• TargetMol
    您的购物车当前为空

Anti-Endoglin/CD105 Polyclonal Antibody

一键复制产品信息
Rating icon 还可以
货号 TMAB-00608

别名 ORW1, ORW, HHT1, ENG, Endoglin, END, CD105

Anti-Endoglin/CD105 Polyclonal Antibody 是一种 Rabbit 抗体,靶向 Endoglin/CD105。Anti-Endoglin/CD105 Polyclonal Antibody 可用于 IF,IHC-Fr,IHC-P。

Anti-Endoglin/CD105 Polyclonal Antibody

Anti-Endoglin/CD105 Polyclonal Antibody

一键复制产品信息
Rating icon 还可以
货号 TMAB-00608 别名 ORW1, ORW, HHT1, ENG, Endoglin, END, CD105

Anti-Endoglin/CD105 Polyclonal Antibody 是一种 Rabbit 抗体,靶向 Endoglin/CD105。Anti-Endoglin/CD105 Polyclonal Antibody 可用于 IF,IHC-Fr,IHC-P。

规格价格库存数量
50 μL
¥ 1,165
5日内发货
100 μL
¥ 1,965
5日内发货
200 μL
¥ 2,785
5日内发货
库存状态实时更新,以官网显示为准,现货产品可直接加购物车下单
大包装 & 定制
加入购物车
TargetMol的所有产品仅用作科学研究或药证申报,不能被用于人体,我们不向个人提供产品和服务。请您遵守承诺用途,不得违反法律法规规定用于任何其他用途。
实验操作小课堂
常见问题解答
查看更多
资源下载:

产品介绍


生物活性
产品描述
Anti-Endoglin/CD105 Polyclonal Antibody is a Rabbit antibody targeting Endoglin/CD105. Anti-Endoglin/CD105 Polyclonal Antibody can be used in IF,IHC-Fr,IHC-P.
别名ORW1, ORW, HHT1, ENG, Endoglin, END, CD105
Ig Type
IgG
反应种属
Mouse
验证活性
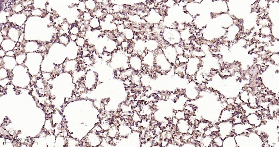
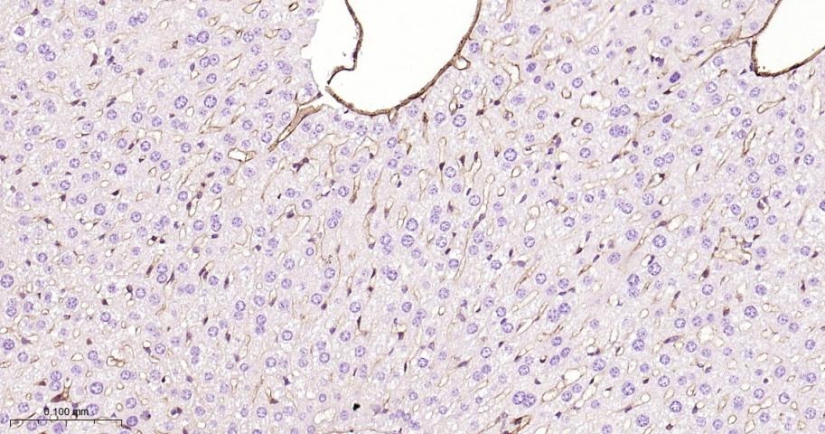
1. Paraformaldehyde-fixed, paraffin embedded Mouse Liver; Antigen retrieval by boiling in sodium citrate buffer (pH6.0) for 15 min; Antibody incubation with CD105 Polyclonal Antibody, Unconjugated (TMAB-00608) at 1:300 overnight at 4°C, followed by conjugation to the secondary antibody and DAB staining.
2. Paraformaldehyde-fixed, paraffin embedded Mouse Spleen; Antigen retrieval by boiling in sodium citrate buffer (pH6.0) for 15 min; Antibody incubation with CD105 Polyclonal Antibody, Unconjugated (TMAB-00608) at 1:300 overnight at 4°C, followed by conjugation to the secondary antibody and DAB staining.
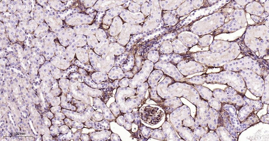
3. Paraformaldehyde-fixed, paraffin embedded Mouse Kidney; Antigen retrieval by boiling in sodium citrate buffer (pH6.0) for 15 min; Antibody incubation with CD105 Polyclonal Antibody, Unconjugated (TMAB-00608) at 1:300 overnight at 4°C, followed by conjugation to the secondary antibody and DAB staining.
4. Paraformaldehyde-fixed, paraffin embedded Mouse Lung; Antigen retrieval by boiling in sodium citrate buffer (pH6.0) for 15 min; Antibody incubation with CD105 Polyclonal Antibody, Unconjugated (TMAB-00608) at 1:300 overnight at 4°C, followed by conjugation to the secondary antibody and DAB staining.
verifiedActivityverifiedActivityverifiedActivityverifiedActivity
应用IFIHC-FrIHC-P
推荐剂量
IHC-P: 1:100-500; IHC-Fr: 1:100-500; IF: 1:100-500
抗体种类
Polyclonal
宿主来源Rabbit
亚细胞定位Membrane; Single-pass type I membrane protein.
组织特异性Endoglin is restricted to endothelial cells in all tissues except bone marrow.
构建方式Polyclonal Antibody
纯化方式Protein A purified
性状Liquid
缓冲液0.01M TBS (pH7.4) with 1% BSA, 0.02% Proclin300 and 50% Glycerol.
浓度1 mg/mL
研究背景This gene encodes a homodimeric transmembrane protein which is a major glycoprotein of the vascular endothelium. This protein is a component of the transforming growth factor beta receptor complex and it binds to the beta1 and beta3 peptides with high affinity. Mutations in this gene cause hereditary hemorrhagic telangiectasia, also known as Osler-Rendu-Weber syndrome 1, an autosomal dominant multisystemic vascular dysplasia. This gene may also be involved in preeclampsia and several types of cancer. Alternatively spliced transcript variants encoding different isoforms have been found for this gene. [provided by RefSeq, May 2013]
抗原信息
免疫原
KLH conjugated synthetic peptide: human CD105
抗原种属
Human
基因名称
ENG
基因ID
蛋白名称
Endoglin
Uniprot ID
研究领域
Tumor biomarkers,Endothelial Cell Markers,Endothelial Cells,Endothelium,Endothelial Cells,Endothelial Markers,Surface Molecules
功能
Major glycoprotein of vascular endothelium. May play a critical role in the binding of endothelial cells to integrins and/or other RGD receptors.
化学信息
分子量Theoretical: 70 kDa. Actual: 90 kDa.
储存&溶解度
储存方式Store at -20°C or -80°C for 12 months. Avoid repeated freeze-thaw cycles.
运输方式Shipping with blue ice.
存储store at low temperature | store at -20°C

计算器

  • 稀释 计算器
Related Tags: buy Anti-Endoglin/CD105 Polyclonal Antibody | purchase Anti-Endoglin/CD105 Polyclonal Antibody | Anti-Endoglin/CD105 Polyclonal Antibody cost | order Anti-Endoglin/CD105 Polyclonal Antibody | Anti-Endoglin/CD105 Polyclonal Antibody molecular weight