购物车
  • TargetMol
    您的购物车当前为空

Anti-GSK3B Polyclonal Antibody

Synonyms: GSK-3β, GSK3β, glycogen synthase kinase 3 β, glycogen synthase kinase 3 beta
货号 TMAB-00818 一键复制产品信息
Rating icon 还可以

Anti-GSK3B Polyclonal Antibody 是一种 Mouse 抗体,靶向 GSK3B。Anti-GSK3B Polyclonal Antibody 可用于 IF,IHC-Fr,IHC-P,WB。

Anti-GSK3B Polyclonal Antibody

一键复制产品信息
Rating icon 还可以
货号 TMAB-00818

别名 GSK-3β, GSK3β, glycogen synthase kinase 3 β, glycogen synthase kinase 3 beta

Anti-GSK3B Polyclonal Antibody 是一种 Mouse 抗体,靶向 GSK3B。Anti-GSK3B Polyclonal Antibody 可用于 IF,IHC-Fr,IHC-P,WB。

Anti-GSK3B Polyclonal Antibody
规格价格库存数量
50 μL
¥ 1,165
5日内发货
100 μL
¥ 1,970
5日内发货
200 μL
¥ 2,785
5日内发货
库存状态实时更新,以官网显示为准,现货产品可直接加购物车下单
大包装 & 定制
加入购物车

TargetMol的所有产品仅用作科学研究或药证申报,不能被用于人体,我们不向个人提供产品和服务。请您遵守承诺用途,不得违反法律法规规定用于任何其他用途。

实验操作小课堂
常见问题解答
查看更多

资源下载:产品操作手册

产品介绍


生物活性
产品描述
Anti-GSK3B Polyclonal Antibody is a Mouse antibody targeting GSK3B. Anti-GSK3B Polyclonal Antibody can be used in IF,IHC-Fr,IHC-P,WB.
别名
GSK-3β, GSK3β, glycogen synthase kinase 3 β, glycogen synthase kinase 3 beta
Ig Type
IgG
反应种属
Human,Mouse,Rat
验证活性
1. 25 μg total protein per Lane of various lysates probed with GSK-3 Beta polyclonal antibody, unconjugated (TMAB-00818) at 1:1000 dilution and 4°C overnight incubation. Followed by conjugated secondary antibody incubation at RT for 60 min.
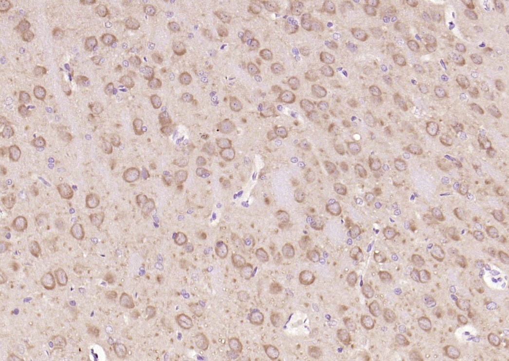
2. Paraformaldehyde-fixed, paraffin embedded Mouse Cerebrum; Antigen retrieval by boiling in sodium citrate buffer (pH6.0) for 15 min; Antibody incubation with GSK-3 beta Monoclonal Antibody, Unconjugated (TMAB-00818) at 1:200 overnight at 4°C, followed by conjugation to the secondary antibody and DAB staining.
3. Paraformaldehyde-fixed, paraffin embedded Rat Cerebrum; Antigen retrieval by boiling in sodium citrate buffer (pH6.0) for 15 min; Antibody incubation with GSK-3 beta Monoclonal Antibody, Unconjugated (TMAB-00818) at 1:200 overnight at 4°C, followed by conjugation to the secondary antibody and DAB staining.
verifiedActivityverifiedActivityverifiedActivity
应用IFIHC-FrIHC-PWB
推荐剂量
WB: 1:500-1000; IHC-P: 1:100-500; IHC-Fr: 1:100-500; IF: 1:100-500
抗体种类
Polyclonal
宿主来源Mouse
亚细胞定位Cytoplasm. Nucleus. Cell membrane. Note=The phosphorylated form shows localization to cytoplasm and cell membrane. The MEMO1-RHOA-DIAPH1 signaling pathway controls localization of the phosophorylated form to the cell membrane.
组织特异性Expressed in testis, thymus, prostate and ovary and weakly expressed in lung, brain and kidney.
构建方式Polyclonal Antibody
纯化方式Protein A purified
性状Liquid
缓冲液0.01M TBS (pH7.4) with 1% BSA, 0.02% Proclin300 and 50% Glycerol.
浓度1 mg/mL
研究背景The protein encoded by this gene is a serine-threonine kinase, belonging to the glycogen synthase kinase subfamily. It is involved in energy metabolism, neuronal cell development, and body pattern formation. Polymorphisms in this gene have been implicated in modifying risk of Parkinson disease, and studies in mice show that overexpression of this gene may be relevant to the pathogenesis of Alzheimer disease. Alternatively spliced transcript variants encoding different isoforms have been found for this gene.[provided by RefSeq, Sep 2009]
抗原信息
免疫原
KLH conjugated synthetic peptide: human GSK-3 Beta
抗原种属
Human
基因名称
GSK3B
基因ID
蛋白名称
Glycogen synthase kinase-3 beta
Uniprot ID
研究领域
Integration of energy metabolism,Metabolism of carbohydrates,Diabetes associated,Hypertrophy,Carbohydrate metabolism,Integration of energy,Cancer,Diabetes,Heart disease,Notch Pathway,Other Kinases,Cytoplasmic,Cytoplasmic
功能
Constitutively active protein kinase that acts as a negative regulator in the hormonal control of glucose homeostasis, Wnt signaling and regulation of transcription factors and microtubules, by phosphorylating and inactivating glycogen synthase (GYS1 or GYS2), EIF2B, CTNNB1/beta-catenin, APC, AXIN1, JUN, NFATC1/NFATC, MAPT/TAU and MACF1. Requires primed phosphorylation of the majority of its substrates. In skeletal muscle, contributes to insulin regulation of glycogen synthesis by phosphorylating and inhibiting GYS1 activity and hence glycogen synthesis. May also mediate the development of insulin resistance by regulating activation of transcription factors. Regulates protein synthesis by controlling the activity of initiation factor 2B (EIF2BE/EIF2B5) in the same manner as glycogen synthase. In Wnt signaling, GSK3B forms a multimeric complex with APC, AXIN1 and CTNNB1/beta-catenin and phosphorylates the N-terminus of CTNNB1 leading to its degradation mediated by ubiquitin/proteasomes. Phosphorylates JUN at sites proximal to its DNA-binding domain, thereby reducing its affinity for DNA. Phosphorylates NFATC1/NFATC on conserved serine residues promoting NFATC1/NFATC nuclear export, shutting off NFATC1/NFATC gene regulation, and thereby opposing the action of calcineurin. Phosphorylates MAPT/TAU on 'Thr-548', decreasing significantly MAPT/TAU ability to bind and stabilize microtubules. MAPT/TAU is the principal component of neurofibrillary tangles in Alzheimer disease. Plays an important role in ERBB2-dependent stabilization of microtubules at the cell cortex. Phosphorylates MACF1, inhibiting its binding to microtubules which is critical for its role in bulge stem cell migration and skin wound repair. Probably regulates NF-kappa-B (NFKB1) at the transcriptional level and is required for the NF-kappa-B-mediated anti-apoptotic response to TNF-alpha (TNF/TNFA). Negatively regulates replication in pancreatic beta-cells, resulting in apoptosis, loss of beta-cells and diabetes. Phosphorylates MUC1 in breast cancer cells, decreasing the interaction of MUC1 with CTNNB1/beta-catenin. Is necessary for the establishment of neuronal polarity and axon outgrowth. Phosphorylates MARK2, leading to inhibit its activity. Phosphorylates SIK1 at 'Thr-182', leading to sustain its activity.
化学信息
分子量Theoretical: 47 kDa. Actual: 45 kDa.
储存&溶解度
储存方式Store at -20°C or -80°C for 12 months. Avoid repeated freeze-thaw cycles.
运输方式Shipping with blue ice.

计算器

  • 稀释 计算器
  • 配液 计算器
Related Tags: buy Anti-GSK3B Polyclonal Antibody | purchase Anti-GSK3B Polyclonal Antibody | Anti-GSK3B Polyclonal Antibody cost | order Anti-GSK3B Polyclonal Antibody | Anti-GSK3B Polyclonal Antibody molecular weight