• TargetMol
    您的购物车当前为空

Anti-GPX4 Antibody (5M410)

一键复制产品信息
Rating icon 还可以
货号 TMAC-01702

别名 snPHGPx, snGPx, PHGPx, NEDSGA, MCSP, GSHPx-4, GPx-4, GLURD, GLUR4C, GLUR4, GluA4

Anti-GPX4 Antibody (5M410) 是一种 Rabbit 抗体,靶向 GPX4。Anti-GPX4 Antibody (5M410) 可用于 IHC,WB。

Anti-GPX4 Antibody (5M410)

Anti-GPX4 Antibody (5M410)

一键复制产品信息
Rating icon 还可以
货号 TMAC-01702 别名 snPHGPx, snGPx, PHGPx, NEDSGA, MCSP, GSHPx-4, GPx-4, GLURD, GLUR4C, GLUR4, GluA4

Anti-GPX4 Antibody (5M410) 是一种 Rabbit 抗体,靶向 GPX4。Anti-GPX4 Antibody (5M410) 可用于 IHC,WB。

规格价格库存数量
50 μL
¥ 1,495
5日内发货
100 μL
¥ 2,495
5日内发货
库存状态实时更新,以官网显示为准,现货产品可直接加购物车下单
大包装 & 定制
加入购物车
TargetMol的所有产品仅用作科学研究或药证申报,不能被用于人体,我们不向个人提供产品和服务。请您遵守承诺用途,不得违反法律法规规定用于任何其他用途。
实验操作小课堂
常见问题解答
查看更多
资源下载:

产品介绍


生物活性
产品描述
Anti-GPX4 Antibody (5M410) is a Rabbit antibody targeting GPX4. Anti-GPX4 Antibody (5M410) can be used in IHC,WB.
别名snPHGPx, snGPx, PHGPx, NEDSGA, MCSP, GSHPx-4, GPx-4, GLURD, GLUR4C, GLUR4, GluA4
Ig Type
IgG
克隆号
5M410
反应种属
Human,Mouse,Rat
验证活性
1. Western blot analysis of GPX4 on different lysates with GPX4 antibody at 1/10,000 dilution, Lane 1: HeLa cell lysate (20 μg/Lane), Lane 2: A549 cell lysate (20 μg/Lane), Lane Observed band size: 20 kDa, Exposure time: 2 minutes; 4-20% SDS-PAGE gel.
2. Western blot analysis of GPX4 on zebrafish tissue lysates with GPX4 antibody at 1/500 dilution. Lysates/proteins at 10 μg/Lane. Predicted band size: 22 kDa, Observed band size: 17 kDa, Exposure time: 2 minutes; 12% SDS-PAGE gel.
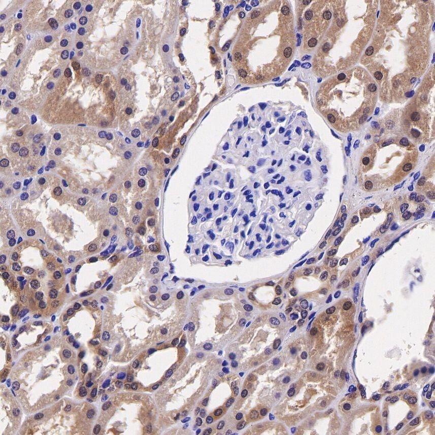
3. Immunohistochemical analysis of paraffin-embedded human kidney tissue with GPX4 antibody at 1/1,000 dilution.
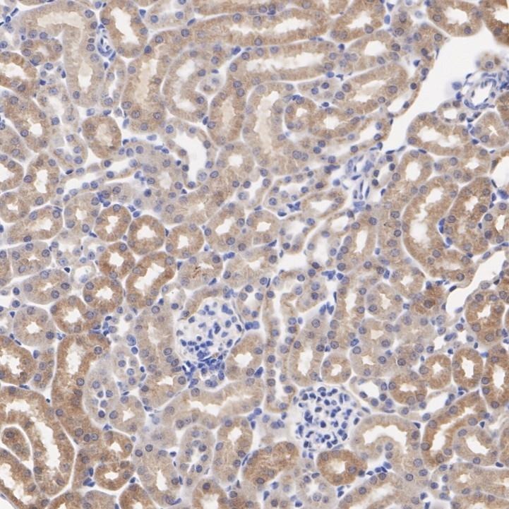
4. Immunohistochemical analysis of paraffin-embedded mouse kidney tissue with GPX4 antibody at 1/1,000 dilution.
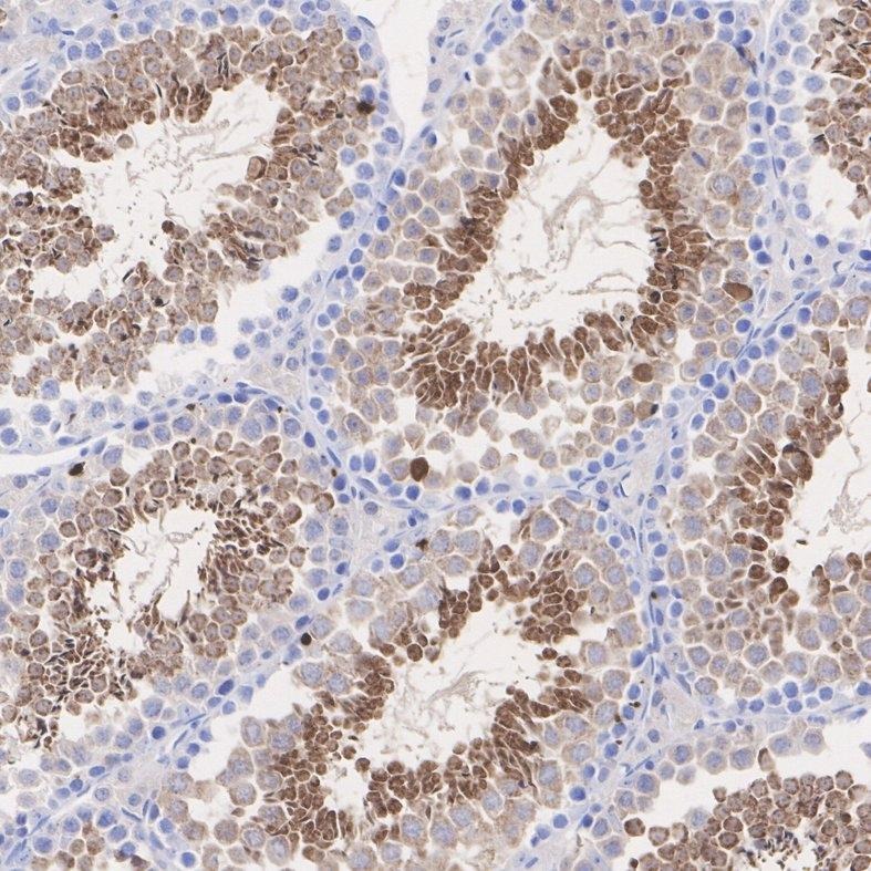
5. Immunohistochemical analysis of paraffin-embedded mouse testis tissue with GPX4 antibody at 1/5,000 dilution.
verifiedActivityverifiedActivityverifiedActivityverifiedActivityverifiedActivity
应用IHCWB
推荐剂量
WB: 1:10000; IHC-P: 1:1000-5000
抗体种类
Monoclonal
宿主来源Rabbit
构建方式Recombinant Antibody
纯化方式ProA affinity purified
性状Liquid
缓冲液1*TBS (pH7.4), 0.05% BSA, 40% Glycerol. Preservative: 0.05% Sodium Azide.
研究背景Glutathione peroxidase (GPx) enzymes are generally selenium-containing tetrameric glycoproteins that help prevent lipid peroxidation of cell membranes. GPx enzymes reduce lipid hydroperoxides to alcohols, and reduce free hydrogen peroxide to water. GPx members are among the few proteins known in higher vertebrates to contain selenocysteine, which occurs at the active site of glutathione peroxidase and is coded by the nonsense (stop) codon TGA. There are eight GPx homologs (GPx-1-8). GPx-1, Gpx-2 and Gpx-3 exist as homotetramers. Gpx-4 has a high tendancy to form high molecular weight oligomers.
偶联与修饰
偶联
Unconjugated
抗原信息
免疫原
A synthesized peptide: within Human GPX4
抗原种属
human
Uniprot ID
化学信息
分子量Theoretical: 22 kDa.
储存&溶解度
储存方式Store at -20°C or -80°C for 12 months. Avoid repeated freeze-thaw cycles.
运输方式Shipping with blue ice.
存储store at low temperature | -20°C for 1 year

计算器

  • 稀释 计算器

关键词

Related Tags: buy Anti-GPX4 Antibody (5M410) | purchase Anti-GPX4 Antibody (5M410) | Anti-GPX4 Antibody (5M410) cost | order Anti-GPX4 Antibody (5M410) | Anti-GPX4 Antibody (5M410) molecular weight