• TargetMol
    您的购物车当前为空

Anti-FLRT2 Polyclonal Antibody

一键复制产品信息
Rating icon 还可以
货号 TMAB-00688

别名 FLRT2, fibronectin leucine rich transmembrane protein 2

Anti-FLRT2 Polyclonal Antibody 是一种 Rabbit 抗体,靶向 FLRT2。Anti-FLRT2 Polyclonal Antibody 可用于 IF,IHC-Fr,IHC-P。

Anti-FLRT2 Polyclonal Antibody

Anti-FLRT2 Polyclonal Antibody

一键复制产品信息
Rating icon 还可以
货号 TMAB-00688 别名 FLRT2, fibronectin leucine rich transmembrane protein 2

Anti-FLRT2 Polyclonal Antibody 是一种 Rabbit 抗体,靶向 FLRT2。Anti-FLRT2 Polyclonal Antibody 可用于 IF,IHC-Fr,IHC-P。

规格价格库存数量
50 μL
¥ 1,165
5日内发货
100 μL
¥ 1,970
5日内发货
200 μL
¥ 2,795
5日内发货
库存状态实时更新,以官网显示为准,现货产品可直接加购物车下单
大包装 & 定制
加入购物车
TargetMol的所有产品仅用作科学研究或药证申报,不能被用于人体,我们不向个人提供产品和服务。请您遵守承诺用途,不得违反法律法规规定用于任何其他用途。
实验操作小课堂
常见问题解答
查看更多
资源下载:

产品介绍


生物活性
产品描述
Anti-FLRT2 Polyclonal Antibody is a Rabbit antibody targeting FLRT2. Anti-FLRT2 Polyclonal Antibody can be used in IF,IHC-Fr,IHC-P.
别名FLRT2, fibronectin leucine rich transmembrane protein 2
Ig Type
IgG
反应种属
Mouse,Rat (predicted:Human,Chicken,Dog,Pig,Cow,Horse,Sheep)
验证活性
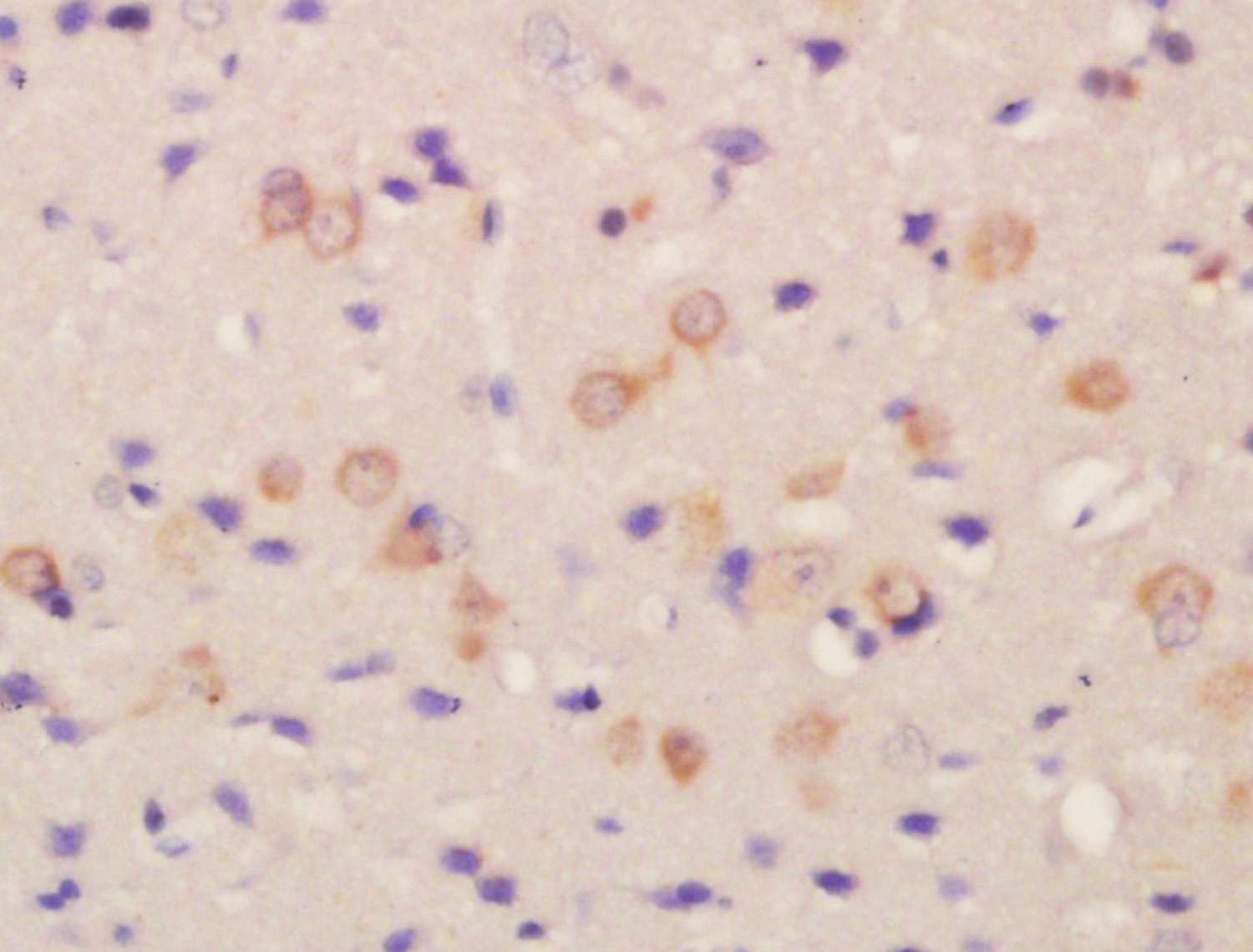
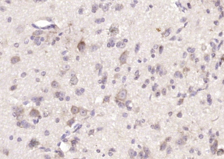
1. Tissue/cell: rat brain tissue; 4% Paraformaldehyde-fixed and paraffin-embedded;
Antigen retrieval: citrate buffer (0.01M, pH6.0), Boiling bathing for 15 min; Block endogenous peroxidase by 3% Hydrogen peroxide for 30 min; Blocking buffer (normal goat serum) at 37°C for 20 min;
Incubation: Anti-FLRT2 Polyclonal Antibody, Unconjugated (TMAB-00688) 1:200, overnight at 4°C, followed by conjugation to the secondary antibody and DAb staining.
2. Paraformaldehyde-fixed, paraffin embedded (mouse cerebellum); Antigen retrieval by boiling in sodium citrate buffer (pH6.0) for 15 min; Block endogenous peroxidase by 3% hydrogen peroxide for 20 min; Blocking buffer (normal goat serum) at 37°C for 30 min; Antibody incubation with (FLRT2) Polyclonal Antibody, Unconjugated (TMAB-00688) at 1:200 overnight at 4°C, followed by operating according to SP Kit (Rabbit) instructionsand DAB staining.
verifiedActivityverifiedActivity
应用IFIHC-FrIHC-P
推荐剂量
IHC-P: 1:100-500; IHC-Fr: 1:100-500; IF: 1:100-500
抗体种类
Polyclonal
宿主来源Rabbit
亚细胞定位Membrane; Single-pass type I membrane protein.
组织特异性Expressed in pancreas, skeletal muscle, brain, and heart.
构建方式Polyclonal Antibody
纯化方式Protein A purified
性状Liquid
缓冲液0.01M TBS (pH7.4) with 1% BSA, 0.02% Proclin300 and 50% Glycerol.
浓度1 mg/mL
研究背景FLRT2 is a 660 amino acid single-pass type I membrane protein that is expressed in pancreas, skeletal muscle, brain and heart. Comprised of one fibronectin type-III domain and ten LRR (leucine-rich) repeats, FLRT2 may play a role in cell adhesion and/or receptor signaling. It is suggested that FLRT2 is involved in mediating events such as NCC (neural crest cell) migration, chondrogenesis and epithelial-mesenchymal interactions during craniofacial development.
抗原信息
免疫原
KLH conjugated synthetic peptide: human FLRT2
抗原种属
Human
基因名称
FLRT2
基因ID
蛋白名称
Leucine-rich repeat transmembrane protein FLRT2
Uniprot ID
研究领域
FGF,Chondrogenesis
功能
May have a function in cell adhesion and/or receptor signaling.
化学信息
分子量Theoretical: 70 kDa.
储存&溶解度
储存方式Store at -20°C or -80°C for 12 months. Avoid repeated freeze-thaw cycles.
运输方式Shipping with blue ice.
存储store at low temperature | store at -20°C

计算器

  • 稀释 计算器

关键词

Related Tags: buy Anti-FLRT2 Polyclonal Antibody | purchase Anti-FLRT2 Polyclonal Antibody | Anti-FLRT2 Polyclonal Antibody cost | order Anti-FLRT2 Polyclonal Antibody | Anti-FLRT2 Polyclonal Antibody molecular weight