购物车
  • TargetMol
    您的购物车当前为空

Anti-Eotaxin/CCL11 Polyclonal Antibody

Synonyms: Small-Inducible Cytokine A11, SCYA11, Eotaxin, Eosinophil Chemotactic Protein, CCL11, C-C Motif Chemokine 11
货号 TMAB-00619 一键复制产品信息
Rating icon 还可以

Anti-Eotaxin/CCL11 Polyclonal Antibody 是一种 Rabbit 抗体,靶向 Eotaxin/CCL11。Anti-Eotaxin/CCL11 Polyclonal Antibody 可用于 IF,IHC-Fr,IHC-P。

Anti-Eotaxin/CCL11 Polyclonal Antibody

一键复制产品信息
Rating icon 还可以
货号 TMAB-00619

别名 Small-Inducible Cytokine A11, SCYA11, Eotaxin, Eosinophil Chemotactic Protein, CCL11, C-C Motif Chemokine 11

Anti-Eotaxin/CCL11 Polyclonal Antibody 是一种 Rabbit 抗体,靶向 Eotaxin/CCL11。Anti-Eotaxin/CCL11 Polyclonal Antibody 可用于 IF,IHC-Fr,IHC-P。

Anti-Eotaxin/CCL11 Polyclonal Antibody
规格价格库存数量
50 μL
¥ 1,160
5日内发货
100 μL
¥ 1,965
5日内发货
200 μL
¥ 2,780
5日内发货
库存状态实时更新,以官网显示为准,现货产品可直接加购物车下单
大包装 & 定制
加入购物车

TargetMol的所有产品仅用作科学研究或药证申报,不能被用于人体,我们不向个人提供产品和服务。请您遵守承诺用途,不得违反法律法规规定用于任何其他用途。

实验操作小课堂
常见问题解答
查看更多

资源下载:产品操作手册

产品介绍


生物活性
产品描述
Anti-Eotaxin/CCL11 Polyclonal Antibody is a Rabbit antibody targeting Eotaxin/CCL11. Anti-Eotaxin/CCL11 Polyclonal Antibody can be used in IF,IHC-Fr,IHC-P.
别名
Small-Inducible Cytokine A11, SCYA11, Eotaxin, Eosinophil Chemotactic Protein, CCL11, C-C Motif Chemokine 11
Ig Type
IgG
反应种属
Mouse (predicted:Human,Rat)
验证活性
1. Images kindly provided by Dr. Denny Cottle from the publication, Fetal inhibition of inflammation improves disease phenotypes in Harlequin Ichthyosis.Formalin-fixed and paraffin embedded mouse skin probed with Rabbit Anti-CCL11/Eotaxin 1 Polyclonal Antibody (TMAB-00619) at 1:100 for two hours at room temperature (green channel).
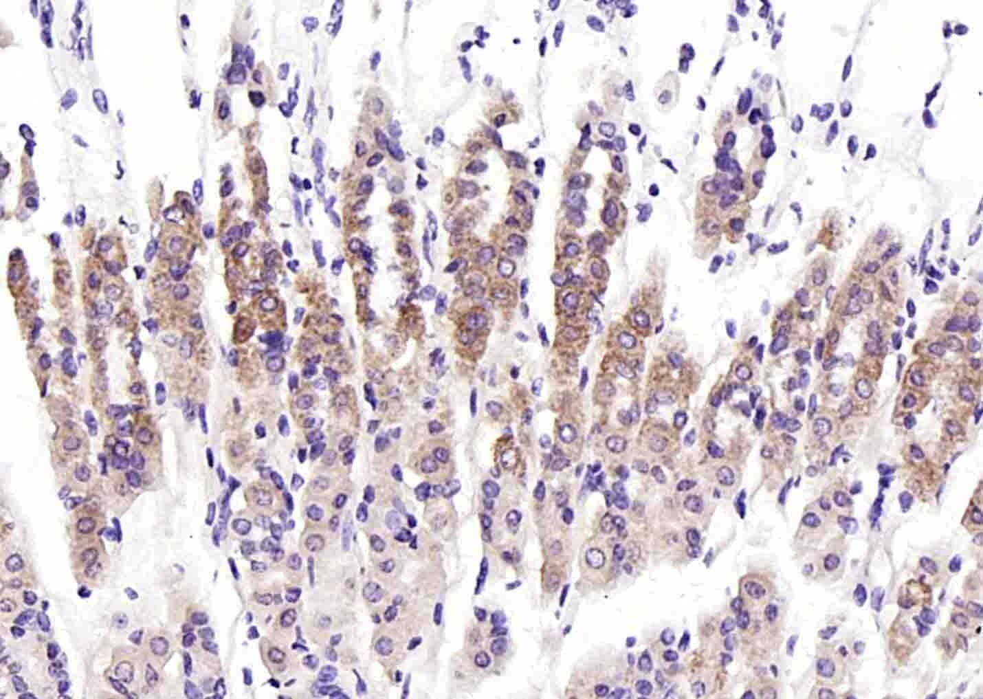
2. Paraformaldehyde-fixed, paraffin embedded (mouse stomach); Antigen retrieval by boiling in sodium citrate buffer (pH6.0) for 15 min; Block endogenous peroxidase by 3% hydrogen peroxide for 20 min; Blocking buffer (normal goat serum) at 37°C for 30 min; Incubation with (CCL11) Polyclonal Antibody, Unconjugated (TMAB-00619) at 1:200 overnight at 4°C, followed by operating according to SP Kit (Rabbit) instructionsand DAB staining.
verifiedActivityverifiedActivity
应用IFIHC-FrIHC-P
推荐剂量
IHC-P: 1:100-500; IHC-Fr: 1:100-500; IF: 1:100-500
抗体种类
Polyclonal
宿主来源Rabbit
亚细胞定位Secreted.
构建方式Polyclonal Antibody
纯化方式Protein A purified
性状Liquid
缓冲液0.01M TBS (pH7.4) with 1% BSA, 0.02% Proclin300 and 50% Glycerol.
浓度1 mg/mL
研究背景This gene is one of several Cys-Cys (CC) cytokine genes clustered on the q-arm of chromosome 17. Cytokines are a family of secreted proteins involved in immunoregulatory and inflammatory processes. The CC cytokines are proteins characterized by two adjacent cysteines. The cytokine encoded by this gene displays chemotactic activity for eosinophils, but not mononuclear cells or neutrophils. This eosinophil specific chemokine assumed to be involved in eosinophilic inflammatory diseases such as atopic dermatitis, allergic rhinitis, asthma and parasitic infections. [provided by RefSeq, Jul 2008].
抗原信息
免疫原
KLH conjugated synthetic peptide: human Eotaxin 1
抗原种属
Human
基因名称
CCL11
基因ID
蛋白名称
Eotaxin
Uniprot ID
功能
In response to the presence of allergens, this protein directly promotes the accumulation of eosinophils, a prominent feature of allergic inflammatory reactions. Binds to CCR3.
化学信息
分子量Theoretical: 8 kDa.
储存&溶解度
储存方式Store at -20°C or -80°C for 12 months. Avoid repeated freeze-thaw cycles.
运输方式Shipping with blue ice.

计算器

  • 稀释 计算器
  • 配液 计算器
Related Tags: buy Anti-Eotaxin/CCL11 Polyclonal Antibody | purchase Anti-Eotaxin/CCL11 Polyclonal Antibody | Anti-Eotaxin/CCL11 Polyclonal Antibody cost | order Anti-Eotaxin/CCL11 Polyclonal Antibody | Anti-Eotaxin/CCL11 Polyclonal Antibody molecular weight