• TargetMol
    您的购物车当前为空

Anti-Fibromodulin Polyclonal Antibody

一键复制产品信息
Rating icon 还可以
货号 TMAB-00677

别名 SLRR2E, FM, fibromodulin

Anti-Fibromodulin Polyclonal Antibody 是一种 Rabbit 抗体,靶向 Fibromodulin。Anti-Fibromodulin Polyclonal Antibody 可用于 IF,IHC-Fr,IHC-P。

Anti-Fibromodulin Polyclonal Antibody

Anti-Fibromodulin Polyclonal Antibody

一键复制产品信息
Rating icon 还可以
货号 TMAB-00677 别名 SLRR2E, FM, fibromodulin

Anti-Fibromodulin Polyclonal Antibody 是一种 Rabbit 抗体,靶向 Fibromodulin。Anti-Fibromodulin Polyclonal Antibody 可用于 IF,IHC-Fr,IHC-P。

规格价格库存数量
50 μL
¥ 1,170
5日内发货
100 μL
¥ 1,965
5日内发货
200 μL
¥ 2,785
5日内发货
库存状态实时更新,以官网显示为准,现货产品可直接加购物车下单
大包装 & 定制
加入购物车
TargetMol的所有产品仅用作科学研究或药证申报,不能被用于人体,我们不向个人提供产品和服务。请您遵守承诺用途,不得违反法律法规规定用于任何其他用途。
实验操作小课堂
常见问题解答
查看更多
资源下载:

产品介绍


生物活性
产品描述
Anti-Fibromodulin Polyclonal Antibody is a Rabbit antibody targeting Fibromodulin. Anti-Fibromodulin Polyclonal Antibody can be used in IF,IHC-Fr,IHC-P.
别名SLRR2E, FM, fibromodulin
Ig Type
IgG
反应种属
Rat (predicted:Human,Mouse,Sheep)
验证活性
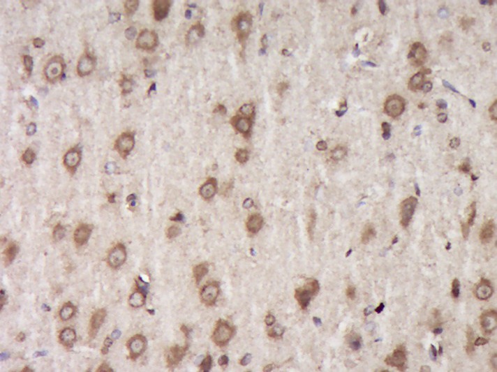
Paraformaldehyde-fixed, paraffin embedded (Rat brain); Antigen retrieval by boiling in sodium citrate buffer (pH6.0) for 15 min; Block endogenous peroxidase by 3% hydrogen peroxide for 20 min; Blocking buffer (normal goat serum) at 37°C for 30 min; Antibody incubation with (Fibromodulin) Polyclonal Antibody, Unconjugated (TMAB-00677) at 1:400 overnight at 4°C, followed by operating according to SP Kit (Rabbit) instructions and DAB staining.
verifiedActivity
应用IFIHC-FrIHC-P
推荐剂量
IHC-P: 1:100-500; IHC-Fr: 1:100-500; IF: 1:100-500
抗体种类
Polyclonal
宿主来源Rabbit
亚细胞定位Secreted, extracellular space, extracellular matrix.
构建方式Polyclonal Antibody
纯化方式Protein A purified
性状Liquid
缓冲液0.01M TBS (pH7.4) with 1% BSA, 0.02% Proclin300 and 50% Glycerol.
浓度1 mg/mL
研究背景Fibromodulin is a ubiquitous protein that is most prominent in articular cartilage, tendon, and ligament. The human Fibromodulin gene maps to chromosome 1q32 and encodes a 376 amino acid protein.
抗原信息
免疫原
KLH conjugated synthetic peptide: human Fibromodulin
抗原种属
Human
基因名称
FMOD
基因ID
蛋白名称
Fibromodulin
Uniprot ID
研究领域
Other ECM Proteins,Chondrogenesis
功能
Affects the rate of fibrils formation. May have a primary role in collagen fibrillogenesis.
化学信息
分子量Theoretical: 41 kDa.
储存&溶解度
储存方式Store at -20°C or -80°C for 12 months. Avoid repeated freeze-thaw cycles.
运输方式Shipping with blue ice.
存储store at low temperature | store at -20°C

计算器

  • 稀释 计算器
Related Tags: buy Anti-Fibromodulin Polyclonal Antibody | purchase Anti-Fibromodulin Polyclonal Antibody | Anti-Fibromodulin Polyclonal Antibody cost | order Anti-Fibromodulin Polyclonal Antibody | Anti-Fibromodulin Polyclonal Antibody molecular weight