购物车
  • TargetMol
    您的购物车当前为空

Anti-DDIT3 Antibody (2Y717)

Synonyms: Growth arrest and DNA damage-inducible protein GADD153, GADD153, DNA damage-inducible transcript 3 protein, DDIT-3, DDIT3, CHOP-10, CHOP10, CHOP, CCAAT/enhancer-binding protein homologous protein, C/EBP-homologous protein 10, C/EBP-homologous protein, C/EBP zeta
货号 TMAC-00853 一键复制产品信息
Rating icon 还可以

Anti-DDIT3 Antibody (2Y717) 是一种 Mouse 抗体,靶向 DDIT3。Anti-DDIT3 Antibody (2Y717) 可用于 IHC,WB。

Anti-DDIT3 Antibody (2Y717)

一键复制产品信息
Rating icon 还可以
货号 TMAC-00853

别名 Growth arrest and DNA damage-inducible protein GADD153, GADD153, DNA damage-inducible transcript 3 protein, DDIT-3, DDIT3, CHOP-10, CHOP10, CHOP, CCAAT/enhancer-binding protein homologous protein, C/EBP-homologous protein 10, C/EBP-homologous protein, C/EBP zeta

Anti-DDIT3 Antibody (2Y717) 是一种 Mouse 抗体,靶向 DDIT3。Anti-DDIT3 Antibody (2Y717) 可用于 IHC,WB。

Anti-DDIT3 Antibody (2Y717)
规格价格库存数量
50 μL
¥ 1,335
5日内发货
100 μL
¥ 2,180
5日内发货
库存状态实时更新,以官网显示为准,现货产品可直接加购物车下单
大包装 & 定制
加入购物车
TargetMol的所有产品仅用作科学研究或药证申报,不能被用于人体,我们不向个人提供产品和服务。请您遵守承诺用途,不得违反法律法规规定用于任何其他用途。
实验操作小课堂
常见问题解答
查看更多

资源下载:产品操作手册

产品介绍


生物活性
产品描述
Anti-DDIT3 Antibody (2Y717) is a Mouse antibody targeting DDIT3. Anti-DDIT3 Antibody (2Y717) can be used in IHC,WB.
别名Growth arrest and DNA damage-inducible protein GADD153, GADD153, DNA damage-inducible transcript 3 protein, DDIT-3, DDIT3, CHOP-10, CHOP10, CHOP, CCAAT/enhancer-binding protein homologous protein, C/EBP-homologous protein 10, C/EBP-homologous protein, C/EBP zeta
Ig Type
IgG1
克隆号
2Y717
反应种属
Human,Rat,Mouse
验证活性
1. Western blot analysis of Mouse Liver Tissue Lysate using CHOP Mouse mAb diluted at 1:2000.
2. Immunohistochemical analysis of paraffin-embedded Human Stomach Carcinoma Tissue using CHOP Mouse mAb diluted at 1:200.
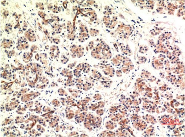
3. Immunohistochemical analysis of paraffin-embedded Human Pancreas Carcinoma Tissue using CHOP Mouse mAb diluted at 1:200.
verifiedActivityverifiedActivityverifiedActivity
应用IHCWB
推荐剂量
WB: 1:1000-2000; IHC: 1:100-200
抗体种类
Monoclonal
宿主来源Mouse
构建方式Hybridoma Monoclonal Antibody
性状Liquid
缓冲液Liquid in PBS containing 50% glycerol, 0.5% BSA and 0.02% sodium azide.
偶联与修饰
偶联
Unconjugated
抗原信息
免疫原
A synthesized peptide
Uniprot ID
化学信息
分子量Theoretical: 27 kDa.
储存&溶解度
储存方式Store at -20°C or -80°C for 12 months. Avoid repeated freeze-thaw cycles.
运输方式Shipping with blue ice.

计算器

  • 稀释 计算器
  • 配液 计算器
Related Tags: buy Anti-DDIT3 Antibody (2Y717) | purchase Anti-DDIT3 Antibody (2Y717) | Anti-DDIT3 Antibody (2Y717) cost | order Anti-DDIT3 Antibody (2Y717) | Anti-DDIT3 Antibody (2Y717) molecular weight