• TargetMol
    您的购物车当前为空

Anti-FIS1 Antibody (5I637)

一键复制产品信息
Rating icon 还可以
货号 TMAC-04146

别名 TTC11, TPR Repeat Protein 11, Tetratricopeptide Repeat Protein 11, Mitochondrial Fission 1 Protein, hFis1, FIS1 Homolog, FIS1, CGI-135

Anti-FIS1 Antibody (5I637) 是一种 Rabbit 抗体,靶向 FIS1。Anti-FIS1 Antibody (5I637) 可用于 ICC,IF,IHC,WB。

Anti-FIS1 Antibody (5I637)

Anti-FIS1 Antibody (5I637)

一键复制产品信息
Rating icon 还可以
货号 TMAC-04146 别名 TTC11, TPR Repeat Protein 11, Tetratricopeptide Repeat Protein 11, Mitochondrial Fission 1 Protein, hFis1, FIS1 Homolog, FIS1, CGI-135

Anti-FIS1 Antibody (5I637) 是一种 Rabbit 抗体,靶向 FIS1。Anti-FIS1 Antibody (5I637) 可用于 ICC,IF,IHC,WB。

规格价格库存数量
50 μL
¥ 1,490
5日内发货
100 μL
¥ 2,495
5日内发货
库存状态实时更新,以官网显示为准,现货产品可直接加购物车下单
大包装 & 定制
加入购物车
TargetMol的所有产品仅用作科学研究或药证申报,不能被用于人体,我们不向个人提供产品和服务。请您遵守承诺用途,不得违反法律法规规定用于任何其他用途。
实验操作小课堂
常见问题解答
查看更多
资源下载:

产品介绍


生物活性
产品描述
Anti-FIS1 Antibody (5I637) is a Rabbit antibody targeting FIS1. Anti-FIS1 Antibody (5I637) can be used in ICC,IF,IHC,WB.
别名TTC11, TPR Repeat Protein 11, Tetratricopeptide Repeat Protein 11, Mitochondrial Fission 1 Protein, hFis1, FIS1 Homolog, FIS1, CGI-135
Ig Type
IgG
克隆号
5I637
反应种属
Human
验证活性
1. Western blot analysis of TTC11 on SK-Br-3 cell using anti-TTC11 antibody at 1/2,000 dilution.
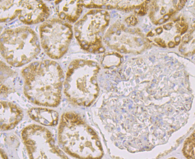
2. Immunohistochemical analysis of paraffin-embedded human kidney tissue using anti-TTC11 antibody. Counter stained with hematoxylin.
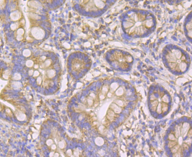
3. Immunohistochemical analysis of paraffin-embedded human small intestine tissue using anti-TTC11 antibody. Counter stained with hematoxylin.
4. Immunohistochemical analysis of paraffin-embedded human uterus tissue using anti-TTC11 antibody. Counter stained with hematoxylin.
5. ICC staining TTC11 in MCF-7 cells (green). The nuclear counter stain is DAPI (blue). Cells were fixed in paraformaldehyde, permeabilised with 0.25% Triton X100/PBS.
6. ICC staining TTC11 in SH-SY-5Y cells (green). The nuclear counter stain is DAPI (blue). Cells were fixed in paraformaldehyde, permeabilised with 0.25% Triton X100/PBS.
7. ICC staining TTC11 in SK-Br-3 cells (green). The nuclear counter stain is DAPI (blue). Cells were fixed in paraformaldehyde, permeabilised with 0.25% Triton X100/PBS.
verifiedActivityverifiedActivityverifiedActivityverifiedActivityverifiedActivityverifiedActivityverifiedActivity
应用ICCIFIHCWB
推荐剂量
WB: 1:500-2000; IHC: 1:50-200; ICC: 1:50-200
抗体种类
Monoclonal
宿主来源Rabbit
构建方式Recombinant Antibody
纯化方式ProA affinity purified
性状Liquid
缓冲液1*TBS (pH7.4), 1%BSA, 40%Glycerol. Preservative: 0.05% Sodium Azide.
研究背景Fis1 localizes to the outer mitochondrial membrane and, along with dynamin-related protein (Drp1), participates in mitochondrial fission. Fission and fusion mechanisms regulate mitochondrial morphology within the cell. Fission frequency is determined by the level of Fis1 molecules at the mitochondrial surface. Fis1 contains a C-terminal domain, which is required for mitochondrial localization, and an N-terminal domain, which is necessary for mitochondrial fission. Fragmentation of the mitochondrial network by Fis1 leads to cytochrome c release and apoptosis. The mitochondrial fission mechanisms may be involved in positively and negatively regulating apoptosis.
偶联与修饰
偶联
Unconjugated
抗原信息
Uniprot ID
化学信息
分子量Theoretical: 17 kDa.
储存&溶解度
储存方式Store at -20°C or -80°C for 12 months. Avoid repeated freeze-thaw cycles.
运输方式Shipping with blue ice.
存储store at low temperature | -20°C for 1 year

计算器

  • 稀释 计算器
Related Tags: buy Anti-FIS1 Antibody (5I637) | purchase Anti-FIS1 Antibody (5I637) | Anti-FIS1 Antibody (5I637) cost | order Anti-FIS1 Antibody (5I637) | Anti-FIS1 Antibody (5I637) molecular weight