购物车
  • TargetMol
    您的购物车当前为空

Anti-Desmin Polyclonal Antibody

Synonyms: Desmin, DES
货号 TMAB-00539 一键复制产品信息
Rating icon 还可以

Anti-Desmin Polyclonal Antibody 是一种 Rabbit 抗体,靶向 Desmin。Anti-Desmin Polyclonal Antibody 可用于 ICC/IF, IF, IHC-Fr, IHC-P, WB。

Anti-Desmin Polyclonal Antibody

一键复制产品信息
Rating icon 还可以
货号 TMAB-00539

别名 Desmin, DES

Anti-Desmin Polyclonal Antibody 是一种 Rabbit 抗体,靶向 Desmin。Anti-Desmin Polyclonal Antibody 可用于 ICC/IF, IF, IHC-Fr, IHC-P, WB。

Anti-Desmin Polyclonal Antibody
规格价格库存数量
50 μL
¥ 1,160
5日内发货
100 μL
¥ 1,960
5日内发货
200 μL
¥ 2,780
5日内发货
库存状态实时更新,以官网显示为准,现货产品可直接加购物车下单
大包装 & 定制
加入购物车

TargetMol的所有产品仅用作科学研究或药证申报,不能被用于人体,我们不向个人提供产品和服务。请您遵守承诺用途,不得违反法律法规规定用于任何其他用途。

实验操作小课堂
常见问题解答
查看更多

资源下载:产品操作手册

产品介绍


生物活性
产品描述
Anti-Desmin Polyclonal Antibody is a Rabbit antibody targeting Desmin. Anti-Desmin Polyclonal Antibody can be used in ICC/IF, IF, IHC-Fr, IHC-P, WB.
别名
Desmin, DES
Ig Type
IgG
反应种属
Human,Mouse,Rat
验证活性
1. 25 μg total protein per Lane of various lysates probed with Desmin monoclonal antibody, unconjugated (TMAB-00539) at 1:5000 dilution and 4°C overnight incubation. Followed by conjugated secondary antibody incubation at RT for 60 min.
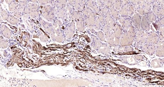
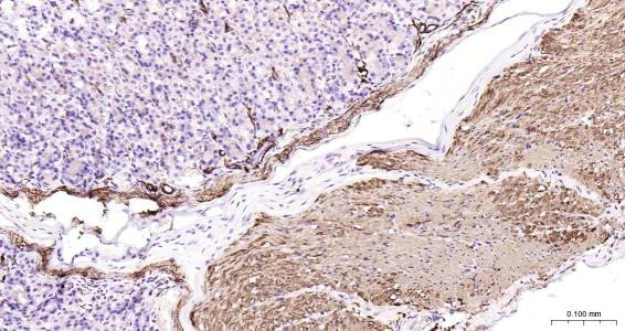
2. Paraformaldehyde-fixed, paraffin embedded Rat Bladder; Antigen retrieval by boiling in sodium citrate buffer (pH6.0) for 15 min; Antibody incubation with Desmin Polyclonal Antibody, Unconjugated (TMAB-00539) at 1:200 overnight at 4°C, followed by conjugation to the secondary antibody and DAB staining.
3. Paraformaldehyde-fixed, paraffin embedded Mouse Bladder; Antigen retrieval by boiling in sodium citrate buffer (pH6.0) for 15 min; Antibody incubation with Desmin Polyclonal Antibody, Unconjugated (TMAB-00539) at 1:200 overnight at 4°C, followed by conjugation to the secondary antibody and DAB staining.
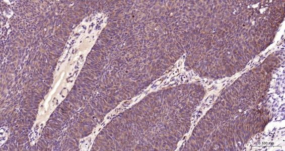
4. Paraformaldehyde-fixed, paraffin embedded Human Bladder; Antigen retrieval by boiling in sodium citrate buffer (pH6.0) for 15 min; Antibody incubation with Desmin Polyclonal Antibody, Unconjugated (TMAB-00539) at 1:200 overnight at 4°C, followed by conjugation to the secondary antibody and DAB staining.
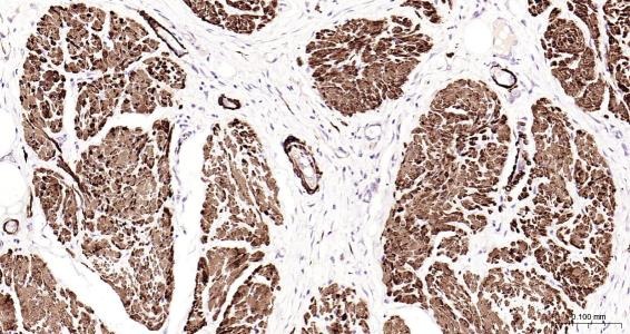
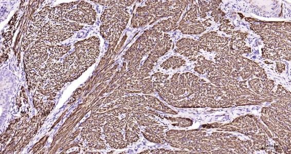
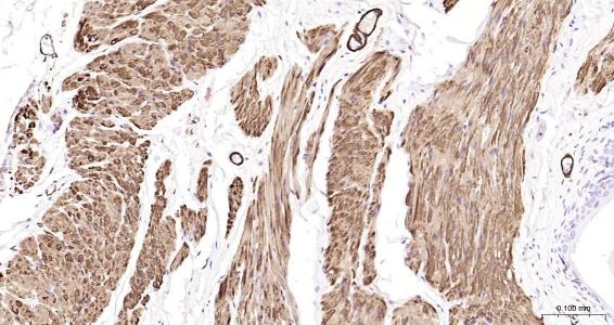
5. Paraformaldehyde-fixed, paraffin embedded Rat Skeletal muscle; Antigen retrieval by boiling in sodium citrate buffer (pH6.0) for 15 min; Antibody incubation with Desmin Polyclonal Antibody, Unconjugated (TMAB-00539) at 1:200 overnight at 4°C, followed by conjugation to the secondary antibody and DAB staining.
6. Paraformaldehyde-fixed, paraffin embedded Mouse Skeletal muscle; Antigen retrieval by boiling in sodium citrate buffer (pH6.0) for 15 min; Antibody incubation with Desmin Polyclonal Antibody, Unconjugated (TMAB-00539) at 1:200 overnight at 4°C, followed by conjugation to the secondary antibody and DAB staining.
7. Paraformaldehyde-fixed, paraffin embedded Human Skeletal muscle; Antigen retrieval by boiling in sodium citrate buffer (pH6.0) for 15 min; Antibody incubation with Desmin Polyclonal Antibody, Unconjugated (TMAB-00539) at 1:200 overnight at 4°C, followed by conjugation to the secondary antibody and DAB staining.
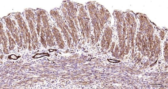
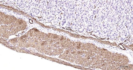
8. Paraformaldehyde-fixed, paraffin embedded Rat Stomach; Antigen retrieval by boiling in sodium citrate buffer (pH6.0) for 15 min; Antibody incubation with Desmin Polyclonal Antibody, Unconjugated (TMAB-00539) at 1:200 overnight at 4°C, followed by conjugation to the secondary antibody and DAB staining.
9. Paraformaldehyde-fixed, paraffin embedded Mouse Stomach; Antigen retrieval by boiling in sodium citrate buffer (pH6.0) for 15 min; Antibody incubation with Desmin Polyclonal Antibody, Unconjugated (TMAB-00539) at 1:200 overnight at 4°C, followed by conjugation to the secondary antibody and DAB staining.
10. Paraformaldehyde-fixed, paraffin embedded Human Stomach; Antigen retrieval by boiling in sodium citrate buffer (pH6.0) for 15 min; Antibody incubation with Desmin Polyclonal Antibody, Unconjugated (TMAB-00539) at 1:200 overnight at 4°C, followed by conjugation to the secondary antibody and DAB staining.
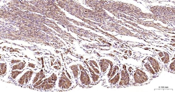
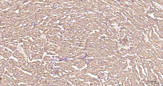
11. Paraformaldehyde-fixed, paraffin embedded Rat Heart; Antigen retrieval by boiling in sodium citrate buffer (pH6.0) for 15 min; Antibody incubation with Desmin Polyclonal Antibody, Unconjugated (TMAB-00539) at 1:200 overnight at 4°C, followed by conjugation to the secondary antibody and DAB staining.
12. Paraformaldehyde-fixed, paraffin embedded Mouse Heart; Antigen retrieval by boiling in sodium citrate buffer (pH6.0) for 15 min; Antibody incubation with Desmin Polyclonal Antibody, Unconjugated (TMAB-00539) at 1:200 overnight at 4°C, followed by conjugation to the secondary antibody and DAB staining.
13. Paraformaldehyde-fixed, paraffin embedded Human Heart; Antigen retrieval by boiling in sodium citrate buffer (pH6.0) for 15 min; Antibody incubation with Desmin Polyclonal Antibody, Unconjugated (TMAB-00539) at 1:200 overnight at 4°C, followed by conjugation to the secondary antibody and DAB staining.
14. Paraformaldehyde-fixed, paraffin embedded Rat Uterus; Antigen retrieval by boiling in sodium citrate buffer (pH6.0) for 15 min; Antibody incubation with Desmin Polyclonal Antibody, Unconjugated (TMAB-00539) at 1:200 overnight at 4°C, followed by conjugation to the secondary antibody and DAB staining.
15. Paraformaldehyde-fixed, paraffin embedded Human Uterus; Antigen retrieval by boiling in sodium citrate buffer (pH6.0) for 15 min; Antibody incubation with Desmin Polyclonal Antibody, Unconjugated (TMAB-00539) at 1:200 overnight at 4°C, followed by conjugation to the secondary antibody and DAB staining.
16. Paraformaldehyde-fixed, paraffin embedded Mouse Uterus; Antigen retrieval by boiling in sodium citrate buffer (pH6.0) for 15 min; Antibody incubation with Desmin Polyclonal Antibody, Unconjugated (TMAB-00539) at 1:200 overnight at 4°C, followed by conjugation to the secondary antibody and DAB staining.
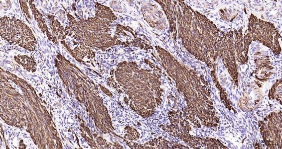
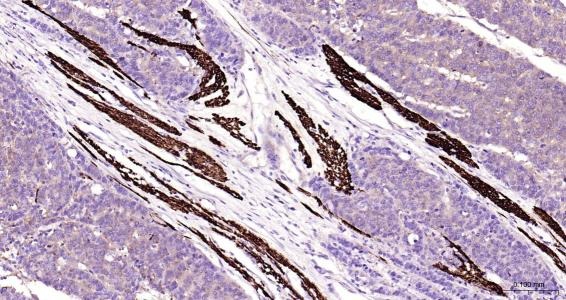
17. Paraformaldehyde-fixed, paraffin embedded Human Prostate Tumor; Antigen retrieval by boiling in sodium citrate buffer (pH6.0) for 15 min; Antibody incubation with Desmin Polyclonal Antibody, Unconjugated (TMAB-00539) at 1:200 overnight at 4°C, followed by conjugation to the secondary antibody and DAB staining.
18. Paraformaldehyde-fixed, paraffin embedded Human Endometrial; Antigen retrieval by boiling in sodium citrate buffer (pH6.0) for 15 min; Antibody incubation with Desmin Polyclonal Antibody, Unconjugated (TMAB-00539) at 1:200 overnight at 4°C, followed by conjugation to the secondary antibody and DAB staining.
19. Paraformaldehyde-fixed, paraffin embedded Human Esophageal Cancer; Antigen retrieval by boiling in sodium citrate buffer (pH6.0) for 15 min; Antibody incubation with Desmin Polyclonal Antibody, Unconjugated (TMAB-00539) at 1:200 overnight at 4°C, followed by conjugation to the secondary antibody and DAB staining.
20. 4% Paraformaldehyde-fixed C2C12 (M) cell; Triton X-100 at RT for 20 min; Antibody incubation with (Desmin) polyclonal Antibody, unconjugated (TMAB-00539) 1:100, 90 min at 37°C; followed by conjugated Goat Anti-Rabbit IgG antibody (green ) at 37°C for 90 min, DAPI (blue) was used to stain the cell nucleus. PBS instead of the primary antibody was used as the blank control.
verifiedActivityverifiedActivityverifiedActivityverifiedActivityverifiedActivityverifiedActivityverifiedActivityverifiedActivityverifiedActivityverifiedActivityverifiedActivityverifiedActivityverifiedActivityverifiedActivityverifiedActivityverifiedActivityverifiedActivityverifiedActivityverifiedActivityverifiedActivity
应用ICC/IFIFIHC-FrIHC-PWB
推荐剂量
ICC/IF=1:50-200; IF=1:100-500; IHC-Fr=1:100-500; IHC-P=1:100-500; WB=1:500-5000
抗体种类
Polyclonal
宿主来源Rabbit
亚细胞定位Cytoplasm.
构建方式Polyclonal Antibody
纯化方式Protein A purified
性状Liquid
缓冲液0.01M TBS (pH7.4) with 1% BSA, 0.02% Proclin300 and 50% Glycerol.
浓度1 mg/mL
研究背景Desmin is a muscle-specific, type III intermediate filament that integrates the sarcolemma, Z disk, and nuclear membrane in sarcomeres and regulates sarcomere architecture. In adult striated muscle they form a fibrous network connecting myofibrils to each other and to the plasma membrane from the periphery of the Z line structures. Defects in Desmin are the cause of desmin related cardio skeletal myopathy (CSM) also known as desmin related myopathy (DRM). CSM is characterized by skeletal muscle weakness associated with cardiac conduction blocks, arrhythmias, restrictive heart failure, and by intracytoplasmic accumulation of desmin reactive deposits in cardiac and skeletal muscle cells. A desmin related myopathy can have a distal onset, it is then known as hereditary distal myopathy (HDM). Defects in Desmin are also the cause of dilated cardiomyopathy type 1I (CMD1I). CMD1I is an autosomal form of dilated cardiomyopathy characterized by ventricular dilatation and impaired systolic function. Antidesmin antibodies are useful in identification of tumours of myogenic origin
抗原信息
免疫原
KLH conjugated synthetic peptide: human Desmin
抗原种属
Human
基因名称
DES
基因ID
蛋白名称
Desmin
Uniprot ID
研究领域
Extracellular matrix,Cardiac arrhythmias,Desmin,Myogenesis
功能
Desmin are class-III intermediate filaments found in muscle cells. In adult striated muscle they form a fibrous network connecting myofibrils to each other and to the plasma membrane from the periphery of the Z-line structures.
化学信息
分子量Theoretical: 52 kDa. Actual: 53 kDa.
储存&溶解度
储存方式Store at -20°C or -80°C for 12 months. Avoid repeated freeze-thaw cycles.
运输方式Shipping with blue ice.

计算器

  • 稀释 计算器
  • 配液 计算器
Related Tags: buy Anti-Desmin Polyclonal Antibody | purchase Anti-Desmin Polyclonal Antibody | Anti-Desmin Polyclonal Antibody cost | order Anti-Desmin Polyclonal Antibody | Anti-Desmin Polyclonal Antibody molecular weight