• TargetMol
    您的购物车当前为空

Anti-HIST1H1C Antibody (3S922)

一键复制产品信息
Rating icon 还可以
货号 TMAC-01841

别名 Histone H1s-1, Histone H1d, Histone H1c, Histone H1.2, H1F2

Anti-HIST1H1C Antibody (3S922) 是一种 Rabbit 抗体,靶向 HIST1H1C。Anti-HIST1H1C Antibody (3S922) 可用于 ChIP,ICC,IF,IHC,WB。

Anti-HIST1H1C Antibody (3S922)

Anti-HIST1H1C Antibody (3S922)

一键复制产品信息
Rating icon 还可以
货号 TMAC-01841 别名 Histone H1s-1, Histone H1d, Histone H1c, Histone H1.2, H1F2

Anti-HIST1H1C Antibody (3S922) 是一种 Rabbit 抗体,靶向 HIST1H1C。Anti-HIST1H1C Antibody (3S922) 可用于 ChIP,ICC,IF,IHC,WB。

规格价格库存数量
50 μL
¥ 1,485
5日内发货
100 μL
¥ 2,485
5日内发货
库存状态实时更新,以官网显示为准,现货产品可直接加购物车下单
大包装 & 定制
加入购物车
TargetMol的所有产品仅用作科学研究或药证申报,不能被用于人体,我们不向个人提供产品和服务。请您遵守承诺用途,不得违反法律法规规定用于任何其他用途。
实验操作小课堂
常见问题解答
查看更多
资源下载:

产品介绍


生物活性
产品描述
Anti-HIST1H1C Antibody (3S922) is a Rabbit antibody targeting HIST1H1C. Anti-HIST1H1C Antibody (3S922) can be used in ChIP,ICC,IF,IHC,WB.
别名Histone H1s-1, Histone H1d, Histone H1c, Histone H1.2, H1F2
Ig Type
IgG
克隆号
3S922
反应种属
Human,Mouse,Rat
验证活性
1. Western blot analysis of Histone H1.2 on different cell lysates using anti-Histone H1.2 antibody at 1/500 dilution. Positive control: Lane 1: Hela, Lane 2: 293, Lane 3: MCF-7.
2. Western blot analysis of Histone H1.2 on Rat liver and Mouse lung tissue lysates using anti-Histone H1.2 antibody at 1/500 dilution.
3. Immunohistochemical analysis of paraffin-embedded mouse colon tissue using anti-Histone H1.2 antibody. The section was pre-treated using heat mediated antigen retrieval with sodium citrate buffer (pH6) for 20 mins. Counter stained with hematoxylin.
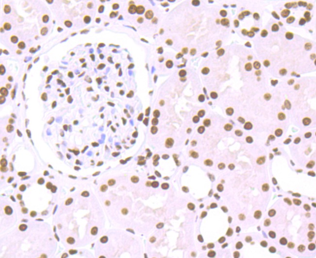
4. Immunohistochemical analysis of paraffin-embedded human kidney tissue using anti-Histone H1.2 antibody. The section was pre-treated using heat mediated antigen retrieval with sodium citrate buffer (pH6) for 20 mins. Counter stained with hematoxylin.
5. Immunohistochemical analysis of paraffin-embedded mouse colon tissue using anti-Histone H1.2 antibody. The section was pre-treated using heat mediated antigen retrieval with sodium citrate buffer (pH6) for 20 mins. Counter stained with hematoxylin.
6. ICC staining Histone H1.2 in Hela cells (green). The nuclear counter stain is DAPI (blue). Cells were fixed in paraformaldehyde, permeabilised with 0.25% Triton X100/PBS.
7. ICC staining Histone H1.2 in PC-3M cells (green). The nuclear counter stain is DAPI (blue). Cells were fixed in paraformaldehyde, permeabilised with 0.25% Triton X100/PBS.
8. ICC staining Histone H1.2 in SK-Br-3 cells (green). The nuclear counter stain is DAPI (blue). Cells were fixed in paraformaldehyde, permeabilised with 0.25% Triton X100/PBS.
verifiedActivityverifiedActivityverifiedActivityverifiedActivityverifiedActivityverifiedActivityverifiedActivityverifiedActivity
应用ChIPICCIFIHCWB
推荐剂量
WB: 1:500-2000; IHC: 1:50-200; ICC: 1:50-100
抗体种类
Monoclonal
宿主来源Rabbit
构建方式Recombinant Antibody
纯化方式ProA affinity purified
性状Liquid
缓冲液1*TBS (pH7.4), 1%BSA, 40%Glycerol. Preservative: 0.05% Sodium Azide.
研究背景Histone H1 protein binds to linker DNA between nucleosomes forming the macromolecular structure known as the chromatin fiber. Histones H1 are necessary for the condensation of nucleosome chains into higher-order structured fibers. Acts also as a regulator of individual gene transcription through chromatin remodeling, nucleosome spacing and DNA methylation.
偶联与修饰
偶联
Unconjugated
抗原信息
免疫原
Recombinant Protein
Uniprot ID
化学信息
分子量Theoretical: 29 kDa.
储存&溶解度
储存方式Store at -20°C or -80°C for 12 months. Avoid repeated freeze-thaw cycles.
运输方式Shipping with blue ice.
存储store at low temperature | -20°C for 1 year

计算器

  • 稀释 计算器
Related Tags: buy Anti-HIST1H1C Antibody (3S922) | purchase Anti-HIST1H1C Antibody (3S922) | Anti-HIST1H1C Antibody (3S922) cost | order Anti-HIST1H1C Antibody (3S922) | Anti-HIST1H1C Antibody (3S922) molecular weight