• TargetMol
    您的购物车当前为空

Anti-GJA5 Polyclonal Antibody

一键复制产品信息
Rating icon 还可以
货号 TMAB-00774

别名 GJA5, Gap junction alpha-5 protein, Connexin-40 (Cx40)

Anti-GJA5 Polyclonal Antibody 是一种 Rabbit 抗体,靶向 GJA5。Anti-GJA5 Polyclonal Antibody 可用于 IF,IHC-Fr,IHC-P,WB。

Anti-GJA5 Polyclonal Antibody

Anti-GJA5 Polyclonal Antibody

一键复制产品信息
Rating icon 还可以
货号 TMAB-00774 别名 GJA5, Gap junction alpha-5 protein, Connexin-40 (Cx40)

Anti-GJA5 Polyclonal Antibody 是一种 Rabbit 抗体,靶向 GJA5。Anti-GJA5 Polyclonal Antibody 可用于 IF,IHC-Fr,IHC-P,WB。

规格价格库存数量
50 μL
¥ 1,170
5日内发货
100 μL
¥ 1,960
5日内发货
200 μL
¥ 2,795
5日内发货
库存状态实时更新,以官网显示为准,现货产品可直接加购物车下单
大包装 & 定制
加入购物车
TargetMol的所有产品仅用作科学研究或药证申报,不能被用于人体,我们不向个人提供产品和服务。请您遵守承诺用途,不得违反法律法规规定用于任何其他用途。
实验操作小课堂
常见问题解答
查看更多
资源下载:

产品介绍


生物活性
产品描述
Anti-GJA5 Polyclonal Antibody is a Rabbit antibody targeting GJA5. Anti-GJA5 Polyclonal Antibody can be used in IF,IHC-Fr,IHC-P,WB.
别名GJA5, Gap junction alpha-5 protein, Connexin-40 (Cx40)
Ig Type
IgG
反应种属
Human,Mouse
验证活性
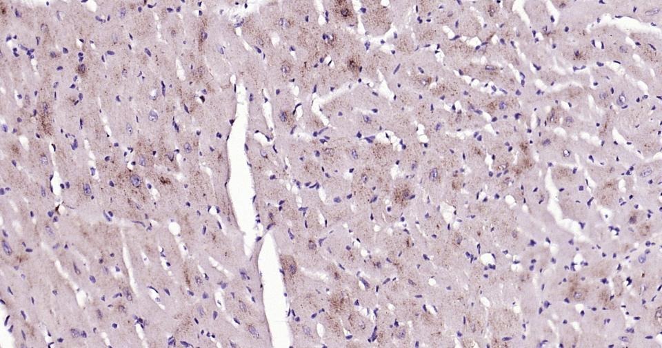
1. Paraformaldehyde-fixed, paraffin embedded Mouse Heart; Antigen retrieval by boiling in sodium citrate buffer (pH6.0) for 15 min; Antibody incubation with Connexin-40 Polyclonal Antibody, Unconjugated (TMAB-00774) at 1:200 overnight at 4°C, followed by conjugation to the secondary antibody and DAB staining.
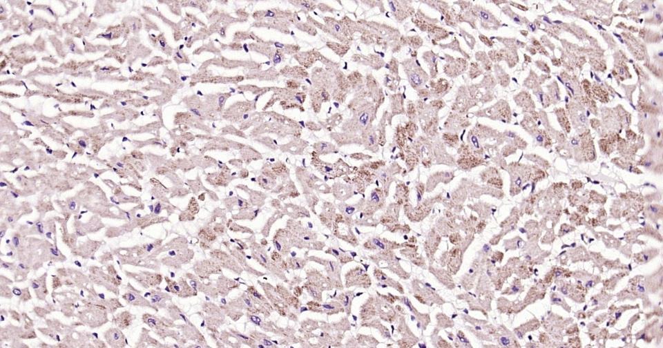
2. Paraformaldehyde-fixed, paraffin embedded Human Heart; Antigen retrieval by boiling in sodium citrate buffer (pH6.0) for 15 min; Antibody incubation with Connexin-40 Polyclonal Antibody, Unconjugated (TMAB-00774) at 1:200 overnight at 4°C, followed by conjugation to the secondary antibody and DAB staining.
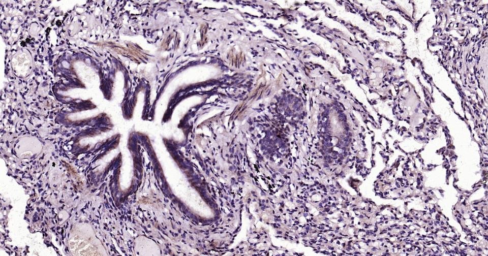
3. Paraformaldehyde-fixed, paraffin embedded Human Lung; Antigen retrieval by boiling in sodium citrate buffer (pH6.0) for 15 min; Antibody incubation with Connexin-40 Polyclonal Antibody, Unconjugated (TMAB-00774) at 1:200 overnight at 4°C, followed by conjugation to the secondary antibody and DAB staining.
4. 25 μg total protein per Lane of various lysates probed with Connexin-40 polyclonal antibody, unconjugated (TMAB-00774) at 1:1000 dilution and 4°C overnight incubation. Followed by conjugated secondary antibody incubation at RT for 60 min.
verifiedActivityverifiedActivityverifiedActivityverifiedActivity
应用IFIHC-FrIHC-PWB
推荐剂量
WB: 1:500-2000; IHC-P: 1:100-500; IHC-Fr: 1:100-500; IF: 1:100-500
抗体种类
Polyclonal
宿主来源Rabbit
亚细胞定位Cell membrane; Multi-pass membrane protein. Cell junction, gap junction.
构建方式Polyclonal Antibody
纯化方式Protein A purified
性状Liquid
缓冲液0.01M TBS (pH7.4) with 1% BSA, 0.02% Proclin300 and 50% Glycerol.
浓度1 mg/mL
研究背景This gene is a member of the connexin gene family. The encoded protein is a component of gap junctions, which are composed of arrays of intercellular channels that provide a route for the diffusion of low molecular weight materials from cell to cell. Mutations in this gene may be associated with atrial fibrillation. Alternatively spliced transcript variants encoding the same isoform have been described. [provided by RefSeq, Jul 2008]
抗原信息
免疫原
KLH conjugated synthetic peptide: human Connexin-40
抗原种属
Human
基因名称
GJA5
基因ID
蛋白名称
Gap junction alpha-5 protein
Uniprot ID
研究领域
Cardiac arrhythmias,Endothelium,Gap Junctions
功能
One gap junction consists of a cluster of closely packed pairs of transmembrane channels, the connexons, through which materials of low MW diffuse from one cell to a neighboring cell.
化学信息
分子量Theoretical: 40 kDa.
储存&溶解度
储存方式Store at -20°C or -80°C for 12 months. Avoid repeated freeze-thaw cycles.
运输方式Shipping with blue ice.
存储store at low temperature | store at -20°C

计算器

  • 稀释 计算器
Related Tags: buy Anti-GJA5 Polyclonal Antibody | purchase Anti-GJA5 Polyclonal Antibody | Anti-GJA5 Polyclonal Antibody cost | order Anti-GJA5 Polyclonal Antibody | Anti-GJA5 Polyclonal Antibody molecular weight