购物车
  • TargetMol
    您的购物车当前为空

Anti-gp130/IL6ST Polyclonal Antibody

Synonyms: interleukin 6 signal transducer, IL-6RB, GP130, CDW130, CD130
货号 TMAB-00785 一键复制产品信息
Rating icon 还可以

Anti-gp130/IL6ST Polyclonal Antibody 是一种 Rabbit 抗体,靶向 gp130/IL6ST。Anti-gp130/IL6ST Polyclonal Antibody 可用于 FCM,IF,IHC-Fr,IHC-P,WB。

Anti-gp130/IL6ST Polyclonal Antibody

一键复制产品信息
Rating icon 还可以
货号 TMAB-00785

别名 interleukin 6 signal transducer, IL-6RB, GP130, CDW130, CD130

Anti-gp130/IL6ST Polyclonal Antibody 是一种 Rabbit 抗体,靶向 gp130/IL6ST。Anti-gp130/IL6ST Polyclonal Antibody 可用于 FCM,IF,IHC-Fr,IHC-P,WB。

Anti-gp130/IL6ST Polyclonal Antibody
规格价格库存数量
50 μL
¥ 1,170
5日内发货
100 μL
¥ 1,970
5日内发货
200 μL
¥ 2,795
5日内发货
库存状态实时更新,以官网显示为准,现货产品可直接加购物车下单
大包装 & 定制
加入购物车

TargetMol的所有产品仅用作科学研究或药证申报,不能被用于人体,我们不向个人提供产品和服务。请您遵守承诺用途,不得违反法律法规规定用于任何其他用途。

实验操作小课堂
常见问题解答
查看更多

资源下载:产品操作手册

产品介绍


生物活性
产品描述
Anti-gp130/IL6ST Polyclonal Antibody is a Rabbit antibody targeting gp130/IL6ST. Anti-gp130/IL6ST Polyclonal Antibody can be used in FCM,IF,IHC-Fr,IHC-P,WB.
别名
interleukin 6 signal transducer, IL-6RB, GP130, CDW130, CD130
Ig Type
IgG
反应种属
Human,Mouse,Rat
验证活性
1. Sample: Lung (Mouse) Lysate at 30 μg
Primary: Anti-CD130 (TMAB-00785) at 1/300 dilution
Secondary: IRDye800CW Goat Anti-Mouse IgG at 1/10000 dilution
Predicted band size: 99 kDa
Observed band size: 130 kDa
2. Tissue/cell: human colon carcinoma;4% Paraformaldehyde-fixed and paraffin-embedded;
Antigen retrieval: citrate buffer (0.01M, pH6.0), Boiling bathing for 15 min; Blocking buffer (normal goat serum) at 37°C for 20 min;
Incubation: Anti-IL-6R Beta/CD130/gp130 Polyclonal Antibody, Unconjugated (TMAB-00785) 1:300, overnight at 4°C; The secondary antibody was Goat Anti-Rabbit IgG, FITC conjugated used at 1:200 dilution for 40 minutes at 37°C. DAPI (5 μg/ml,blue) was used to stain the cell nucleus.
3. Blank control: Raji (blue). Primary Antibody: Rabbit Anti-CD34 antibody (TMAB-00785), Dilution: 1 μg in 100 μL 1X PBS containing 0.5% BSA; Isotype Control Antibody: Rabbit Igg (orange),used under the same conditions); Secondary Antibody: Goat anti-rabbit IgG-Pe (white blue), Dilution: 1:200 in 1 X PBS containing 0.5% BSA.
Protocol
The cells were fixed with 2% paraformaldehyde (10 min). Antibody (TMAB-00785, 1 μg/1x10^6 cells) were incubated for 30 min on the ice, followed by 1 X PBS containing 0.5% BSA + 10% goat serum (15 min) to block non-specific protein-protein interactions. Then the Goat Anti-rabbit IgG/PE antibody was added into the blocking buffer mentioned above to react with the primary antibody of TMAB-00785 at 1/200 dilution for 30 min on ice.
4. Tissue/cell: Human endometrium carcinoma; 4% Paraformaldehyde-fixed and paraffin-embedded;
Antigen retrieval: citrate buffer (0.01M, pH6.0), Boiling bathing for 15 min; Block endogenous peroxidase by 3% Hydrogen peroxide for 30 min; Blocking buffer (normal goat serum) at 37°C for 20 min;
Incubation: Anti-IL-6R Beta/CD130/gp130 Polyclonal Antibody, Unconjugated (TMAB-00785) 1:200, overnight at 4°C, followed by conjugation to the secondary antibody and DAb staining.
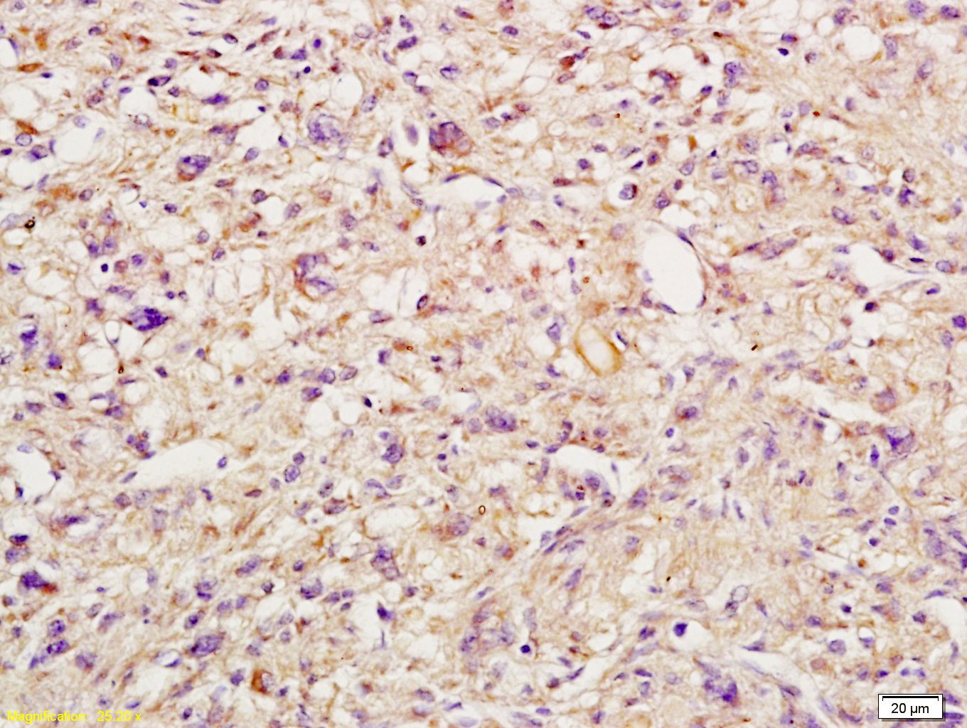
5. Paraformaldehyde-fixed, paraffin embedded (rat adrenal gland); Antigen retrieval by boiling in sodium citrate buffer (pH6.0) for 15 min; Block endogenous peroxidase by 3% hydrogen peroxide for 20 min; Blocking buffer (normal goat serum) at 37°C for 30 min; Antibody incubation with (CD130) Polyclonal Antibody, Unconjugated (TMAB-00785) at 1:200 overnight at 4°C, followed by operating according to SP Kit (Rabbit) instructionsand DAB staining.
6. Paraformaldehyde-fixed, paraffin embedded (mouse adrenal gland); Antigen retrieval by boiling in sodium citrate buffer (pH6.0) for 15 min; Block endogenous peroxidase by 3% hydrogen peroxide for 20 min; Blocking buffer (normal goat serum) at 37°C for 30 min; Antibody incubation with (CD130) Polyclonal Antibody, Unconjugated (TMAB-00785) at 1:200 overnight at 4°C, followed by operating according to SP Kit (Rabbit) instructionsand DAB staining.
7. Sample: Lung (mouse) Lysate at 40 μg
Primary: Anti-CD130 (TMAB-00785) at 1/300 dilution
Secondary: IRDye800CW Goat Anti-Rabbit IgG at 1/20000 dilution
Predicted band size: 99 kDa
Observed band size: 130 kDa
verifiedActivityverifiedActivityverifiedActivityverifiedActivityverifiedActivityverifiedActivityverifiedActivity
应用FCMIFIHC-FrIHC-PWB
推荐剂量
WB: 1:500-2000; IHC-P: 1:100-500; IHC-Fr: 1:100-500; IF: 1:100-500; FCM: 1µg/Test
抗体种类
Polyclonal
宿主来源Rabbit
亚细胞定位Isoform 1: Cell membrane; Single-pass type I membrane protein. Isoform 2: Secreted.
组织特异性Found in all the tissues and cell lines examined. Expression not restricted to IL6 responsive cells.
构建方式Polyclonal Antibody
纯化方式Protein A purified
性状Liquid
缓冲液0.01M TBS (pH7.4) with 1% BSA, 0.02% Proclin300 and 50% Glycerol.
浓度1 mg/mL
研究背景CD130 is a signal transducer shared by many cytokines, including interleukin 6 (IL6), ciliary neurotrophic factor (CNTF), leukemia inhibitory factor (LIF), and oncostatin M (OSM). This protein functions as a part of the cytokine receptor complex. The activation of this protein is dependent upon the binding of cytokines to their receptors. vIL6, a protein related to IL6 and encoded by the Kaposi sarcoma-associated herpesvirus, can bypass the interleukin 6 receptor (IL6R) and directly activate this protein. Knockout studies in mice suggested a critical role of the gene encoding this protein in regulating myocyte apoptosis. Alternatively spliced transcript variants encoding distinct isoforms have been described.
抗原信息
免疫原
KLH conjugated synthetic peptide: human IL6R beta
抗原种属
Human
基因名称
IL6ST
基因ID
蛋白名称
Interleukin-6 receptor subunit beta
Uniprot ID
研究领域
Signal transduction,Apoptosis,Apoptosis,Hypertrophy,Associated Proteins,Cytokines,Transmembrane
功能
Signal-transducing molecule. The receptor systems for IL6, LIF, OSM, CNTF, IL11, CTF1 and BSF3 can utilize gp130 for initiating signal transmission. Binds to IL6/IL6R (alpha chain) complex, resulting in the formation of high-affinity IL6 binding sites, and transduces the signal. Does not bind IL6. May have a role in embryonic development. The type I OSM receptor is capable of transducing OSM-specific signaling events.
化学信息
分子量Theoretical: 99 kDa. Actual: 130 kDa.
储存&溶解度
储存方式Store at -20°C or -80°C for 12 months. Avoid repeated freeze-thaw cycles.
运输方式Shipping with blue ice.

计算器

  • 稀释 计算器
  • 配液 计算器
Related Tags: buy Anti-gp130/IL6ST Polyclonal Antibody | purchase Anti-gp130/IL6ST Polyclonal Antibody | Anti-gp130/IL6ST Polyclonal Antibody cost | order Anti-gp130/IL6ST Polyclonal Antibody | Anti-gp130/IL6ST Polyclonal Antibody molecular weight