购物车
  • TargetMol
    您的购物车当前为空

Anti-GFAP Antibody (3A643)

Synonyms: Glial Fibrillary Acidic Protein, GFAP
货号 TMAB-00763 一键复制产品信息
Rating icon 还可以

Anti-GFAP Antibody (3A643) 是一种 Rabbit 抗体,靶向 Phospho-IRE1 (Ser726)。Anti-GFAP Antibody (3A643) 可用于 WB,IHC-P,IHC-F,IF,FCM。

Anti-GFAP Antibody (3A643)

一键复制产品信息
Rating icon 还可以
货号 TMAB-00763

别名 Glial Fibrillary Acidic Protein, GFAP

Anti-GFAP Antibody (3A643) 是一种 Rabbit 抗体,靶向 Phospho-IRE1 (Ser726)。Anti-GFAP Antibody (3A643) 可用于 WB,IHC-P,IHC-F,IF,FCM。

Anti-GFAP Antibody (3A643)
规格价格库存数量
25 μL
¥ 795
5日内发货
50 μL
¥ 1,390
5日内发货
100 μL
¥ 2,485
5日内发货
库存状态实时更新,以官网显示为准,现货产品可直接加购物车下单
大包装 & 定制
加入购物车

TargetMol的所有产品仅用作科学研究或药证申报,不能被用于人体,我们不向个人提供产品和服务。请您遵守承诺用途,不得违反法律法规规定用于任何其他用途。

实验操作小课堂
常见问题解答
查看更多

资源下载:产品操作手册

产品介绍


生物活性
产品描述
Anti-GFAP Antibody (3A643) is a Rabbit antibody targeting Phospho-IRE1 (Ser726). Anti-GFAP Antibody (3A643) can be used in WB,IHC-P,IHC-F,IF,FCM.
别名
Glial Fibrillary Acidic Protein, GFAP
Ig Type
IgG
克隆号
3A643
反应种属
Human,Mouse,Rat
验证活性
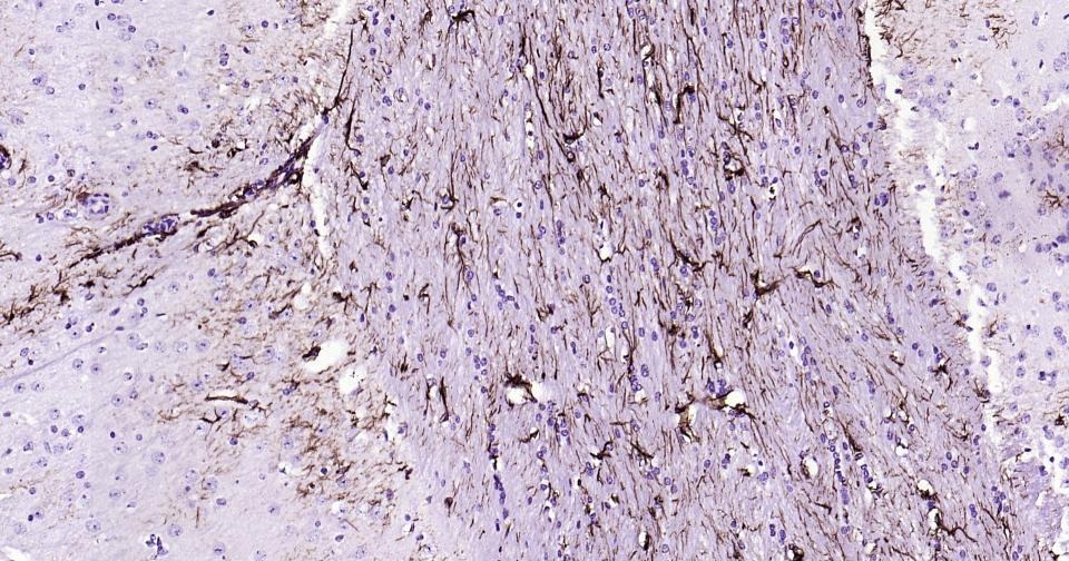
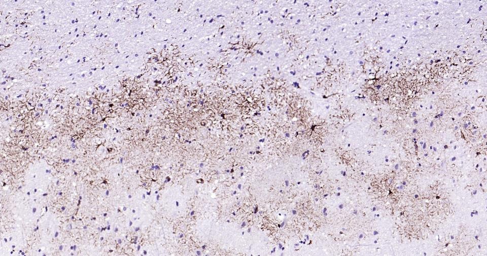
1. Paraformaldehyde-fixed, paraffin embedded Mouse Spinal Cord; Antigen retrieval by boiling in sodium citrate buffer (pH6.0) for 15 min; Antibody incubation with GFAP Monoclonal Antibody, Unconjugated (TMAB-00763) at 1:200 overnight at 4°C, followed by conjugation to the secondary antibody and DAB staining.
2. Paraformaldehyde-fixed, paraffin embedded Rat Spinal Cord; Antigen retrieval by boiling in sodium citrate buffer (pH6.0) for 15 min; Antibody incubation with GFAP Monoclonal Antibody, Unconjugated (TMAB-00763) at 1:200 overnight at 4°C, followed by conjugation to the secondary antibody and DAB staining.
3. Paraformaldehyde-fixed, paraffin embedded Mouse Cerebrum; Antigen retrieval by boiling in sodium citrate buffer (pH6.0) for 15 min; Antibody incubation with GFAP Monoclonal Antibody, Unconjugated (TMAB-00763) at 1:200 overnight at 4°C, followed by conjugation to the secondary antibody and DAB staining.
4. Paraformaldehyde-fixed, paraffin embedded Rat Cerebrum; Antigen retrieval by boiling in sodium citrate buffer (pH6.0) for 15 min; Antibody incubation with GFAP Monoclonal Antibody, Unconjugated (TMAB-00763) at 1:200 overnight at 4°C, followed by conjugation to the secondary antibody and DAB staining.
5. Paraformaldehyde-fixed, paraffin embedded Human Cerebrum; Antigen retrieval by boiling in sodium citrate buffer (pH6.0) for 15 min; Antibody incubation with GFAP Monoclonal Antibody, Unconjugated (TMAB-00763) at 1:200 overnight at 4°C, followed by conjugation to the secondary antibody and DAB staining.
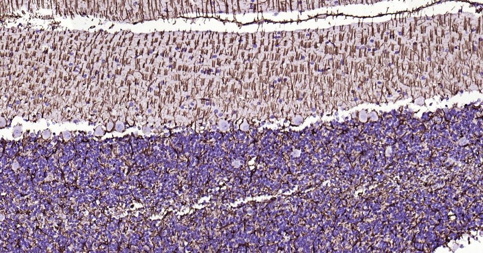
6. Paraformaldehyde-fixed, paraffin embedded Rat Cerebellum; Antigen retrieval by boiling in sodium citrate buffer (pH6.0) for 15 min; Antibody incubation with GFAP Monoclonal Antibody, Unconjugated (TMAB-00763) at 1:200 overnight at 4°C, followed by conjugation to the secondary antibody and DAB staining.
7. Paraformaldehyde-fixed, paraffin embedded Human Cerebellum; Antigen retrieval by boiling in sodium citrate buffer (pH6.0) for 15 min; Antibody incubation with GFAP Monoclonal Antibody, Unconjugated (TMAB-00763) at 1:200 overnight at 4°C, followed by conjugation to the secondary antibody and DAB staining.
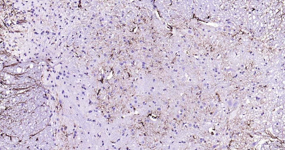
8. (Negative control) Paraformaldehyde-fixed, paraffin embedded Mouse Liver; Antigen retrieval by boiling in sodium citrate buffer (pH6.0) for 15 min; Antibody incubation with GFAP Monoclonal Antibody, Unconjugated (TMAB-00763) at 1:200 overnight at 4°C, followed by conjugation to the secondary antibody and DAB staining.
9. (Negative control) Paraformaldehyde-fixed, paraffin embedded Rat Liver; Antigen retrieval by boiling in sodium citrate buffer (pH6.0) for 15 min; Antibody incubation with GFAP Monoclonal Antibody, Unconjugated (TMAB-00763) at 1:200 overnight at 4°C, followed by conjugation to the secondary antibody and DAB staining.
10. (Negative control) Paraformaldehyde-fixed, paraffin embedded Human Liver; Antigen retrieval by boiling in sodium citrate buffer (pH6.0) for 15 min; Antibody incubation with GFAP Monoclonal Antibody, Unconjugated (TMAB-00763) at 1:200 overnight at 4°C, followed by conjugation to the secondary antibody and DAB staining.
11. 25 μg total protein per Lane of various lysates probed with GFAP monoclonal antibody, unconjugated (TMAB-00763) at 1:1000 dilution and 4°C overnight incubation. Followed by conjugated secondary antibody incubation at RT for 60 min.
verifiedActivityverifiedActivityverifiedActivityverifiedActivityverifiedActivityverifiedActivityverifiedActivityverifiedActivityverifiedActivityverifiedActivityverifiedActivity
应用WBIHC-PIHC-FIFFCM
推荐剂量
WB=1:1000-50000,IHC-P=1:100-500,IHC-F=1:100-500,IF=1:100-500,FCM=1:50-100
抗体种类
Monoclonal
宿主来源Rabbit
亚细胞定位Cytoplasm. Note=Associated with intermediate filaments.
组织特异性Expressed in cells lacking fibronectin.
构建方式Recombinant Antibody
纯化方式Protein A purified
性状Liquid
缓冲液0.01M TBS (pH7.4) with 1% BSA, 0.02% Proclin300 and 50% Glycerol.
浓度1 mg/mL
研究背景This gene encodes one of the major intermediate filament proteins of mature astrocytes. It is used as a marker to distinguish astrocytes from other glial cells during development. Mutations in this gene cause Alexander disease, a rare disorder of astrocytes in the central nervous system. Alternative splicing results in multiple transcript variants encoding distinct isoforms. [provided by RefSeq, Oct 2008]
抗原信息
免疫原
A synthesized peptide: human GFAP
抗原种属
Human
基因名称
GFAP
基因ID
蛋白名称
Glial fibrillary acidic protein
Uniprot ID
研究领域
Intermediate Filaments,Astrocyte marker,GFAP,Astrocyte,Glial
功能
GFAP, a class-III intermediate filament, is a cell-specific marker that, during the development of the central nervous system, distinguishes astrocytes from other glial cells.
化学信息
分子量Theoretical: 48 kDa. Actual: 48 kDa.
储存&溶解度
储存方式Store at -20°C or -80°C for 12 months. Avoid repeated freeze-thaw cycles.
运输方式Shipping with blue ice.

计算器

  • 稀释 计算器
  • 配液 计算器
Related Tags: buy Anti-GFAP Antibody (3A643) | purchase Anti-GFAP Antibody (3A643) | Anti-GFAP Antibody (3A643) cost | order Anti-GFAP Antibody (3A643) | Anti-GFAP Antibody (3A643) molecular weight