• TargetMol
    您的购物车当前为空

Anti-E2F1 Antibody (2K279)

一键复制产品信息
Rating icon 还可以
货号 TMAC-01210

Anti-E2F1 Antibody (2K279) 是一种 Rabbit 抗体,靶向 E2F1。Anti-E2F1 Antibody (2K279) 可用于 FCM,ICC/IF,IHC,IP,WB。

Anti-E2F1 Antibody (2K279)

Anti-E2F1 Antibody (2K279)

一键复制产品信息
Rating icon 还可以
货号 TMAC-01210

Anti-E2F1 Antibody (2K279) 是一种 Rabbit 抗体,靶向 E2F1。Anti-E2F1 Antibody (2K279) 可用于 FCM,ICC/IF,IHC,IP,WB。

规格价格库存数量
50 μL
¥ 1,495
5日内发货
100 μL
¥ 2,495
5日内发货
库存状态实时更新,以官网显示为准,现货产品可直接加购物车下单
大包装 & 定制
加入购物车
TargetMol的所有产品仅用作科学研究或药证申报,不能被用于人体,我们不向个人提供产品和服务。请您遵守承诺用途,不得违反法律法规规定用于任何其他用途。
实验操作小课堂
常见问题解答
查看更多
资源下载:

产品介绍


生物活性
产品描述
Anti-E2F1 Antibody (2K279) is a Rabbit antibody targeting E2F1. Anti-E2F1 Antibody (2K279) can be used in FCM,ICC/IF,IHC,IP,WB.
Ig Type
IgG
克隆号
2K279
反应种属
Human,Mouse,Rat
验证活性
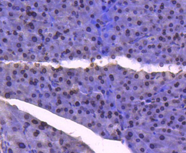
1. Immunohistochemical analysis of paraffin-embedded mouse pancreas tissue using anti-E2F1 antibody. Counter stained with hematoxylin.
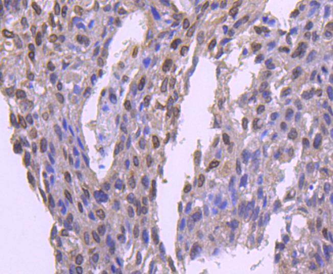
2. Immunohistochemical analysis of paraffin-embedded human breast carcinoma tissue using anti-E2F1 antibody. Counter stained with hematoxylin.
3. ICC staining E2F1 in Hela cells (green). The nuclear counter stain is DAPI (blue). Cells were fixed in paraformaldehyde, permeabilised with 0.25% Triton X100/PBS.
4. ICC staining E2F1 in MCF-7 cells (green). The nuclear counter stain is DAPI (blue). Cells were fixed in paraformaldehyde, permeabilised with 0.25% Triton X100/PBS.
5. ICC staining E2F1 in HepG2 cells (green). The nuclear counter stain is DAPI (blue). Cells were fixed in paraformaldehyde, permeabilised with 0.25% Triton X100/PBS.
6. Flow cytometric analysis of Hela cells with E2F1 antibody at 1/50 dilution (red) compared with an unlabelled control (cells without incubation with primary antibody; black). Alexa Fluor 488-conjugated goat anti rabbit IgG was used as the secondary antibody.
7. All lanes use the Antibody at 1:1K dilution for 1 hour at room temperature.
8. All lanes use the Antibody at 1:1K dilution for 1 hour at room temperature.
verifiedActivityverifiedActivityverifiedActivityverifiedActivityverifiedActivityverifiedActivityverifiedActivityverifiedActivity
应用FCMICC/IFIHCIPWB
推荐剂量
WB: 1:1000; IHC: 1:50-200; ICC/IF: 1:100-500; FCM: 1:50-100
抗体种类
Monoclonal
宿主来源Rabbit
构建方式Recombinant Antibody
纯化方式ProA affinity purified
性状Liquid
缓冲液1*TBS (pH7.4), 1%BSA, 40%Glycerol. Preservative: 0.05% Sodium Azide.
研究背景The human retinoblastoma gene product appears to play an important role in the negative regulation of cell proliferation. Functional inactivation of Rb can be mediated either through mutation or as a consequence of interaction with DNA tumor virus-encoded proteins. Of all the Rb associations described to date, the identification of a complex between Rb and the transcription factor E2F most directly implicates Rb in regulation of cell proliferation. E2F was originally identified through its role in transcriptional activation of the adenovirus E2 promoter. Sequences homologous to the E2F binding site have been found upstream of a number of genes that encode proteins with putative functions in the G1 and S phases of the cell cycle. E2F-1 is a member of a broader family of transcription regulators including E2F-2, E2F-3, E2F-4, E2F-5, E2F-6 and E2F-7 each of which forms heterodimers with a second protein, DP-1, forming an "active" E2F transcriptional regulatory complex.
偶联与修饰
偶联
Unconjugated
抗原信息
免疫原
Recombinant Protein
Uniprot ID
化学信息
分子量Theoretical: 55 kDa.
储存&溶解度
储存方式Store at -20°C or -80°C for 12 months. Avoid repeated freeze-thaw cycles.
运输方式Shipping with blue ice.
存储store at low temperature | -20°C for 1 year

计算器

  • 稀释 计算器
Related Tags: buy Anti-E2F1 Antibody (2K279) | purchase Anti-E2F1 Antibody (2K279) | Anti-E2F1 Antibody (2K279) cost | order Anti-E2F1 Antibody (2K279) | Anti-E2F1 Antibody (2K279) molecular weight