购物车
  • TargetMol
    您的购物车当前为空

Anti-EphA2 Polyclonal Antibody

Synonyms: Sek-2, Sek2, Myk2, EPH receptor A2, Eck, AW545284
货号 TMAB-00624 一键复制产品信息
Rating icon 还可以

Anti-EphA2 Polyclonal Antibody 是一种 Rabbit 抗体,靶向 EphA2。Anti-EphA2 Polyclonal Antibody 可用于 IF, IHC-Fr, IHC-P, WB。

Anti-EphA2 Polyclonal Antibody

一键复制产品信息
Rating icon 还可以
货号 TMAB-00624

别名 Sek-2, Sek2, Myk2, EPH receptor A2, Eck, AW545284

Anti-EphA2 Polyclonal Antibody 是一种 Rabbit 抗体,靶向 EphA2。Anti-EphA2 Polyclonal Antibody 可用于 IF, IHC-Fr, IHC-P, WB。

Anti-EphA2 Polyclonal Antibody
规格价格库存数量
50 μL
¥ 1,175
5日内发货
100 μL
¥ 1,960
5日内发货
200 μL
¥ 2,785
5日内发货
库存状态实时更新,以官网显示为准,现货产品可直接加购物车下单
大包装 & 定制
加入购物车

TargetMol的所有产品仅用作科学研究或药证申报,不能被用于人体,我们不向个人提供产品和服务。请您遵守承诺用途,不得违反法律法规规定用于任何其他用途。

实验操作小课堂
常见问题解答
查看更多

资源下载:产品操作手册

产品介绍


生物活性
产品描述
Anti-EphA2 Polyclonal Antibody is a Rabbit antibody targeting EphA2. Anti-EphA2 Polyclonal Antibody can be used in IF, IHC-Fr, IHC-P, WB.
别名
Sek-2, Sek2, Myk2, EPH receptor A2, Eck, AW545284
Ig Type
IgG
反应种属
Mouse (predicted:Human,Rat,Dog,Cow,Monkey)
验证活性
1. Sample:
NIH/3T3 (Mouse) Cell Lysate at 30 μg
Primary: Anti-EphA2 (TMAB-00624) at 1/1000 dilution
Secondary: IRDye800CW Goat Anti-Rabbit IgG at 1/20000 dilution
Predicted band size: 105 kDa
Observed band size: 115 kDa
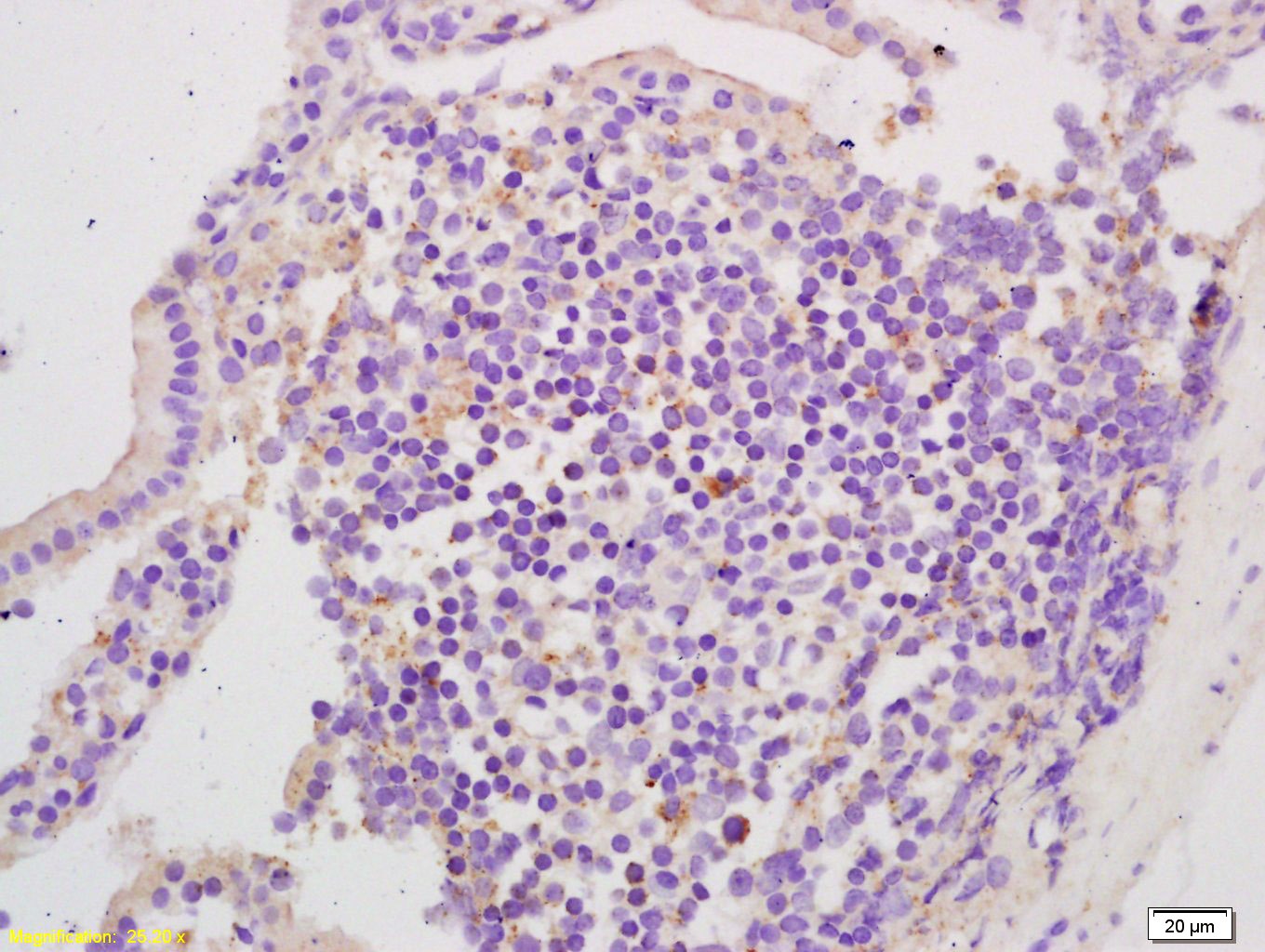
2. Tissue/cell: mouse intestine tissue; 4% Paraformaldehyde-fixed and paraffin-embedded;
Antigen retrieval: citrate buffer (0.01M, pH6.0), Boiling bathing for 15 min; Block endogenous peroxidase by 3% Hydrogen peroxide for 30 min; Blocking buffer (normal goat serum) at 37°C for 20 min;
Incubation: Anti-EphA2/EpHreceptor A2 Polyclonal Antibody, Unconjugated (TMAB-00624) 1:200, overnight at 4°C, followed by conjugation to the secondary antibody and DAb staining.
3. Sample:
Human colon carcinoma lysates Lysate at 30 μg
Intestine (Mouse) Lysate at 30 μg
Primary: Anti-EphA2/EpHreceptor A2 (TMAB-00624) at 1/200 dilution
Secondary: HRP conjugated Goat-Anti-rabbit IgG (secondary antibody) at 1/3000 dilution
Predicted band size: 105 kDa
Observed band size: 105 kDa, 52/55 kDa
verifiedActivityverifiedActivityverifiedActivity
应用IFIHC-FrIHC-PWB
推荐剂量
WB: 1:500-2000; IHC-P: 1:100-500; IHC-Fr: 1:100-500; IF: 1:100-500
抗体种类
Polyclonal
宿主来源Rabbit
亚细胞定位Cell membrane; Single-pass type I membrane protein. Cell projection, ruffle membrane; Single-pass type I membrane protein. Cell projection, lamellipodium membrane; Single-pass type I membrane protein. Cell junction, focal adhesion. Note=Present at regions of cell-cell contacts but also at the leading edge of migrating cells.
组织特异性Expressed in brain and glioma tissue and glioma cell lines (at protein level). Expressed most highly in tissues that contain a high proportion of epithelial cells, e.g., skin, intestine, lung, and ovary.
构建方式Polyclonal Antibody
纯化方式Protein A purified
性状Liquid
缓冲液0.01M TBS (pH7.4) with 1% BSA, 0.02% Proclin300 and 50% Glycerol.
浓度1 mg/mL
研究背景This gene belongs to the ephrin receptor subfamily of the protein-tyrosine kinase family. EPH and EPH-related receptors have been implicated in mediating developmental events, particularly in the nervous system. Receptors in the EPH subfamily typically have a single kinase domain and an extracellular region containing a Cys-rich domain and 2 fibronectin type III repeats. The ephrin receptors are divided into 2 groups based on the similarity of their extracellular domain sequences and their affinities for binding ephrin-A and ephrin-B ligands. This gene encodes a protein that binds ephrin-A ligands. Mutations in this gene are the cause of certain genetically-related cataract disorders.[provided by RefSeq, May 2010].
抗原信息
免疫原
KLH conjugated synthetic peptide: human EphA2
抗原种属
Human
基因名称
EPHA2
基因ID
蛋白名称
Ephrin type-A receptor 2
Uniprot ID
研究领域
Eph Receptors,Growth Cone,Axonal Guidance Proteins,Kinases,Tyrosine Kinase Receptors
功能
Receptor tyrosine kinase which binds promiscuously membrane-bound ephrin-A family ligands residing on adjacent cells, leading to contact-dependent bidirectional signaling into neighboring cells. The signaling pathway downstream of the receptor is referred to as forward signaling while the signaling pathway downstream of the ephrin ligand is referred to as reverse signaling. Activated by the ligand ephrin-A1/EFNA1 regulates migration, integrin-mediated adhesion, proliferation and differentiation of cells. Regulates cell adhesion and differentiation through DSG1/desmoglein-1 and inhibition of the ERK1/ERK2 (MAPK3/MAPK1, respectively) signaling pathway. May also participate in UV radiation-induced apoptosis and have a ligand-independent stimulatory effect on chemotactic cell migration. During development, may function in distinctive aspects of pattern formation and subsequently in development of several fetal tissues. Involved for instance in angiogenesis, in early hindbrain development and epithelial proliferation and branching morphogenesis during mammary gland development. Engaged by the ligand ephrin-A5/EFNA5 may regulate lens fiber cells shape and interactions and be important for lens transparency development and maintenance. With ephrin-A2/EFNA2 may play a role in bone remodeling through regulation of osteoclastogenesis and osteoblastogenesis.
化学信息
分子量Theoretical: 105 kDa. Actual: 115 kDa.
储存&溶解度
储存方式Store at -20°C or -80°C for 12 months. Avoid repeated freeze-thaw cycles.
运输方式Shipping with blue ice.

计算器

  • 稀释 计算器
  • 配液 计算器
Related Tags: buy Anti-EphA2 Polyclonal Antibody | purchase Anti-EphA2 Polyclonal Antibody | Anti-EphA2 Polyclonal Antibody cost | order Anti-EphA2 Polyclonal Antibody | Anti-EphA2 Polyclonal Antibody molecular weight