购物车
  • TargetMol
    您的购物车当前为空

Anti-EMP-1 Polyclonal Antibody

Synonyms: Tumor-associated membrane protein, TMP, Protein B4B, Epithelial membrane protein 1, EMP1, EMP 1, CL-20
货号 TMAB-00607 一键复制产品信息
Rating icon 还可以

Anti-EMP-1 Polyclonal Antibody 是一种 Rabbit 抗体,靶向 EMP-1。Anti-EMP-1 Polyclonal Antibody 可用于 IF,IHC-Fr,IHC-P,WB。

Anti-EMP-1 Polyclonal Antibody

一键复制产品信息
Rating icon 还可以
货号 TMAB-00607

别名 Tumor-associated membrane protein, TMP, Protein B4B, Epithelial membrane protein 1, EMP1, EMP 1, CL-20

Anti-EMP-1 Polyclonal Antibody 是一种 Rabbit 抗体,靶向 EMP-1。Anti-EMP-1 Polyclonal Antibody 可用于 IF,IHC-Fr,IHC-P,WB。

Anti-EMP-1 Polyclonal Antibody
规格价格库存数量
50 μL
¥ 1,170
5日内发货
100 μL
¥ 1,975
5日内发货
库存状态实时更新,以官网显示为准,现货产品可直接加购物车下单
大包装 & 定制
加入购物车

TargetMol的所有产品仅用作科学研究或药证申报,不能被用于人体,我们不向个人提供产品和服务。请您遵守承诺用途,不得违反法律法规规定用于任何其他用途。

实验操作小课堂
常见问题解答
查看更多

资源下载:产品操作手册

产品介绍


生物活性
产品描述
Anti-EMP-1 Polyclonal Antibody is a Rabbit antibody targeting EMP-1. Anti-EMP-1 Polyclonal Antibody can be used in IF,IHC-Fr,IHC-P,WB.
别名
Tumor-associated membrane protein, TMP, Protein B4B, Epithelial membrane protein 1, EMP1, EMP 1, CL-20
Ig Type
IgG
反应种属
Human,Mouse,Rat
验证活性
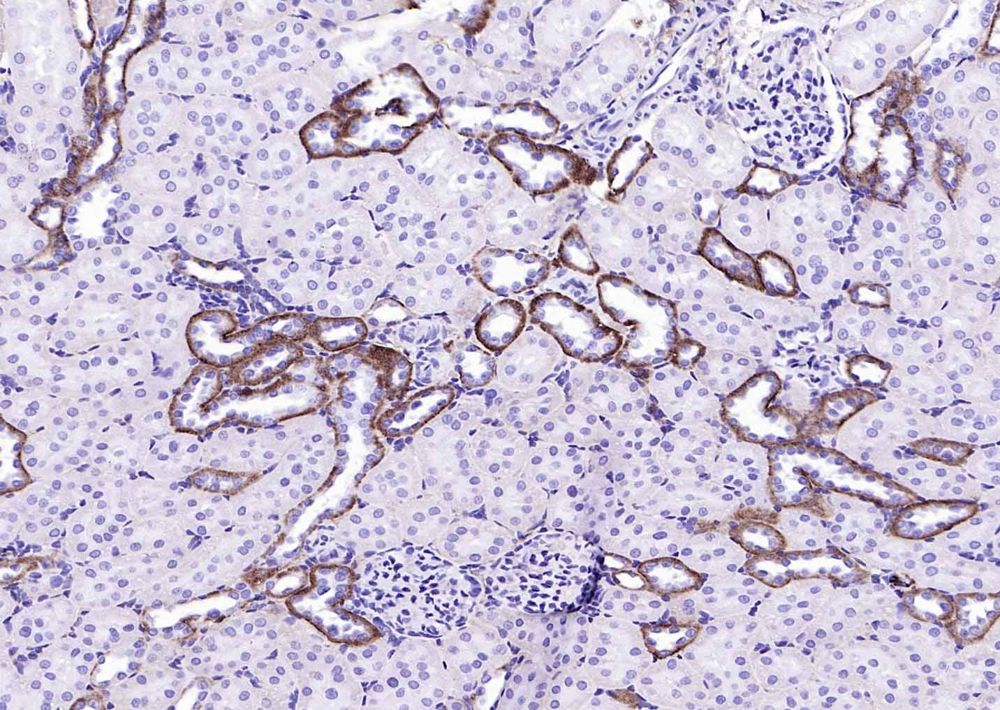
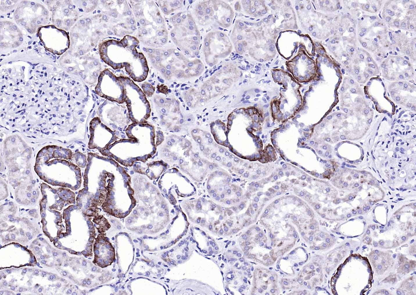
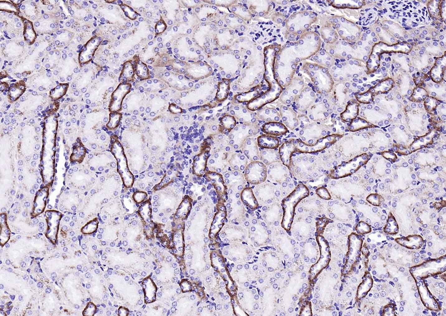
1. Paraformaldehyde-fixed, paraffin embedded (Human kidney); Antigen retrieval by boiling in sodium citrate buffer (pH6.0) for 15 min; Block endogenous peroxidase by 3% hydrogen peroxide for 20 min; Blocking buffer (normal goat serum) at 37°C for 30 min; Antibody incubation with (EMP-1) Polyclonal Antibody, Unconjugated (TMAB-00607) at 1:200 overnight at 4°C, followed by operating according to SP Kit (Rabbit) instructionsand DAB staining.
2. Paraformaldehyde-fixed, paraffin embedded (rat small intestine); Antigen retrieval by boiling in sodium citrate buffer (pH6.0) for 15 min; Block endogenous peroxidase by 3% hydrogen peroxide for 20 min; Blocking buffer (normal goat serum) at 37°C for 30 min; Antibody incubation with (EMP-1) Polyclonal Antibody, Unconjugated (TMAB-00607) at 1:200 overnight at 4°C, followed by operating according to SP Kit (Rabbit) instructionsand DAB staining.
3. Paraformaldehyde-fixed, paraffin embedded (rat kidney); Antigen retrieval by boiling in sodium citrate buffer (pH6.0) for 15 min; Block endogenous peroxidase by 3% hydrogen peroxide for 20 min; Blocking buffer (normal goat serum) at 37°C for 30 min; Antibody incubation with (EMP-1) Polyclonal Antibody, Unconjugated (TMAB-00607) at 1:200 overnight at 4°C, followed by operating according to SP Kit (Rabbit) instructionsand DAB staining.
4. Paraformaldehyde-fixed, paraffin embedded (mouse kidney); Antigen retrieval by boiling in sodium citrate buffer (pH6.0) for 15 min; Block endogenous peroxidase by 3% hydrogen peroxide for 20 min; Blocking buffer (normal goat serum) at 37°C for 30 min; Antibody incubation with (EMP-1) Polyclonal Antibody, Unconjugated (TMAB-00607) at 1:200 overnight at 4°C, followed by operating according to SP Kit (Rabbit) instructionsand DAB staining.
5. Paraformaldehyde-fixed, paraffin embedded (mouse small intestine); Antigen retrieval by boiling in sodium citrate buffer (pH6.0) for 15 min; Block endogenous peroxidase by 3% hydrogen peroxide for 20 min; Blocking buffer (normal goat serum) at 37°C for 30 min; Antibody incubation with (EMP-1) Polyclonal Antibody, Unconjugated (TMAB-00607) at 1:200 overnight at 4°C, followed by operating according to SP Kit (Rabbit) instructionsand DAB staining.
6. 25 μg total protein per Lane of various lysates probed with EMP-1 polyclonal antibody, unconjugated (TMAB-00607) at 1:1000 dilution and 4°C overnight incubation. Followed by conjugated secondary antibody incubation at RT for 60 min.
verifiedActivityverifiedActivityverifiedActivityverifiedActivityverifiedActivityverifiedActivity
应用IFIHC-FrIHC-PWB
推荐剂量
WB: 1:500-2000; IHC-P: 1:100-500; IHC-Fr: 1:100-500; IF: 1:100-500
抗体种类
Polyclonal
宿主来源Rabbit
亚细胞定位Membrane; Multi-pass membrane protein.
组织特异性Most prominently found in the gastrointestinal tract, skin, lung, and brain but not in liver.
构建方式Polyclonal Antibody
纯化方式Protein A purified
性状Liquid
缓冲液0.01M TBS (pH7.4) with 1% BSA, 0.02% Proclin300 and 50% Glycerol.
浓度1 mg/mL
研究背景Epithelial membrane protein-1 (EMP-1) is a four pass transmembrane protein consisting of 160 amino acids. It is a member of a small family of epithelial membrane proteins. EMP-1 is very similar in structure to its close relative, Peripheral Myelin Protein 22 (PMP22). It is most predominantly expressed in tissues of the gastrointestinal tract but has also been found to be a junctional protein in the liver expressed along the intercellular border. EMP-1 directly interacts with the C-terminus of the P2X7 receptor and may be involved in membrane blebbing. EMP-1 may also be an important regulator in cell communication, signaling, and adhesion. When EMP-1 is overexpressed, cell proliferation is inhibited, S phase is arrested and G1 phase is prolonged in esophogeal cancer cells. EMP-1 may play a role in tumorigenesis and has been identified as a biomarker for gefitinib treatment resistance for patients with lung cancer.
抗原信息
免疫原
KLH conjugated synthetic peptide: mouse EMP-1
抗原种属
Mouse
基因名称
Emp1
蛋白名称
Epithelial membrane protein 1
化学信息
分子量Theoretical: 17 kDa. Actual: 25 kDa.
储存&溶解度
储存方式Store at -20°C or -80°C for 12 months. Avoid repeated freeze-thaw cycles.
运输方式Shipping with blue ice.

计算器

  • 稀释 计算器
  • 配液 计算器
Related Tags: buy Anti-EMP-1 Polyclonal Antibody | purchase Anti-EMP-1 Polyclonal Antibody | Anti-EMP-1 Polyclonal Antibody cost | order Anti-EMP-1 Polyclonal Antibody | Anti-EMP-1 Polyclonal Antibody molecular weight