• TargetMol
    您的购物车当前为空

Anti-FGF-21 Polyclonal Antibody

一键复制产品信息
Rating icon 还可以
货号 TMAB-00670

别名 成纤维细胞生长因子, UNQ3115, PRO10196, FGF-21, FGF21

Anti-FGF-21 Polyclonal Antibody 是一种 Rabbit 抗体,靶向 FGF-21。Anti-FGF-21 Polyclonal Antibody 可用于 IF,IHC-Fr,IHC-P。

Anti-FGF-21 Polyclonal Antibody

Anti-FGF-21 Polyclonal Antibody

一键复制产品信息
Rating icon 还可以
货号 TMAB-00670 别名 成纤维细胞生长因子, UNQ3115, PRO10196, FGF-21, FGF21

Anti-FGF-21 Polyclonal Antibody 是一种 Rabbit 抗体,靶向 FGF-21。Anti-FGF-21 Polyclonal Antibody 可用于 IF,IHC-Fr,IHC-P。

规格价格库存数量
50 μL
¥ 1,170
5日内发货
100 μL
¥ 1,960
5日内发货
200 μL
¥ 2,780
5日内发货
大包装 & 定制
加入购物车
TargetMol 的所有产品仅用作科学研究或药证申报,不能被用于人体,我们不向个人提供产品和服务。请您遵守承诺用途,不得违反法律法规规定用于任何其他用途。
实验操作小课堂
常见问题解答
查看更多

Anti-FGF-21 Polyclonal Antibody 相关产品


资源下载

产品介绍

生物活性
产品描述
Anti-FGF-21 Polyclonal Antibody is a Rabbit antibody targeting FGF-21. Anti-FGF-21 Polyclonal Antibody can be used in IF,IHC-Fr,IHC-P.
别名成纤维细胞生长因子, UNQ3115, PRO10196, FGF-21, FGF21
Ig Type
IgG
反应种属
Human (predicted:Mouse,Rat)
验证活性
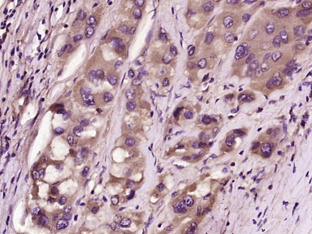
Paraformaldehyde-fixed, paraffin embedded (human liver carcinoma); Antigen retrieval by boiling in sodium citrate buffer (pH6.0) for 15 min; Block endogenous peroxidase by 3% hydrogen peroxide for 20 min; Blocking buffer (normal goat serum) at 37°C for 30 min; Antibody incubation with (FGF21) Polyclonal Antibody, Unconjugated (TMAB-00670) at 1:400 overnight at 4°C, followed by operating according to SP Kit (Rabbit) instructionsand DAB staining.
verifiedActivity
应用IFIHC-FrIHC-P
推荐剂量
IHC-P: 1:100-500; IHC-Fr: 1:100-500; IF: 1:100-500
抗体种类
Polyclonal
宿主来源Rabbit
亚细胞定位Secreted.
组织特异性Stimulates glucose uptake in differentiated adipocytes via the induction of glucose transporter SLC2A1/GLUT1 expression (but not SLC2A4/GLUT4 expression). Activity requires the presence of KLB.
构建方式Polyclonal Antibody
纯化方式Protein A purified
性状Liquid
缓冲液0.01M TBS (pH7.4) with 1% BSA, 0.02% Proclin300 and 50% Glycerol.
浓度1 mg/mL
研究背景FGF21 is a growth factor that is a member of the FGF family. Proteins of this family play a central role during prenatal development and postnatal growth and regeneration of a variety of tissues, by promoting cellular proliferation and differentiation. FGF21, in the presence of betaKlotho as a protein cofactor, signals through the FGFR 1c and 4 receptors and stimulates insulin independent glucose uptake by adipocytes.
抗原信息
免疫原
KLH conjugated synthetic peptide: human FGF21
抗原种属
Human
基因名称
FGF21
基因ID
蛋白名称
Fibroblast growth factor 21
Uniprot ID
研究领域
FGF,FGF,FGF
功能
Stimulates glucose uptake in differentiated adipocytes via the induction of glucose transporter SLC2A1/GLUT1 expression (but not SLC2A4/GLUT4 expression). Activity requires the presence of KLB.
化学信息
分子量Theoretical: 20 kDa.
存储&运输
储存方式Store at -20°C or -80°C for 12 months. Avoid repeated freeze-thaw cycles.
运输方式Shipping with blue ice.

计算器

  • 稀释 计算器

关键词

评论列表

4个月前
5.0
Rating icon 很棒

评论内容

Related Tags: buy Anti-FGF-21 Polyclonal Antibody | purchase Anti-FGF-21 Polyclonal Antibody | Anti-FGF-21 Polyclonal Antibody cost | order Anti-FGF-21 Polyclonal Antibody | Anti-FGF-21 Polyclonal Antibody molecular weight