• TargetMol
    您的购物车当前为空

Anti-FGF-7/KGF Polyclonal Antibody

一键复制产品信息
Rating icon 还可以
货号 TMAB-00672

别名 成纤维细胞生长因子, KGF, HBGF-7, FGF-7

Anti-FGF-7/KGF Polyclonal Antibody 是一种 Rabbit 抗体,靶向 FGF-7/KGF。Anti-FGF-7/KGF Polyclonal Antibody 可用于 IF,IHC-Fr,IHC-P。

Anti-FGF-7/KGF Polyclonal Antibody

Anti-FGF-7/KGF Polyclonal Antibody

一键复制产品信息
Rating icon 还可以
货号 TMAB-00672 别名 成纤维细胞生长因子, KGF, HBGF-7, FGF-7

Anti-FGF-7/KGF Polyclonal Antibody 是一种 Rabbit 抗体,靶向 FGF-7/KGF。Anti-FGF-7/KGF Polyclonal Antibody 可用于 IF,IHC-Fr,IHC-P。

规格价格库存数量
50 μL
¥ 1,165
5日内发货
100 μL
¥ 1,960
5日内发货
200 μL
¥ 2,780
5日内发货
库存状态实时更新,以官网显示为准,现货产品可直接加购物车下单
大包装 & 定制
加入购物车
TargetMol的所有产品仅用作科学研究或药证申报,不能被用于人体,我们不向个人提供产品和服务。请您遵守承诺用途,不得违反法律法规规定用于任何其他用途。
实验操作小课堂
常见问题解答
查看更多
资源下载:

产品介绍


生物活性
产品描述
Anti-FGF-7/KGF Polyclonal Antibody is a Rabbit antibody targeting FGF-7/KGF. Anti-FGF-7/KGF Polyclonal Antibody can be used in IF,IHC-Fr,IHC-P.
别名成纤维细胞生长因子, KGF, HBGF-7, FGF-7
Ig Type
IgG
反应种属
Human,Rat (predicted:Mouse,Chicken,Dog,Pig,Sheep)
验证活性
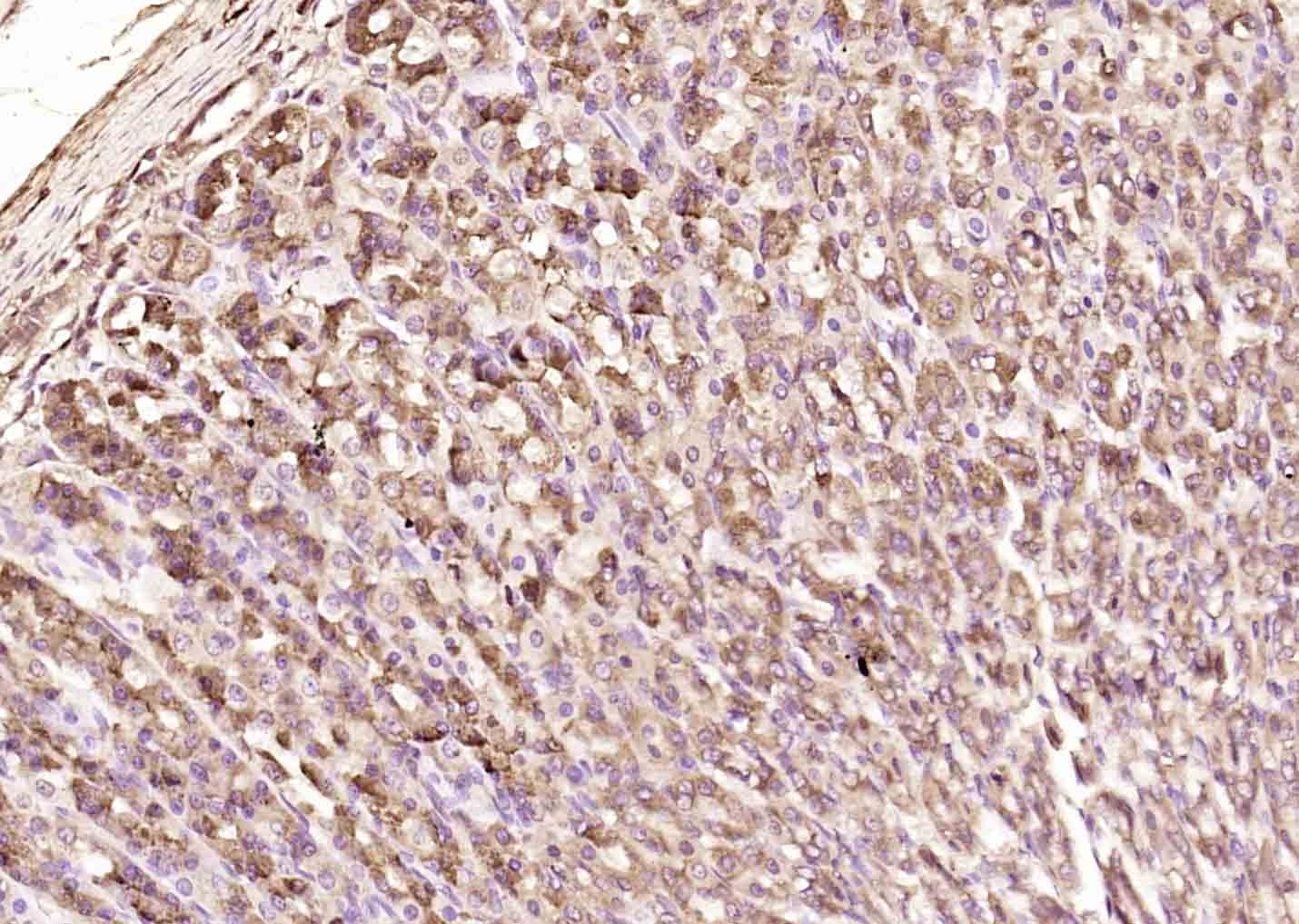
Paraformaldehyde-fixed, paraffin embedded (rat stomach); Antigen retrieval by boiling in sodium citrate buffer (pH6.0) for 15 min; Block endogenous peroxidase by 3% hydrogen peroxide for 20 min; Blocking buffer (normal goat serum) at 37°C for 30 min; Antibody incubation with (KGF) Polyclonal Antibody, Unconjugated (TMAB-00672) at 1:200 overnight at 4°C, followed by operating according to SP Kit (Rabbit) instructionsand DAB staining.
verifiedActivity
应用IFIHC-FrIHC-P
推荐剂量
IHC-P: 1:100-500; IHC-Fr: 1:100-500; IF: 1:100-500
抗体种类
Polyclonal
宿主来源Rabbit
亚细胞定位Secreted.
组织特异性Epithelial cell.
构建方式Polyclonal Antibody
纯化方式Protein A purified
性状Liquid
缓冲液0.01M TBS (pH7.4) with 1% BSA, 0.02% Proclin300 and 50% Glycerol.
浓度1 mg/mL
研究背景KGF is a member of the fibroblast growth factor (FGF) family. FGF family members possess broad mitogenic and cell survival activities, and are involved in a variety of biological processes, including embryonic development, cell growth, morphogenesis, tissue repair, tumor growth and invasion. This protein is a potent epithelial cell specific growth factor, whose mitogenic activity is predominantly exhibited in keratinocytes but not in fibroblasts and endothelial cells. Studies of mouse and rat homologs of this gene implicated roles in morphogenesis of epithelium, reepithelialization of wounds, hair development and early lung organogenesis.
抗原信息
免疫原
KLH conjugated synthetic peptide: human KGF
抗原种属
Human
基因名称
FGF7
基因ID
蛋白名称
Fibroblast growth factor 7
Uniprot ID
功能
Plays an important role in the regulation of embryonic development, cell proliferation and cell differentiation. Required for normal branching morphogenesis. Growth factor active on keratinocytes. Possible major paracrine effector of normal epithelial cell proliferation.
化学信息
分子量Theoretical: 18 kDa.
储存&溶解度
储存方式Store at -20°C or -80°C for 12 months. Avoid repeated freeze-thaw cycles.
运输方式Shipping with blue ice.
存储store at low temperature | store at -20°C

计算器

  • 稀释 计算器
Related Tags: buy Anti-FGF-7/KGF Polyclonal Antibody | purchase Anti-FGF-7/KGF Polyclonal Antibody | Anti-FGF-7/KGF Polyclonal Antibody cost | order Anti-FGF-7/KGF Polyclonal Antibody | Anti-FGF-7/KGF Polyclonal Antibody molecular weight