购物车
  • TargetMol
    您的购物车当前为空

Anti-FANCD2 Antibody (8B144)

Synonyms: Type 4 Fanconi pancytopenia, Protein FACD2, OTTHUMP00000207925, OTTHUMP00000158853, FLJ23826, FANCONI PANCYTOPENIA TYPE 4, Fanconi anemia group D2 protein, Fanconi anemia complementation group D2, FANCONI ANEMIA COMPLEMENTATION GROUP D, FANCD2, FANCD 2, FANCD, FANC D2, FAD2, FAD, FACD2_HUMAN, FACD2, FACD 2, FACD, FAC D2, FA4, FA D2, FA 4, DKFZp762A223
货号 TMAC-01442 一键复制产品信息
Rating icon 还可以

Anti-FANCD2 Antibody (8B144) 是一种 Rabbit 抗体,靶向 FANCD2。Anti-FANCD2 Antibody (8B144) 可用于 ICC/IF,IHC,IP,WB。

Anti-FANCD2 Antibody (8B144)

一键复制产品信息
Rating icon 还可以
货号 TMAC-01442

别名 Type 4 Fanconi pancytopenia, Protein FACD2, OTTHUMP00000207925, OTTHUMP00000158853, FLJ23826, FANCONI PANCYTOPENIA TYPE 4, Fanconi anemia group D2 protein, Fanconi anemia complementation group D2, FANCONI ANEMIA COMPLEMENTATION GROUP D, FANCD2, FANCD 2, FANCD, FANC D2, FAD2, FAD, FACD2_HUMAN, FACD2, FACD 2, FACD, FAC D2, FA4, FA D2, FA 4, DKFZp762A223

Anti-FANCD2 Antibody (8B144) 是一种 Rabbit 抗体,靶向 FANCD2。Anti-FANCD2 Antibody (8B144) 可用于 ICC/IF,IHC,IP,WB。

Anti-FANCD2 Antibody (8B144)
规格价格库存数量
50 μL
¥ 1,490
5日内发货
100 μL
¥ 2,490
5日内发货
库存状态实时更新,以官网显示为准,现货产品可直接加购物车下单
大包装 & 定制
加入购物车

TargetMol的所有产品仅用作科学研究或药证申报,不能被用于人体,我们不向个人提供产品和服务。请您遵守承诺用途,不得违反法律法规规定用于任何其他用途。

实验操作小课堂
常见问题解答
查看更多

资源下载:产品操作手册

产品介绍


生物活性
产品描述
Anti-FANCD2 Antibody (8B144) is a Rabbit antibody targeting FANCD2. Anti-FANCD2 Antibody (8B144) can be used in ICC/IF,IHC,IP,WB.
别名
Type 4 Fanconi pancytopenia, Protein FACD2, OTTHUMP00000207925, OTTHUMP00000158853, FLJ23826, FANCONI PANCYTOPENIA TYPE 4, Fanconi anemia group D2 protein, Fanconi anemia complementation group D2, FANCONI ANEMIA COMPLEMENTATION GROUP D, FANCD2, FANCD 2, FANCD, FANC D2, FAD2, FAD, FACD2_HUMAN, FACD2, FACD 2, FACD, FAC D2, FA4, FA D2, FA 4, DKFZp762A223
Ig Type
IgG
克隆号
8B144
反应种属
Human,Mouse,Rat
验证活性
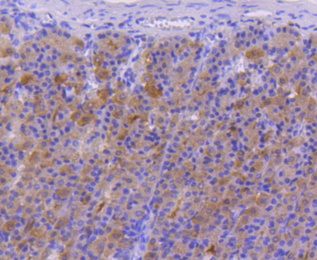
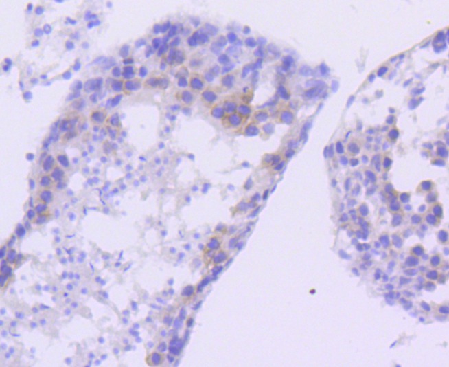
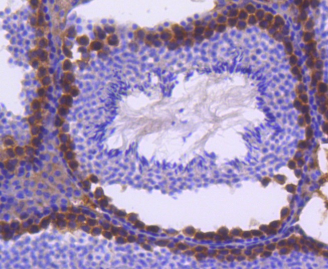
1. Immunohistochemical analysis of paraffin-embedded mouse testis tissue using anti-FANCD2 antibody. Counter stained with hematoxylin.
2. Immunohistochemical analysis of paraffin-embedded rat stomach tissue using anti-FANCD2 antibody. Counter stained with hematoxylin.
3. Immunohistochemical analysis of paraffin-embedded rat testis tissue using anti-FANCD2 antibody. Counter stained with hematoxylin.
4. Immunohistochemical analysis of paraffin-embedded mouse stomach tissue using anti-FANCD2 antibody. Counter stained with hematoxylin.
5. ICC staining FANCD2 in SW480 cells (green). The nuclear counter stain is DAPI (blue). Cells were fixed in paraformaldehyde, permeabilised with 0.25% Triton X100/PBS.
6. ICC staining FANCD2 in Hela cells (green). The nuclear counter stain is DAPI (blue). Cells were fixed in paraformaldehyde, permeabilised with 0.25% Triton X100/PBS.
7. ICC staining FANCD2 in MCF-7 cells (green). The nuclear counter stain is DAPI (blue). Cells were fixed in paraformaldehyde, permeabilised with 0.25% Triton X100/PBS.
verifiedActivityverifiedActivityverifiedActivityverifiedActivityverifiedActivityverifiedActivityverifiedActivity
应用ICC/IFIHCIPWB
推荐剂量
WB: 1:500-1000; IHC: 1:50-200; ICC/IF: 1:100-500
抗体种类
Monoclonal
宿主来源Rabbit
构建方式Recombinant Antibody
纯化方式ProA affinity purified
性状Liquid
缓冲液1*TBS (pH7.4), 1%BSA, 40%Glycerol. Preservative: 0.05% Sodium Azide.
研究背景Fanconi anemia (FA) is an autosomal recessive disorder character-ized by bone marrow failure, birth defects and chromosomal instability. At the cellular level, FA is characterized by spontaneous chromosomal breakage and a unique hypersensitivity to DNA cross-linking agents. At least 8 complementation groups (A-G) have been identified and 6 FA genes (for subtypes A, C, D2, E, F and G) have been cloned. The FA proteins lack sequence homologies or motifs that could point to a molecular function. Phosphorylation of FANC (Fanconi anemia complementation group) proteins are thought to be important for the function of the FA pathway. Several FA proteins, including FANCA, FANCC, FANCF, and FANCG, interact in a nuclear complex, and this complex is required for the activation (monoubiquitination) of the downstream FANCD2 protein. When monoubiquitinated, the FANCD2 protein co-localizes with the breast cancer susceptibility protein BRCA1 in DNA damage induced foci. In male meiosis, FANCD2 also co-localizes with BRCA1 at synaptonemal complexes. The human FANCD2 gene maps to chromosome 3p25.3, contains 44 exons and encodes a 1,451-amino acid nuclear protein that exists as 2 protein isoforms.
偶联与修饰
偶联
Unconjugated
抗原信息
免疫原
Recombinant Protein
Uniprot ID
化学信息
分子量Theoretical: 166 kDa.
储存&溶解度
储存方式Store at -20°C or -80°C for 12 months. Avoid repeated freeze-thaw cycles.
运输方式Shipping with blue ice.

计算器

  • 稀释 计算器
  • 配液 计算器
Related Tags: buy Anti-FANCD2 Antibody (8B144) | purchase Anti-FANCD2 Antibody (8B144) | Anti-FANCD2 Antibody (8B144) cost | order Anti-FANCD2 Antibody (8B144) | Anti-FANCD2 Antibody (8B144) molecular weight