• TargetMol
    您的购物车当前为空

Anti-GLS1 Polyclonal Antibody

一键复制产品信息
Rating icon 还可以
货号 TMAB-00779

别名 L-glutamine amidohydrolase, KIAA0838, K-glutaminase, KGA, Glutaminase kidney isoform, mitochondrial, GLSK, GLS, GDPAG, GAM, GAC, EIEE71, EC:3.5.1.2, DEE71, CASGID, AAD20

Anti-GLS1 Polyclonal Antibody 是一种 Rabbit 抗体,靶向 GLS1。Anti-GLS1 Polyclonal Antibody 可用于 ELISA,IF,IHC-Fr,IHC-P,WB。

Anti-GLS1 Polyclonal Antibody

Anti-GLS1 Polyclonal Antibody

一键复制产品信息
Rating icon 还可以
货号 TMAB-00779 别名 L-glutamine amidohydrolase, KIAA0838, K-glutaminase, KGA, Glutaminase kidney isoform, mitochondrial, GLSK, GLS, GDPAG, GAM, GAC, EIEE71, EC:3.5.1.2, DEE71, CASGID, AAD20

Anti-GLS1 Polyclonal Antibody 是一种 Rabbit 抗体,靶向 GLS1。Anti-GLS1 Polyclonal Antibody 可用于 ELISA,IF,IHC-Fr,IHC-P,WB。

规格价格库存数量
50 μL
¥ 1,170
5日内发货
100 μL
¥ 1,975
5日内发货
库存状态实时更新,以官网显示为准,现货产品可直接加购物车下单
大包装 & 定制
加入购物车
TargetMol的所有产品仅用作科学研究或药证申报,不能被用于人体,我们不向个人提供产品和服务。请您遵守承诺用途,不得违反法律法规规定用于任何其他用途。
实验操作小课堂
常见问题解答
查看更多
资源下载:

产品介绍


生物活性
产品描述
Anti-GLS1 Polyclonal Antibody is a Rabbit antibody targeting GLS1. Anti-GLS1 Polyclonal Antibody can be used in ELISA,IF,IHC-Fr,IHC-P,WB.
别名L-glutamine amidohydrolase, KIAA0838, K-glutaminase, KGA, Glutaminase kidney isoform, mitochondrial, GLSK, GLS, GDPAG, GAM, GAC, EIEE71, EC:3.5.1.2, DEE71, CASGID, AAD20
Ig Type
IgG
反应种属
Human,Mouse,Rat (predicted:Cow)
验证活性
1. Sample:
Lane 1: Human U251 cell lysates
Lane 2: Human HeLa cell lysates
Primary: Anti-GLS1 (TMAB-00779) at 1/1000 dilution
Secondary: IRDye800CW Goat Anti-Rabbit IgG at 1/20000 dilution
Predicted band size: 72 kDa
Observed band size: 75 kDa
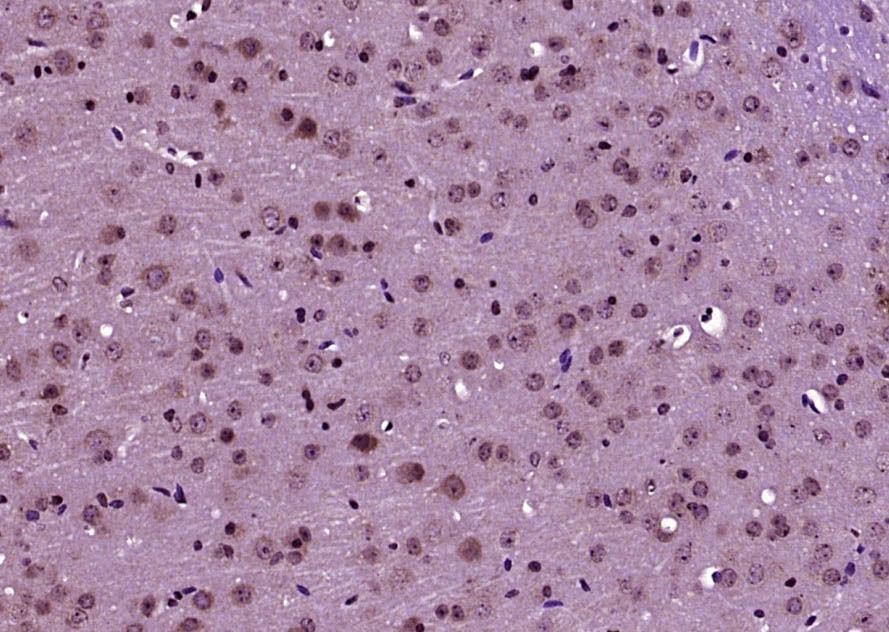
2. Paraformaldehyde-fixed, paraffin embedded (Rat brain); Antigen retrieval by boiling in sodium citrate buffer (pH6.0) for 15 min; Block endogenous peroxidase by 3% hydrogen peroxide for 20 min; Blocking buffer (normal goat serum) at 37°C for 30 min; Antibody incubation with (GLS1) Polyclonal Antibody, Unconjugated (TMAB-00779) at 1:400 overnight at 4°C, followed by operating according to SP Kit (Rabbit) instructionsand DAB staining.
3. Paraformaldehyde-fixed, paraffin embedded (Mouse brain); Antigen retrieval by boiling in sodium citrate buffer (pH6.0) for 15 min; Block endogenous peroxidase by 3% hydrogen peroxide for 20 min; Blocking buffer (normal goat serum) at 37°C for 30 min; Antibody incubation with (GLS1) Polyclonal Antibody, Unconjugated (TMAB-00779) at 1:400 overnight at 4°C, followed by operating according to SP Kit (Rabbit) instructionsand DAB staining.
verifiedActivityverifiedActivityverifiedActivity
应用ELISAIFIHC-FrIHC-PWB
推荐剂量
WB: 1:500-2000; IHC-P: 1:100-500; IHC-Fr: 1:100-500; IF: 1:100-500; ELISA: 1:5000-10000
抗体种类
Polyclonal
宿主来源Rabbit
亚细胞定位Isoform 1: Cytoplasm, cytosol. Isoform 3: Mitochondrion.
组织特异性Isoform 1 and isoform 3 are detected in brain cortex. Isoform 3 is highly expressed in astrocytoma, ganglioglioma and ependymoma. Isoform 1 is highly expressed in brain and kidney, but not detected in liver. Isoform 3 is highly expressed in heart and panc
构建方式Polyclonal Antibody
纯化方式Protein A purified
性状Liquid
缓冲液0.01M TBS (pH7.4) with 1% BSA, 0.02% Proclin300 and 50% Glycerol.
浓度1 mg/mL
研究背景This gene encodes the K-type mitochondrial glutaminase. The encoded protein is an phosphate-activated amidohydrolase that catalyzes the hydrolysis of glutamine to glutamate and ammonia. This protein is primarily expressed in the brain and kidney plays an essential role in generating energy for metabolism, synthesizing the brain neurotransmitter glutamate and maintaining acid-base balance in the kidney. Alternate splicing results in multiple transcript variants. [provided by RefSeq, Jan 2012].
抗原信息
免疫原
KLH conjugated synthetic peptide: human GLS1
抗原种属
Human
基因名称
GLS
基因ID
蛋白名称
Glutaminase kidney isoform, mitochondrial
Uniprot ID
研究领域
Amino acid metabolism,Glutamate,Amino Acids
功能
Catalyzes the first reaction in the primary pathway for the renal catabolism of glutamine. Plays a role in maintaining acid-base homeostasis. Regulates the levels of the neurotransmitter glutamate in the brain. Isoform 2 lacks catalytic activity.
化学信息
分子量Theoretical: 72 kDa.
储存&溶解度
储存方式Store at -20°C or -80°C for 12 months. Avoid repeated freeze-thaw cycles.
运输方式Shipping with blue ice.
存储store at low temperature | store at -20°C

计算器

  • 稀释 计算器
Related Tags: buy Anti-GLS1 Polyclonal Antibody | purchase Anti-GLS1 Polyclonal Antibody | Anti-GLS1 Polyclonal Antibody cost | order Anti-GLS1 Polyclonal Antibody | Anti-GLS1 Polyclonal Antibody molecular weight