• TargetMol
    您的购物车当前为空

Anti-FCGR2A Antibody (8G444)

一键复制产品信息
Rating icon 还可以
货号 TMAC-00699

别名 fcRII-a, FCRIIA, FcgRIIA, FCGR2A1, FCGR2A, FCGR2, FCG2, Fc γ RIIA, Fc gamma RIIA, CD32A

Anti-FCMGR2A Antibody (8G444) 是一种 Rabbit 抗体,靶向 FCMGR2A。Anti-FCMGR2A Antibody (8G444) 可用于 IHC,WB。

Anti-FCGR2A Antibody (8G444)

Anti-FCGR2A Antibody (8G444)

一键复制产品信息
Rating icon 还可以
货号 TMAC-00699 别名 fcRII-a, FCRIIA, FcgRIIA, FCGR2A1, FCGR2A, FCGR2, FCG2, Fc γ RIIA, Fc gamma RIIA, CD32A

Anti-FCMGR2A Antibody (8G444) 是一种 Rabbit 抗体,靶向 FCMGR2A。Anti-FCMGR2A Antibody (8G444) 可用于 IHC,WB。

规格价格库存数量
50 μL
¥ 1,485
5日内发货
100 μL
¥ 2,480
5日内发货
库存状态实时更新,以官网显示为准,现货产品可直接加购物车下单
大包装 & 定制
加入购物车
TargetMol的所有产品仅用作科学研究或药证申报,不能被用于人体,我们不向个人提供产品和服务。请您遵守承诺用途,不得违反法律法规规定用于任何其他用途。
实验操作小课堂
常见问题解答
查看更多
资源下载:

产品介绍


生物活性
产品描述
Anti-FCMGR2A Antibody (8G444) is a Rabbit antibody targeting FCMGR2A. Anti-FCMGR2A Antibody (8G444) can be used in IHC,WB.
别名fcRII-a, FCRIIA, FcgRIIA, FCGR2A1, FCGR2A, FCGR2, FCG2, Fc γ RIIA, Fc gamma RIIA, CD32A
Ig Type
IgG
克隆号
8G444
反应种属
Human
验证活性
1. Western blot analysis of CD32 on human lung cells lysates using anti-CD32 antibody at 1/500 dilution.
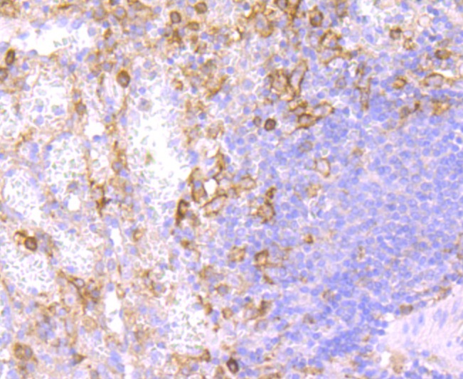
2. Immunohistochemical analysis of paraffin-embedded human tonsil tissue using anti-CD32 antibody. Counter stained with hematoxylin.
3. Immunohistochemical analysis of paraffin-embedded human spleen tissue using anti-CD32 antibody. Counter stained with hematoxylin.
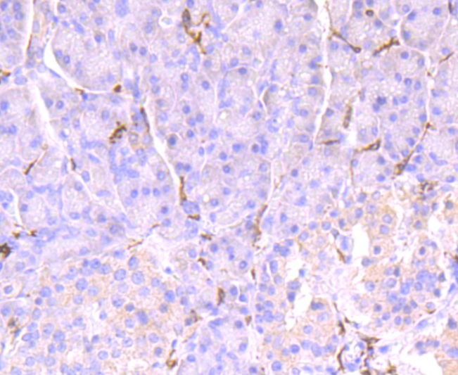
4. Immunohistochemical analysis of paraffin-embedded human pancreas tissue using anti-CD32 antibody. Counter stained with hematoxylin.
verifiedActivityverifiedActivityverifiedActivityverifiedActivity
应用IHCWB
推荐剂量
WB: 1:1000-5000; IHC: 1:50-200
抗体种类
Monoclonal
宿主来源Rabbit
构建方式Recombinant Antibody
纯化方式ProA affinity purified
性状Liquid
缓冲液1*TBS (pH7.4), 1%BSA, 40%Glycerol. Preservative: 0.05% Sodium Azide.
研究背景CD32 (also designated Fc gamma RII) is a low affinity receptor for the Fc fragment of aggregated IgG (1,2). CD32 is responsible for the clearance of immunocomplexes by macrophages and also plays an important role in the regulation of antibody production by B cells (1-4). IgG can noncooperatively bind either one or two highly glycosylated CD32 molecules, and this binding delivers a negative signal for B cells (1,2,5). CD32 exists as several isoforms that are produced by alternative splicing of three distinct genes, A, B, and C (2,6). These isoforms are designated FcgRIIA, FcgRIIB1, FcgRIIB3, and FcgRIIC (1,2,6). All isoforms are present on monocytes, placental trophoblasts and endothelial cells (1,6). In addition, the FcgRIIB forms are present on B lymphocytes, and the FcgRIIA and FcgRIIC forms are found on neutrophils (1,6).
偶联与修饰
偶联
Unconjugated
抗原信息
免疫原
Recombinant Protein
Uniprot ID
化学信息
分子量Theoretical: 45 kDa.
储存&溶解度
储存方式Store at -20°C or -80°C for 12 months. Avoid repeated freeze-thaw cycles.
运输方式Shipping with blue ice.
存储store at low temperature | -20°C for 1 year

计算器

  • 稀释 计算器
Related Tags: buy Anti-FCGR2A Antibody (8G444) | purchase Anti-FCGR2A Antibody (8G444) | Anti-FCGR2A Antibody (8G444) cost | order Anti-FCGR2A Antibody (8G444) | Anti-FCGR2A Antibody (8G444) molecular weight