• TargetMol
    您的购物车当前为空

Anti-delta Sarcoglycan Antibody (5T99)

一键复制产品信息
Rating icon 还可以
货号 TMAC-01137

别名 δSarcoglycan, δ Sarcoglycan, SGD, SGCDP, SGCD_HUMAN, SGCD, SG delta, Sarcoglycan delta (35 kDa dystrophin associated glycoprotein), Placental delta sarcoglycan, MGC22567, LGMD2F, Dystrophin associated glycoprotein delta sarcoglycan, dSarcoglycan, Delta-SG, Delta-sarcoglycan, deltaSarcoglycan, DAGD, d Sarcoglycan, CMD1L, 35DAG, 35 kDa dystrophin-associated glycoprotein, 35 kDa dystrophin associated glycoprotein

Anti-delta Sarcoglycan Antibody (5T99) 是一种 Rabbit 抗体,靶向 delta Sarcoglycan。Anti-delta Sarcoglycan Antibody (5T99) 可用于 IHC,IP,WB。

Anti-delta Sarcoglycan Antibody (5T99)

Anti-delta Sarcoglycan Antibody (5T99)

一键复制产品信息
Rating icon 还可以
货号 TMAC-01137 别名 δSarcoglycan, δ Sarcoglycan, SGD, SGCDP, SGCD_HUMAN, SGCD, SG delta, Sarcoglycan delta (35 kDa dystrophin associated glycoprotein), Placental delta sarcoglycan, MGC22567, LGMD2F, Dystrophin associated glycoprotein delta sarcoglycan, dSarcoglycan, Delta-SG, Delta-sarcoglycan, deltaSarcoglycan, DAGD, d Sarcoglycan, CMD1L, 35DAG, 35 kDa dystrophin-associated glycoprotein, 35 kDa dystrophin associated glycoprotein

Anti-delta Sarcoglycan Antibody (5T99) 是一种 Rabbit 抗体,靶向 delta Sarcoglycan。Anti-delta Sarcoglycan Antibody (5T99) 可用于 IHC,IP,WB。

规格价格库存数量
50 μL
¥ 1,480
5日内发货
100 μL
¥ 2,490
5日内发货
库存状态实时更新,以官网显示为准,现货产品可直接加购物车下单
大包装 & 定制
加入购物车
TargetMol的所有产品仅用作科学研究或药证申报,不能被用于人体,我们不向个人提供产品和服务。请您遵守承诺用途,不得违反法律法规规定用于任何其他用途。
实验操作小课堂
常见问题解答
查看更多
资源下载:

产品介绍


生物活性
产品描述
Anti-delta Sarcoglycan Antibody (5T99) is a Rabbit antibody targeting delta Sarcoglycan. Anti-delta Sarcoglycan Antibody (5T99) can be used in IHC,IP,WB.
别名δSarcoglycan, δ Sarcoglycan, SGD, SGCDP, SGCD_HUMAN, SGCD, SG delta, Sarcoglycan delta (35 kDa dystrophin associated glycoprotein), Placental delta sarcoglycan, MGC22567, LGMD2F, Dystrophin associated glycoprotein delta sarcoglycan, dSarcoglycan, Delta-SG, Delta-sarcoglycan, deltaSarcoglycan, DAGD, d Sarcoglycan, CMD1L, 35DAG, 35 kDa dystrophin-associated glycoprotein, 35 kDa dystrophin associated glycoprotein
Ig Type
IgG
克隆号
5T99
反应种属
Human
验证活性
1. Western blot analysis of delta Sarcoglycan on human lung cells lysates using anti- delta Sarcoglycan antibody at 1/500 dilution.
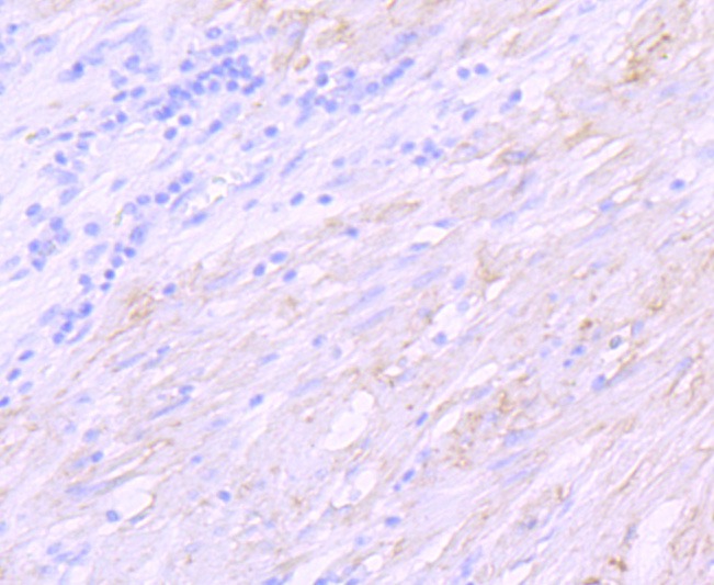
2. Immunohistochemical analysis of paraffin-embedded human stomach cancer tissue using anti- delta Sarcoglycan antibody. Counter stained with hematoxylin.
verifiedActivityverifiedActivity
应用IHCIPWB
推荐剂量
WB: 1:500-2000; IHC: 1:50-200; IP: 1:10-50
抗体种类
Monoclonal
宿主来源Rabbit
构建方式Recombinant Antibody
纯化方式ProA affinity purified
性状Liquid
缓冲液1*TBS (pH7.4), 1%BSA, 40%Glycerol. Preservative: 0.05% Sodium Azide.
研究背景Component of the sarcoglycan complex, a subcomplex of the dystrophin-glycoprotein complex which forms a link between the F-actin cytoskeleton and the extracellular matrix. Defects in SGCD are the cause of limb-girdle muscular dystrophy type 2F (LGMD2F) [MIM:601287]. LGMD2F is an autosomal recessive disorder. Defects in SGCD are the cause of cardiomyopathy dilated type 1L (CMD1L) [MIM:606685]. Dilated cardiomyopathy is a disorder characterized by ventricular dilation and impaired systolic function, resulting in congestive heart failure and arrhythmia. Patients are at risk of premature death.
偶联与修饰
偶联
Unconjugated
抗原信息
免疫原
Recombinant Protein
Uniprot ID
化学信息
分子量Theoretical: 35 kDa.
储存&溶解度
储存方式Store at -20°C or -80°C for 12 months. Avoid repeated freeze-thaw cycles.
运输方式Shipping with blue ice.
存储store at low temperature | -20°C for 1 year

计算器

  • 稀释 计算器
Related Tags: buy Anti-delta Sarcoglycan Antibody (5T99) | purchase Anti-delta Sarcoglycan Antibody (5T99) | Anti-delta Sarcoglycan Antibody (5T99) cost | order Anti-delta Sarcoglycan Antibody (5T99) | Anti-delta Sarcoglycan Antibody (5T99) molecular weight