购物车
  • TargetMol
    您的购物车当前为空

Anti-GLP1R Polyclonal Antibody

Synonyms: Glucagon-like peptide 1 receptor, Glpr, GLP-1-R, GLP-1R, Glp1r, GLP-1 receptor
货号 TMAB-00777 一键复制产品信息
Rating icon 还可以

Anti-GLP1R Polyclonal Antibody 是一种 Rabbit 抗体,靶向 GLP1R。Anti-GLP1R Polyclonal Antibody 可用于 IF,IHC-Fr,IHC-P,WB。

Anti-GLP1R Polyclonal Antibody

一键复制产品信息
Rating icon 还可以
货号 TMAB-00777

别名 Glucagon-like peptide 1 receptor, Glpr, GLP-1-R, GLP-1R, Glp1r, GLP-1 receptor

Anti-GLP1R Polyclonal Antibody 是一种 Rabbit 抗体,靶向 GLP1R。Anti-GLP1R Polyclonal Antibody 可用于 IF,IHC-Fr,IHC-P,WB。

Anti-GLP1R Polyclonal Antibody
规格价格库存数量
50 μL
¥ 1,170
5日内发货
100 μL
¥ 1,970
5日内发货
200 μL
¥ 2,790
5日内发货
库存状态实时更新,以官网显示为准,现货产品可直接加购物车下单
大包装 & 定制
加入购物车

TargetMol的所有产品仅用作科学研究或药证申报,不能被用于人体,我们不向个人提供产品和服务。请您遵守承诺用途,不得违反法律法规规定用于任何其他用途。

实验操作小课堂
常见问题解答
查看更多

资源下载:产品操作手册

产品介绍


生物活性
产品描述
Anti-GLP1R Polyclonal Antibody is a Rabbit antibody targeting GLP1R. Anti-GLP1R Polyclonal Antibody can be used in IF,IHC-Fr,IHC-P,WB.
别名
Glucagon-like peptide 1 receptor, Glpr, GLP-1-R, GLP-1R, Glp1r, GLP-1 receptor
Ig Type
IgG
反应种属
Human,Mouse,Rat
验证活性
1. Sample:
Lane 1: Mouse Pancreas tissue lysates
Lane 2: Mouse Liver tissue lysates (negative control)
Primary: Anti-GLP-1R (TMAB-00777) at 1/1000 dilution
Secondary: IRDye800CW Goat Anti-Rabbit IgG at 1/20000 dilution
Predicted band size: 51 kDa
Observed band size: 55 kDa
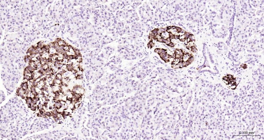
2. Paraformaldehyde-fixed, paraffin embedded Mouse Pancreas; Antigen retrieval by boiling in sodium citrate buffer (pH6.0) for 15 min; Antibody incubation with GLP-1R Polyclonal Antibody, Unconjugated (TMAB-00777) at 1:800 overnight at 4°C, followed by conjugation to the secondary antibody and DAB staining.
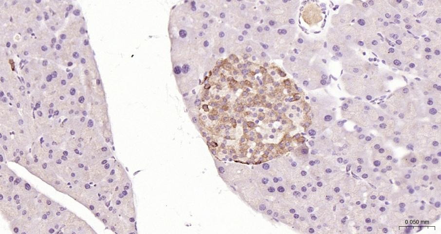
3. Paraformaldehyde-fixed, paraffin embedded Rat Pancreas; Antigen retrieval by boiling in sodium citrate buffer (pH6.0) for 15 min; Antibody incubation with GLP-1R Polyclonal Antibody, Unconjugated (TMAB-00777) at 1:800 overnight at 4°C, followed by conjugation to the secondary antibody and DAB staining.
4. Paraformaldehyde-fixed, paraffin embedded Human Pancreas; Antigen retrieval by boiling in sodium citrate buffer (pH6.0) for 15 min; Antibody incubation with GLP-1R Polyclonal Antibody, Unconjugated (TMAB-00777) at 1:800 overnight at 4°C, followed by conjugation to the secondary antibody and DAB staining.
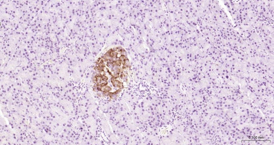
5. (Negative control) Paraformaldehyde-fixed, paraffin embedded Mouse Liver; Antigen retrieval by boiling in sodium citrate buffer (pH6.0) for 15 min; Antibody incubation with GLP-1R Polyclonal Antibody, Unconjugated (TMAB-00777) at 1:800 overnight at 4°C, followed by conjugation to the secondary antibody and DAB staining.
6. (Negative control) Paraformaldehyde-fixed, paraffin embedded Rat Liver; Antigen retrieval by boiling in sodium citrate buffer (pH6.0) for 15 min; Antibody incubation with GLP-1R Polyclonal Antibody, Unconjugated (TMAB-00777) at 1:800 overnight at 4°C, followed by conjugation to the secondary antibody and DAB staining.
7. (Negative control) Paraformaldehyde-fixed, paraffin embedded Human Liver; Antigen retrieval by boiling in sodium citrate buffer (pH6.0) for 15 min; Antibody incubation with GLP-1R Polyclonal Antibody, Unconjugated (TMAB-00777) at 1:800 overnight at 4°C, followed by conjugation to the secondary antibody and DAB staining.
verifiedActivityverifiedActivityverifiedActivityverifiedActivityverifiedActivityverifiedActivityverifiedActivity
应用IFIHC-FrIHC-PWB
推荐剂量
WB: 1:500-2000; IHC-P: 1:200-1000; IHC-Fr: 1:200-1000; IF: 1:200-1000
抗体种类
Polyclonal
宿主来源Rabbit
亚细胞定位Cell membrane; Multi-pass membrane protein.
构建方式Polyclonal Antibody
纯化方式Protein A purified
性状Liquid
缓冲液0.01M TBS (pH7.4) with 1% BSA, 0.02% Proclin300 and 50% Glycerol.
浓度1 mg/mL
研究背景GLP1R is a receptor for glucagon-like peptide 1. The activity of this receptor is mediated by G proteins which activate adenylyl cyclase.It has been suggested that this protein influences the feelings of satiety or hunger, sensation of glucose levels, control of glucagon sensitivity of islets, and non insulin-dependent diabetes mellitus. GLP1R is believed to be expressed in human pancreas,lung, brain, stomach, kidney and heart. ESTs have been isolated from skin and kidney libraries.
抗原信息
免疫原
KLH conjugated synthetic peptide: rat GLP-1R
抗原种属
Rat
基因名称
GLP1R
基因ID
蛋白名称
Glucagon-like peptide 1 receptor
Uniprot ID
功能
This is a receptor for glucagon-like peptide 1. The activity of this receptor is mediated by G proteins which activate adenylyl cyclase.
化学信息
分子量Theoretical: 51 kDa. Actual: 55 kDa.
储存&溶解度
储存方式Store at -20°C or -80°C for 12 months. Avoid repeated freeze-thaw cycles.
运输方式Shipping with blue ice.

计算器

  • 稀释 计算器
  • 配液 计算器

关键词

Related Tags: buy Anti-GLP1R Polyclonal Antibody | purchase Anti-GLP1R Polyclonal Antibody | Anti-GLP1R Polyclonal Antibody cost | order Anti-GLP1R Polyclonal Antibody | Anti-GLP1R Polyclonal Antibody molecular weight