购物车
  • TargetMol
    您的购物车当前为空

Anti-GABRA1 Polyclonal Antibody

Synonyms: Gamma-aminobutyric acid receptor subunit alpha-1, GABRA1, GABA(A) receptor subunit alpha-1 (GABAAR subunit alpha-1)
货号 TMAB-00729 一键复制产品信息
Rating icon 还可以

Anti-GABRA1 Polyclonal Antibody 是一种 Rabbit 抗体,靶向 GABRA1。Anti-GABRA1 Polyclonal Antibody 可用于 IF, IHC-Fr, IHC-P, WB。

Anti-GABRA1 Polyclonal Antibody

一键复制产品信息
Rating icon 还可以
货号 TMAB-00729

别名 Gamma-aminobutyric acid receptor subunit alpha-1, GABRA1, GABA(A) receptor subunit alpha-1 (GABAAR subunit alpha-1)

Anti-GABRA1 Polyclonal Antibody 是一种 Rabbit 抗体,靶向 GABRA1。Anti-GABRA1 Polyclonal Antibody 可用于 IF, IHC-Fr, IHC-P, WB。

Anti-GABRA1 Polyclonal Antibody
规格价格库存数量
50 μL
¥ 1,160
5日内发货
100 μL
¥ 1,960
5日内发货
200 μL
¥ 2,795
5日内发货
库存状态实时更新,以官网显示为准,现货产品可直接加购物车下单
大包装 & 定制
加入购物车

TargetMol的所有产品仅用作科学研究或药证申报,不能被用于人体,我们不向个人提供产品和服务。请您遵守承诺用途,不得违反法律法规规定用于任何其他用途。

实验操作小课堂
常见问题解答
查看更多

资源下载:产品操作手册

产品介绍


生物活性
产品描述
Anti-GABRA1 Polyclonal Antibody is a Rabbit antibody targeting GABRA1. Anti-GABRA1 Polyclonal Antibody can be used in IF, IHC-Fr, IHC-P, WB.
别名
Gamma-aminobutyric acid receptor subunit alpha-1, GABRA1, GABA(A) receptor subunit alpha-1 (GABAAR subunit alpha-1)
Ig Type
IgG
反应种属
Mouse,Rat (predicted:Human,Chicken,Dog,Cow,Horse)
验证活性
1. Sample: Brain (Mouse) Lysate at 40 μg
Primary: Anti-GABA A Receptor (TMAB-00729) at 1/300 dilution
Secondary: IRDye800CW Goat Anti-Rabbit IgG at 1/10000 dilution
Predicted band size: 52 kDa
Observed band size: 52 kDa
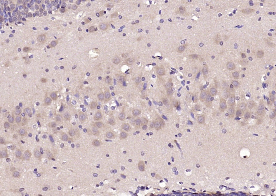
2. Paraformaldehyde-fixed, paraffin embedded (rat brain); Antigen retrieval by boiling in sodium citrate buffer (pH6.0) for 15 min; Block endogenous peroxidase by 3% hydrogen peroxide for 20 min; Blocking buffer (normal goat serum) at 37°C for 30 min; Antibody incubation with (GABRA1 GABA A Receptor alpha 1) Polyclonal Antibody, Unconjugated (TMAB-00729) at 1:200 overnight at 4°C, followed by operating according to SP Kit (Rabbit) instructionsand DAB staining.
3. Sample:
Cerebrum (Mouse) Lysate at 40 μg
Cerebellum (Rat) Lysate at 40 μg
Primary: Anti-GABRA1/GABA A Receptor alpha 1 (TMAB-00729) at 1/1000 dilution
Secondary: IRDye800CW Goat Anti-Rabbit IgG at 1/20000 dilution
Predicted band size: 52 kDa
Observed band size: 52 kDa
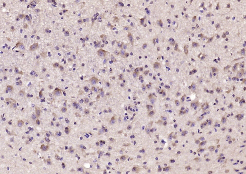
4. Paraformaldehyde-fixed, paraffin embedded (mouse brain); Antigen retrieval by boiling in sodium citrate buffer (pH6.0) for 15 min; Block endogenous peroxidase by 3% hydrogen peroxide for 20 min; Blocking buffer (normal goat serum) at 37°C for 30 min; Antibody incubation with (GABRA1 GABA A Receptor alpha 1) Polyclonal Antibody, Unconjugated (TMAB-00729) at 1:200 overnight at 4°C, followed by operating according to SP Kit (Rabbit) instructionsand DAB staining.
verifiedActivityverifiedActivityverifiedActivityverifiedActivity
应用IFIHC-FrIHC-PWB
推荐剂量
WB: 1:500-2000; IHC-P: 1:100-500; IHC-Fr: 1:100-500; IF: 1:100-500
抗体种类
Polyclonal
宿主来源Rabbit
亚细胞定位Cell junction, synapse, postsynaptic cell membrane; Multi-pass membrane protein. Cell membrane; Multi-pass membrane protein.
组织特异性Highly expressed in brain and weakly in heart, small intestine and uterus. Isoform 1A is mostly expressed in granular cell and molecular layer. Isoform 1B is mostly expressed in Purkinje cells. Isoform 1E is predominantly expressed in peripheral tissues a
构建方式Polyclonal Antibody
纯化方式Protein A purified
性状Liquid
缓冲液0.01M TBS (pH7.4) with 1% BSA, 0.02% Proclin300 and 50% Glycerol.
浓度1 mg/mL
研究背景GAD-65 and GAD-67, glutamate decarboxylases, function to catalyze the production of GABA (g-aminobutyric acid). In the central nervous system GABA functions as the main inhibitory transmitter by increasing a Cl-conductance that inhibits neuronal firing. GABA has been shown to activate both ionotropic (GABAA) and metabotropic (GABAB) receptors as well as a third class of receptors called GABAC. Both GABAA and GABAC are ligand-gated ion channels, however, they are structurally and functionally distinct. Members of the GABAA receptor family include GABAA R alpha 1-6, GABAA R beta 1-3, GABAA R©1-3, GABAA R∂, GABAA R gamma, GABAA R delta 1 and GABAA R delta 2. The GABAB family is composed of GABAB R1 alpha and GABAB R1 beta. GABA transporters have also been identified and include GABA T-1, GABA T-2 and GABA T-3 (also designated GAT-1, -2 and -3). The GABA transporters function to terminate GABA action.
抗原信息
免疫原
KLH conjugated synthetic peptide: human GABRA1
抗原种属
Human
基因名称
GABRA1
基因ID
蛋白名称
gamma-aminobutyric acid receptor subunit alpha-1
Uniprot ID
功能
GABA, the major inhibitory neurotransmitter in the vertebrate brain, mediates neuronal inhibition by binding to the GABA/benzodiazepine receptor and opening an integral chloride channel.
化学信息
分子量Theoretical: 52 kDa. Actual: 52 kDa.
储存&溶解度
储存方式Store at -20°C or -80°C for 12 months. Avoid repeated freeze-thaw cycles.
运输方式Shipping with blue ice.

计算器

  • 稀释 计算器
  • 配液 计算器
Related Tags: buy Anti-GABRA1 Polyclonal Antibody | purchase Anti-GABRA1 Polyclonal Antibody | Anti-GABRA1 Polyclonal Antibody cost | order Anti-GABRA1 Polyclonal Antibody | Anti-GABRA1 Polyclonal Antibody molecular weight