• TargetMol
    您的购物车当前为空

Anti-FURIN Antibody (5P939)

一键复制产品信息
Rating icon 还可以
货号 TMAC-01574

别名 PCSK3, Paired basic amino acid residue-cleaving enzyme, PACE, FURIN, FUR, Dibasic-processing enzyme

Anti-FURIN Antibody (5P939) 是一种 Rabbit 抗体,靶向 FURIN。Anti-FURIN Antibody (5P939) 可用于 ICC,IHC,WB。

Anti-FURIN Antibody (5P939)

Anti-FURIN Antibody (5P939)

一键复制产品信息
Rating icon 还可以
货号 TMAC-01574 别名 PCSK3, Paired basic amino acid residue-cleaving enzyme, PACE, FURIN, FUR, Dibasic-processing enzyme

Anti-FURIN Antibody (5P939) 是一种 Rabbit 抗体,靶向 FURIN。Anti-FURIN Antibody (5P939) 可用于 ICC,IHC,WB。

规格价格库存数量
50 μL
¥ 1,495
5日内发货
100 μL
¥ 2,480
5日内发货
库存状态实时更新,以官网显示为准,现货产品可直接加购物车下单
大包装 & 定制
加入购物车
TargetMol的所有产品仅用作科学研究或药证申报,不能被用于人体,我们不向个人提供产品和服务。请您遵守承诺用途,不得违反法律法规规定用于任何其他用途。
实验操作小课堂
常见问题解答
查看更多
资源下载:

产品介绍


生物活性
产品描述
Anti-FURIN Antibody (5P939) is a Rabbit antibody targeting FURIN. Anti-FURIN Antibody (5P939) can be used in ICC,IHC,WB.
别名PCSK3, Paired basic amino acid residue-cleaving enzyme, PACE, FURIN, FUR, Dibasic-processing enzyme
Ig Type
IgG
克隆号
5P939
反应种属
Human,Mouse,Rat
验证活性
1. Western blot analysis of Furin on different cell lysates using anti-Furin antibody at 1/500 dilution. Positive control: Lane 1: HepG2, Lane 2: Hela, Lane 3: Hela, Lane 4: MCF-7.
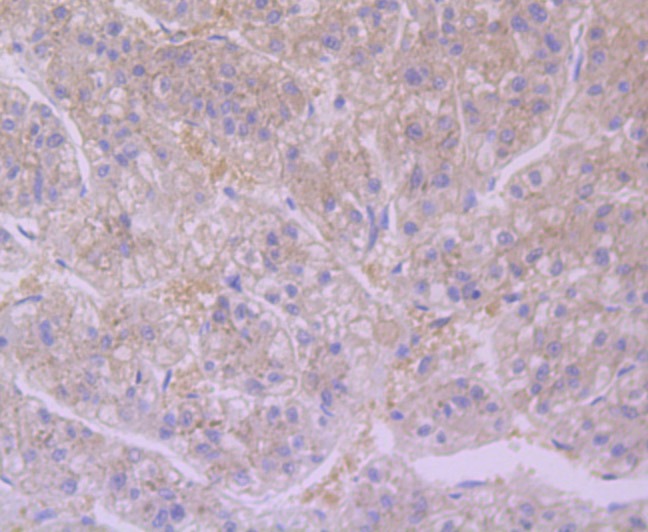
2. Immunohistochemical analysis of paraffin-embedded human liver tissue using anti-Furin antibody. Counter stained with hematoxylin.
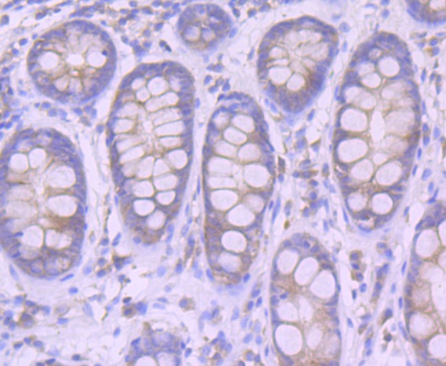
3. Immunohistochemical analysis of paraffin-embedded human colon tissue using anti-Furin antibody. Counter stained with hematoxylin.
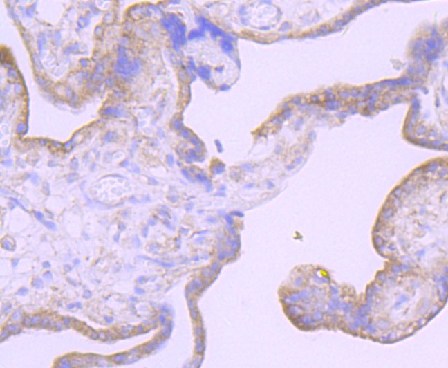
4. Immunohistochemical analysis of paraffin-embedded human placenta tissue using anti-Furin antibody. Counter stained with hematoxylin.
5. Immunohistochemical analysis of paraffin-embedded mouse brain tissue using anti-Furin antibody. Counter stained with hematoxylin.
verifiedActivityverifiedActivityverifiedActivityverifiedActivityverifiedActivity
应用ICCIHCWB
推荐剂量
WB: 1:500-1000; IHC: 1:50; ICC: 1:50-100
抗体种类
Monoclonal
宿主来源Rabbit
构建方式Recombinant Antibody
纯化方式ProA affinity purified
性状Liquid
缓冲液1*TBS (pH7.4), 1%BSA, 40%Glycerol. Preservative: 0.05% Sodium Azide.
研究背景Furin (FUR, PACE, PCSK3, SPC1, Kex2p) is a calcium-dependent serine endoprotease that belongs to the subtilisin-like proprotein convertase family. The members of this family process latent precursor proteins into their biologically active products. Furin cleaves at paired basic amino acid processing sites within proparathyroid hormone, transforming growth factor beta 1 precursor, proalbumin, pro-beta-secretase, membrane type-1 matrix metalloproteinase, beta subunit of pro-nerve growth factor and von Willebrand factor. Furin can directly cleave proMMP-2 within the trans-Golgi network leading to an inactive form of matrix metalloproteinase-2 (MMP-2). Furin is synthesized as an inactive zymogen that may minimize the occurrence of premature enzymatic activity that would lead to alternative protein activation or degradation. The inhibitory mechanism is based on the presence of an inactivating prosegment at the NH2 terminal of the Furin. After initial autocatalytic cleavage, the prosegment remains tightly associated until it reaches the trans-Golgi network where the dissociation of the prosegment and activation of furin occurs.
偶联与修饰
偶联
Unconjugated
抗原信息
免疫原
Recombinant Protein: human Furin aa 200-400
抗原种属
human
Uniprot ID
化学信息
分子量Theoretical: 87 kDa.
储存&溶解度
储存方式Store at -20°C or -80°C for 12 months. Avoid repeated freeze-thaw cycles.
运输方式Shipping with blue ice.
存储store at low temperature | -20°C for 1 year

计算器

  • 稀释 计算器
Related Tags: buy Anti-FURIN Antibody (5P939) | purchase Anti-FURIN Antibody (5P939) | Anti-FURIN Antibody (5P939) cost | order Anti-FURIN Antibody (5P939) | Anti-FURIN Antibody (5P939) molecular weight