• TargetMol
    您的购物车当前为空

Anti-GAST Polyclonal Antibody

一键复制产品信息
Rating icon 还可以
产品编号 TMAB-00747

别名 Gastrin

Anti-GAST Polyclonal Antibody 是一种 Rabbit 抗体,靶向 GAST。Anti-GAST Polyclonal Antibody 可用于 IF,IHC-Fr,IHC-P。

Anti-GAST Polyclonal Antibody

Anti-GAST Polyclonal Antibody

一键复制产品信息
Rating icon 还可以
产品编号 TMAB-00747 别名 Gastrin

Anti-GAST Polyclonal Antibody 是一种 Rabbit 抗体,靶向 GAST。Anti-GAST Polyclonal Antibody 可用于 IF,IHC-Fr,IHC-P。

规格价格库存数量
50 μL
¥ 1,165
5日内发货
100 μL
¥ 1,965
5日内发货
200 μL
¥ 2,795
5日内发货
大包装 & 定制
加入购物车
TargetMol 的所有产品仅用作科学研究或药证申报,不能被用于人体,我们不向个人提供产品和服务。请您遵守承诺用途,不得违反法律法规规定用于任何其他用途。
实验操作小课堂
常见问题解答
查看更多

Anti-GAST Polyclonal Antibody 相关产品


资源下载

产品介绍

生物活性
产品描述
Anti-GAST Polyclonal Antibody is a Rabbit antibody targeting GAST. Anti-GAST Polyclonal Antibody can be used in IF,IHC-Fr,IHC-P.
别名Gastrin
Ig Type
IgG
交叉反应
Rat (predicted:Human,Mouse,Pig,Rabbit)
验证活性
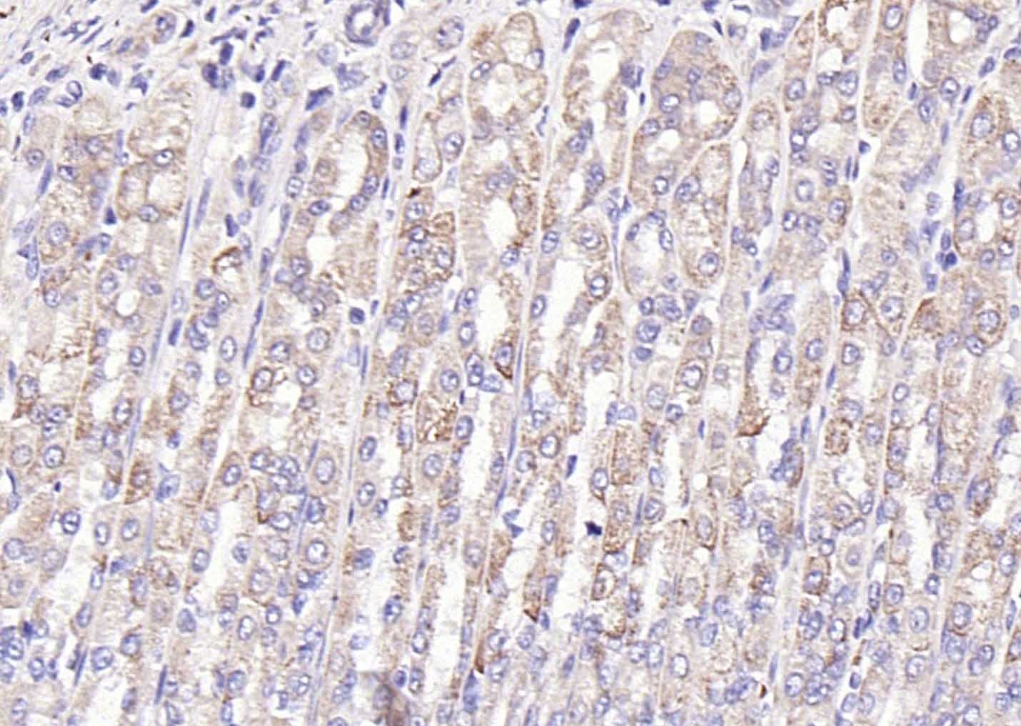
Paraformaldehyde-fixed, paraffin embedded (rat stomach); Antigen retrieval by boiling in sodium citrate buffer (pH6.0) for 15 min; Block endogenous peroxidase by 3% hydrogen peroxide for 20 min; Blocking buffer (normal goat serum) at 37°C for 30 min; Antibody incubation with (Gastrin) Polyclonal Antibody, Unconjugated (TMAB-00747) at 1:200 overnight at 4°C, followed by a conjugated secondary for 20 min and DAB staining.
verifiedActivity
应用IFIHC-FrIHC-P
推荐剂量
IHC-P: 1:100-500; IHC-Fr: 1:100-500; IF: 1:100-500
抗体种类
Polyclonal
宿主来源Rabbit
亚细胞定位Secreted.
构建方式Polyclonal Antibody
纯化方式Protein A purified
性状Liquid
缓冲液0.01M TBS (pH7.4) with 1% BSA, 0.02% Proclin300 and 50% Glycerol.
浓度1 mg/mL
研究背景Gastrin is responsible for epithelial cell proliferation and differentiation. Gastrin regulates the action of parietal cells in secretion of gastric acid and growth factors essential for stomach maintenance. Gastrin maintains sodium ion homeostasis and controls body’s blood pressure. Hypoxial conditions in in vitro and in vivo analysis may elevate the expression of gastrin hormone in cancer cells in order to promote angiogenesis. The only established clinical routine use of gastrin RIA so far is in the diagnosis, localization, and therapeutic control of gastrinomas (Zollinger–Ellison or Z–E tumors).
抗原信息
免疫原
KLH conjugated synthetic peptide: human Gastrin
抗原种属
Human
基因名称
GAST
基因ID
蛋白名称
Gastrin
Uniprot ID
研究领域
Hormones,Leukocyte recruitment,Blood,Hormones
功能
Gastrin stimulates the stomach mucosa to produce and secrete hydrochloric acid and the pancreas to secrete its digestive enzymes. It also stimulates smooth muscle contraction and increases blood circulation and water secretion in the stomach and intestine.
化学信息
分子量Theoretical: 2.1/3.9/6/8 kDa.
存储&运输
储存方式Store at -20°C or -80°C for 12 months. Avoid repeated freeze-thaw cycles.
运输方式Shipping with blue ice.

计算器

  • 稀释 计算器

评论列表

4个月前
5.0
Rating icon 很棒

评论内容

Related Tags: buy Anti-GAST Polyclonal Antibody | purchase Anti-GAST Polyclonal Antibody | Anti-GAST Polyclonal Antibody cost | order Anti-GAST Polyclonal Antibody | Anti-GAST Polyclonal Antibody molecular weight