• TargetMol
    您的购物车当前为空

Anti-FOXO4 Antibody (2X512)

一键复制产品信息
Rating icon 还可以
货号 TMAC-01557

别名 trithorax homolog (Drosophila), translocated to 7, RGD1561201, Myeloid/lymphoid or mixed lineage leukemia, MLLT7, Mixed lineage leukemia, MGC120490, MGC117660, FOXO 4, Forkhead box O4, Fork head domain transcription factor AFX1, ALL1-fused gene from X chromosome, Afxh, AFX1, AFX

Anti-FOXO4 Antibody (2X512) 是一种 Rabbit 抗体,靶向 FOXO4。Anti-FOXO4 Antibody (2X512) 可用于 IHC,WB。

Anti-FOXO4 Antibody (2X512)

Anti-FOXO4 Antibody (2X512)

一键复制产品信息
Rating icon 还可以
货号 TMAC-01557 别名 trithorax homolog (Drosophila), translocated to 7, RGD1561201, Myeloid/lymphoid or mixed lineage leukemia, MLLT7, Mixed lineage leukemia, MGC120490, MGC117660, FOXO 4, Forkhead box O4, Fork head domain transcription factor AFX1, ALL1-fused gene from X chromosome, Afxh, AFX1, AFX

Anti-FOXO4 Antibody (2X512) 是一种 Rabbit 抗体,靶向 FOXO4。Anti-FOXO4 Antibody (2X512) 可用于 IHC,WB。

规格价格库存数量
50 μL
¥ 1,490
5日内发货
100 μL
¥ 2,490
5日内发货
库存状态实时更新,以官网显示为准,现货产品可直接加购物车下单
大包装 & 定制
加入购物车
TargetMol的所有产品仅用作科学研究或药证申报,不能被用于人体,我们不向个人提供产品和服务。请您遵守承诺用途,不得违反法律法规规定用于任何其他用途。
实验操作小课堂
常见问题解答
查看更多
资源下载:

产品介绍


生物活性
产品描述
Anti-FOXO4 Antibody (2X512) is a Rabbit antibody targeting FOXO4. Anti-FOXO4 Antibody (2X512) can be used in IHC,WB.
别名trithorax homolog (Drosophila), translocated to 7, RGD1561201, Myeloid/lymphoid or mixed lineage leukemia, MLLT7, Mixed lineage leukemia, MGC120490, MGC117660, FOXO 4, Forkhead box O4, Fork head domain transcription factor AFX1, ALL1-fused gene from X chromosome, Afxh, AFX1, AFX
Ig Type
IgG
克隆号
2X512
反应种属
Human
验证活性
1. Western blot analysis of FOXO4 on human lung lysates using anti-FOXO4 antibody at 1/1,000 dilution.
2. Immunohistochemical analysis of paraffin-embedded human lung cancer tissue using anti-FOXO4 antibody. Counter stained with hematoxylin.
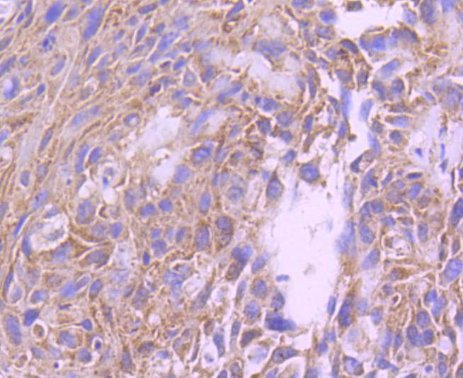
3. Immunohistochemical analysis of paraffin-embedded human breast carcinoma tissue using anti-FOXO4 antibody. Counter stained with hematoxylin.
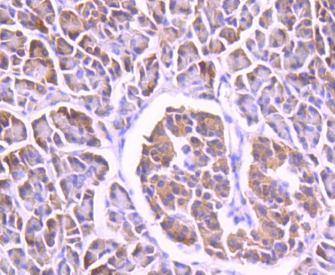
4. Immunohistochemical analysis of paraffin-embedded human pancreas tissue using anti-FOXO4 antibody. Counter stained with hematoxylin.
verifiedActivityverifiedActivityverifiedActivityverifiedActivity
应用IHCWB
推荐剂量
WB: 1:1000-2000; IHC: 1:50-200
抗体种类
Monoclonal
宿主来源Rabbit
构建方式Recombinant Antibody
纯化方式ProA affinity purified
性状Liquid
缓冲液1*TBS (pH7.4), 1%BSA, 40%Glycerol. Preservative: 0.05% Sodium Azide.
研究背景FKHR (for forkhead in rhabdomyosarcoma), FKHRL1, and AFX1 are members of a subfamily of the forkhead family of transcription factors. AFX1, also known as FoxO4, is expressed in a wide variety of tissues and, like other FKHR proteins, AFX1 contains a single forkhead domain and serine-proline-rich region, which mediate DNA binding. AFX1-mediated transcriptional activation is regulated by the serine/threonine kinase Akt1, which phosphorylates AFX1 and in turn, sequesters AFX1 in the cytosol, thereby blocking nuclear localization and DNA binding. Genetic mutations in FKHR genes, including the t(2;13) and t(1;3) translocations, are commonly found in alveolar rhabdomyosarcomas. Additionally, the t(x;11) translocation of the AFX1 gene, which involves the fusion of a serine-proline-rich sequence of AFX1 to the carboxy terminus of a truncated MLL, results in acute lymphocytic leukemia.
偶联与修饰
偶联
Unconjugated
抗原信息
免疫原
Recombinant Protein
Uniprot ID
化学信息
分子量Theoretical: 54/48 kDa.
储存&溶解度
储存方式Store at -20°C or -80°C for 12 months. Avoid repeated freeze-thaw cycles.
运输方式Shipping with blue ice.
存储store at low temperature | -20°C for 1 year

计算器

  • 稀释 计算器
Related Tags: buy Anti-FOXO4 Antibody (2X512) | purchase Anti-FOXO4 Antibody (2X512) | Anti-FOXO4 Antibody (2X512) cost | order Anti-FOXO4 Antibody (2X512) | Anti-FOXO4 Antibody (2X512) molecular weight