购物车
  • 全部删除
  • TargetMol
    您的购物车当前为空

Anti-Ezrin Antibody (7A973)

一键复制产品信息
Rating icon 还可以
产品编号 TMAC-01415
别名 Villin-2, VIL2, p81, Ezrin, EZR, Cytovillin

Anti-Ezrin Antibody (7A973) 是一种 Rabbit 抗体,靶向 Ezrin。Anti-Ezrin Antibody (7A973) 可用于 IHC,WB。

Anti-Ezrin Antibody (7A973)

Anti-Ezrin Antibody (7A973)

一键复制产品信息
Rating icon 还可以
产品编号 TMAC-01415 别名 Villin-2, VIL2, p81, Ezrin, EZR, Cytovillin

Anti-Ezrin Antibody (7A973) 是一种 Rabbit 抗体,靶向 Ezrin。Anti-Ezrin Antibody (7A973) 可用于 IHC,WB。

规格价格库存数量
50 μL
¥ 1,495
5日内发货
100 μL
¥ 2,490
5日内发货
大包装 & 定制
加入购物车
TargetMol 的所有产品仅用作科学研究或药证申报,不能被用于人体,我们不向个人提供产品和服务。请您遵守承诺用途,不得违反法律法规规定用于任何其他用途。
实验操作小课堂
常见问题解答
查看更多
联系我们获取更多批次信息
资源下载

产品介绍

生物活性
产品描述
Anti-Ezrin Antibody (7A973) is a Rabbit antibody targeting Ezrin. Anti-Ezrin Antibody (7A973) can be used in IHC,WB.
别名Villin-2, VIL2, p81, Ezrin, EZR, Cytovillin
Ig Type
IgG
克隆号
7A973
交叉反应
Human
验证活性
1. Western blot analysis of Ezrin on different cell lysates using anti-Ezrin antibody at 1/1,000 dilution. Positive control: Lane 1:Hela, Lane 2: Jurkat, Lane 3:A431.
2. Immunohistochemical analysis of paraffin-embedded human lung tissue using anti-Ezrin antibody. Counter stained with hematoxylin.
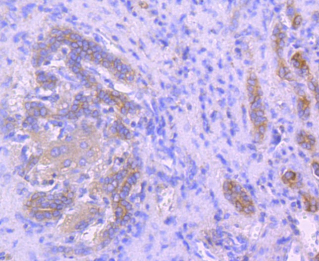
3. Immunohistochemical analysis of paraffin-embedded human lung cancer tissue using anti-Ezrin antibody. Counter stained with hematoxylin.
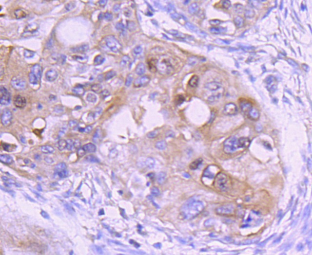
4. Immunohistochemical analysis of paraffin-embedded human liver cancer tissue using anti-Ezrin antibody. Counter stained with hematoxylin.
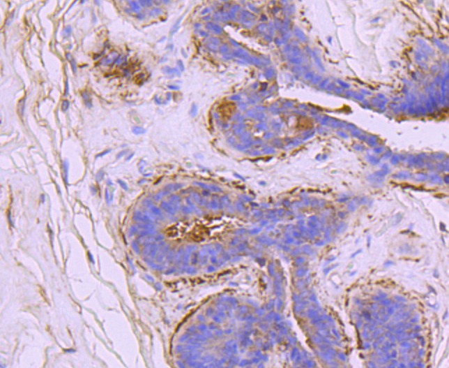
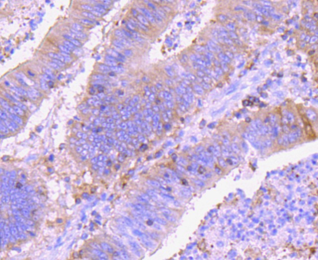
5. Immunohistochemical analysis of paraffin-embedded human colon cancer tissue using anti-Ezrin antibody. Counter stained with hematoxylin.
6. Immunohistochemical analysis of paraffin-embedded human breast carcinoma tissue using anti-Ezrin antibody. Counter stained with hematoxylin.
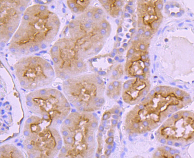
7. Immunohistochemical analysis of paraffin-embedded human kidney tissue using anti-Ezrin antibody. Counter stained with hematoxylin.
verifiedActivityverifiedActivityverifiedActivityverifiedActivityverifiedActivityverifiedActivityverifiedActivity
应用IHCWB
推荐剂量
WB: 1:500-1000; IHC: 1:50-200
抗体种类
Monoclonal
宿主来源Rabbit
构建方式Recombinant Antibody
纯化方式ProA affinity purified
性状Liquid
缓冲液1*TBS (pH7.4), 1%BSA, 40%Glycerol. Preservative: 0.05% Sodium Azide.
偶联与修饰
偶联
Unconjugated
抗原信息
免疫原
Recombinant Protein
Uniprot ID
化学信息
分子量Theoretical: 80 kDa.
存储&运输
储存方式Store at -20°C or -80°C for 12 months. Avoid repeated freeze-thaw cycles.
运输方式Shipping with blue ice.

计算器

  • 稀释 计算器

关键词

评论列表

4个月前
5.0
Rating icon 很棒

评论内容

Related Tags: buy Anti-Ezrin Antibody (7A973) | purchase Anti-Ezrin Antibody (7A973) | Anti-Ezrin Antibody (7A973) cost | order Anti-Ezrin Antibody (7A973) | Anti-Ezrin Antibody (7A973) molecular weight