Shipping with blue ice.

计算器

  • 稀释 计算器
  • 配液 计算器

关键词

Related Tags: buy Anti-HK2 Polyclonal Antibody | purchase Anti-HK2 Polyclonal Antibody | Anti-HK2 Polyclonal Antibody cost | order Anti-HK2 Polyclonal Antibody | Anti-HK2 Polyclonal Antibody molecular weight