购物车
  • TargetMol
    您的购物车当前为空

Anti-FAAH Antibody (9Q327)

Synonyms: Oleamide hydrolase 1, Fatty-acid amide hydrolase 1, Fatty acid ester hydrolase, FAAH1, FAAH 1, Anandamide amidohydrolase 1
货号 TMAC-01419 一键复制产品信息
Rating icon 还可以

Anti-FAAH Antibody (9Q327) 是一种 Rabbit 抗体,靶向 FAAH。Anti-FAAH Antibody (9Q327) 可用于 IHC,WB。

Anti-FAAH Antibody (9Q327)

一键复制产品信息
Rating icon 还可以
货号 TMAC-01419

别名 Oleamide hydrolase 1, Fatty-acid amide hydrolase 1, Fatty acid ester hydrolase, FAAH1, FAAH 1, Anandamide amidohydrolase 1

Anti-FAAH Antibody (9Q327) 是一种 Rabbit 抗体,靶向 FAAH。Anti-FAAH Antibody (9Q327) 可用于 IHC,WB。

Anti-FAAH Antibody (9Q327)
规格价格库存数量
50 μL
¥ 1,480
5日内发货
100 μL
¥ 2,485
5日内发货
库存状态实时更新,以官网显示为准,现货产品可直接加购物车下单
大包装 & 定制
加入购物车

TargetMol的所有产品仅用作科学研究或药证申报,不能被用于人体,我们不向个人提供产品和服务。请您遵守承诺用途,不得违反法律法规规定用于任何其他用途。

实验操作小课堂
常见问题解答
查看更多

资源下载:产品操作手册

产品介绍


生物活性
产品描述
Anti-FAAH Antibody (9Q327) is a Rabbit antibody targeting FAAH. Anti-FAAH Antibody (9Q327) can be used in IHC,WB.
别名
Oleamide hydrolase 1, Fatty-acid amide hydrolase 1, Fatty acid ester hydrolase, FAAH1, FAAH 1, Anandamide amidohydrolase 1
Ig Type
IgG
克隆号
9Q327
反应种属
Human,Mouse
验证活性
1. Western blot analysis of FAAH1 on different lysates using anti-FAAH1 antibody at 1/2,000 dilution. Positive control: Lane 1: SK-Br-3, Lane 2: Mouse cerebellum, Lane 3: Mouse lung.
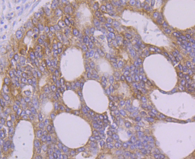
2. Immunohistochemical analysis of paraffin-embedded human prostate cancer tissue using anti-FAAH1 antibody. Counter stained with hematoxylin.
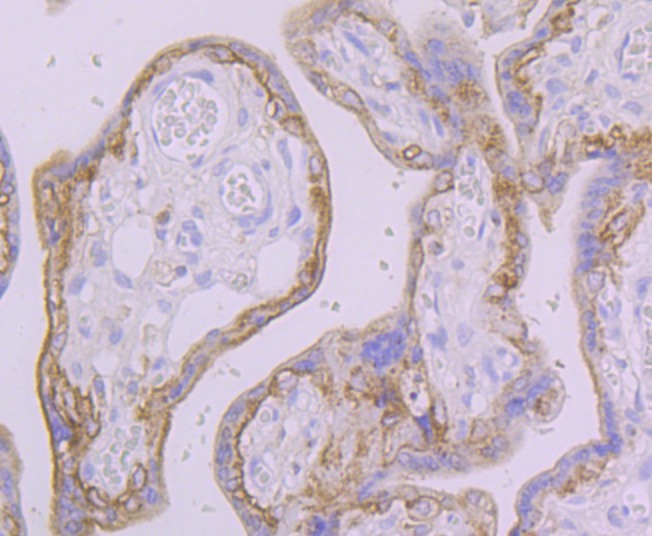
3. Immunohistochemical analysis of paraffin-embedded human placenta tissue using anti-FAAH1 antibody. Counter stained with hematoxylin.
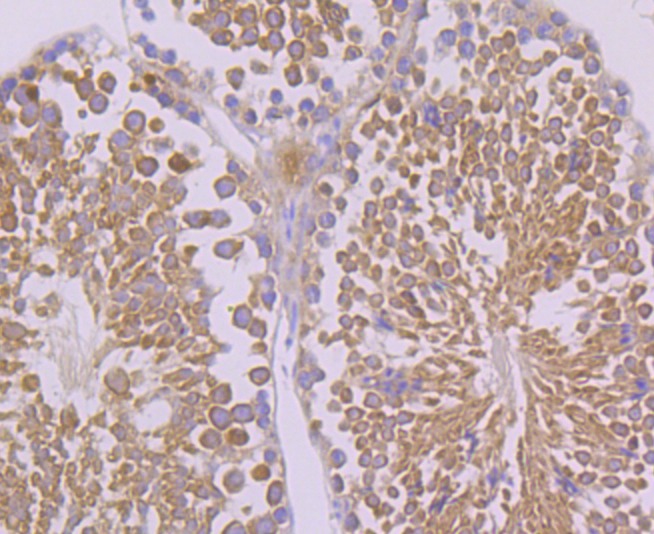
4. Immunohistochemical analysis of paraffin-embedded mouse testis tissue using anti-FAAH1 antibody. Counter stained with hematoxylin.
verifiedActivityverifiedActivityverifiedActivityverifiedActivity
应用IHCWB
推荐剂量
WB: 1:500-2000; IHC: 1:50-200
抗体种类
Monoclonal
宿主来源Rabbit
构建方式Recombinant Antibody
纯化方式ProA affinity purified
性状Liquid
缓冲液1*TBS (pH7.4), 1%BSA, 40%Glycerol. Preservative: 0.05% Sodium Azide.
研究背景Degrades bioactive fatty acid amides like oleamide, the endogenous cannabinoid, anandamide and myristic amide to their corresponding acids, thereby serving to terminate the signaling functions of these molecules. Hydrolyzes polyunsaturated substrate anandamide preferentially as compared to monounsaturated substrates.
偶联与修饰
偶联
Unconjugated
抗原信息
免疫原
Recombinant Protein: human FAAH1 aa 100-300
抗原种属
human
Uniprot ID
化学信息
分子量Theoretical: 63 kDa.
储存&溶解度
储存方式Store at -20°C or -80°C for 12 months. Avoid repeated freeze-thaw cycles.
运输方式Shipping with blue ice.

计算器

  • 稀释 计算器
  • 配液 计算器
Related Tags: buy Anti-FAAH Antibody (9Q327) | purchase Anti-FAAH Antibody (9Q327) | Anti-FAAH Antibody (9Q327) cost | order Anti-FAAH Antibody (9Q327) | Anti-FAAH Antibody (9Q327) molecular weight