• TargetMol
    您的购物车当前为空

Anti-CYCS Antibody (7T202)

一键复制产品信息
Rating icon 还可以
货号 TMAC-01068

别名 Cytochrome C, CYCS, CYC

Anti-CYCS Antibody (7T202) 是一种 Rabbit 抗体,靶向 CYCS。Anti-CYCS Antibody (7T202) 可用于 ICC/IF,IHC,IP,WB。

Anti-CYCS Antibody (7T202)

Anti-CYCS Antibody (7T202)

一键复制产品信息
Rating icon 还可以
货号 TMAC-01068 别名 Cytochrome C, CYCS, CYC

Anti-CYCS Antibody (7T202) 是一种 Rabbit 抗体,靶向 CYCS。Anti-CYCS Antibody (7T202) 可用于 ICC/IF,IHC,IP,WB。

规格价格库存数量
50 μL
¥ 1,485
5日内发货
100 μL
¥ 2,480
5日内发货
库存状态实时更新,以官网显示为准,现货产品可直接加购物车下单
大包装 & 定制
加入购物车
TargetMol的所有产品仅用作科学研究或药证申报,不能被用于人体,我们不向个人提供产品和服务。请您遵守承诺用途,不得违反法律法规规定用于任何其他用途。
实验操作小课堂
常见问题解答
查看更多
资源下载:

产品介绍


生物活性
产品描述
Anti-CYCS Antibody (7T202) is a Rabbit antibody targeting CYCS. Anti-CYCS Antibody (7T202) can be used in ICC/IF,IHC,IP,WB.
别名Cytochrome C, CYCS, CYC
Ig Type
IgG
克隆号
7T202
反应种属
Human,Mouse,Rat
验证活性
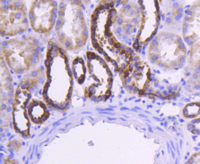
1. Immunohistochemical analysis of paraffin-embedded human kidney tissue using anti-Cytochrome C antibody. Counter stained with hematoxylin.
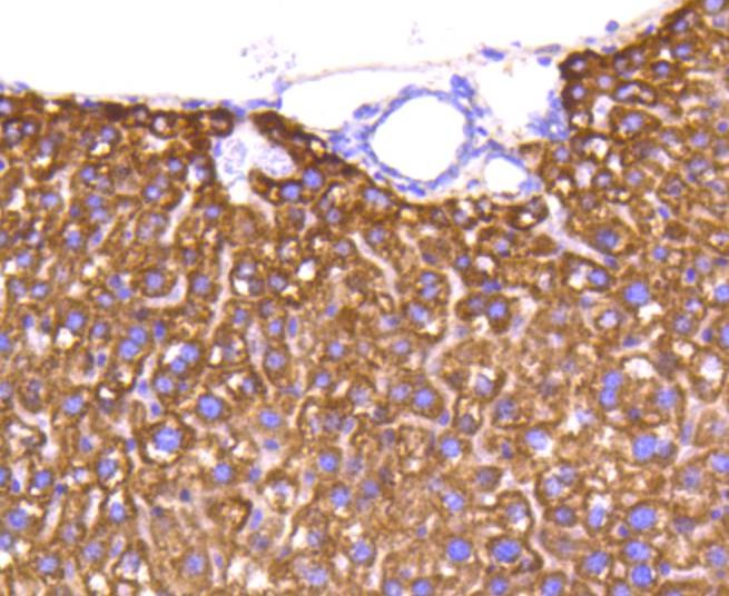
2. Immunohistochemical analysis of paraffin-embedded mouse liver tissue using anti-Cytochrome C antibody. Counter stained with hematoxylin.
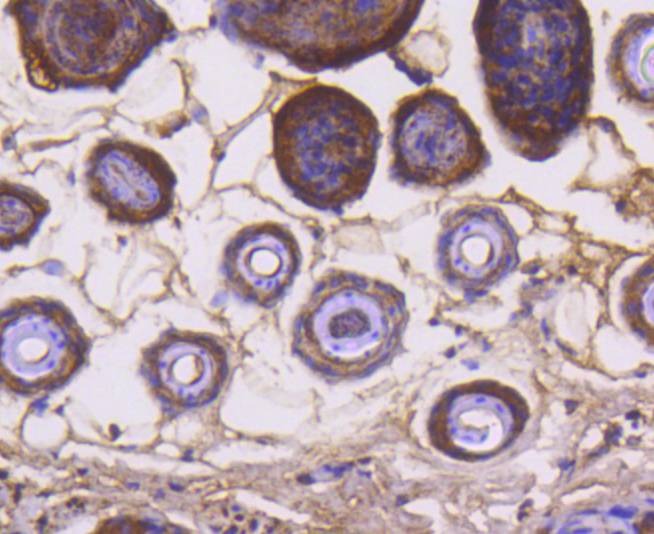
3. Immunohistochemical analysis of paraffin-embedded mouse skin tissue using anti-Cytochrome C antibody. Counter stained with hematoxylin.
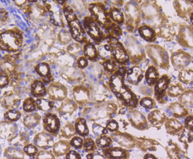
4. Immunohistochemical analysis of paraffin-embedded mouse kidney tissue using anti-Cytochrome C antibody. Counter stained with hematoxylin.
5. ICC staining Cytochrome C in MCF-7 cells (green). The nuclear counter stain is DAPI (blue). Cells were fixed in paraformaldehyde, permeabilised with 0.25% Triton X100/PBS.
verifiedActivityverifiedActivityverifiedActivityverifiedActivityverifiedActivity
应用ICC/IFIHCIPWB
推荐剂量
WB: 1:1000; IHC: 1:50-200; ICC/IF: 1:50-200
抗体种类
Monoclonal
宿主来源Rabbit
构建方式Recombinant Antibody
纯化方式ProA affinity purified
性状Liquid
缓冲液1*TBS (pH7.4), 1%BSA, 40%Glycerol. Preservative: 0.05% Sodium Azide.
研究背景Cytochrome c is a well characterized mobile electron transport protein that is essential to energy conversion in all aerobic organisms. In mammalian cells, this highly conserved protein is normally localized to the mitochondrial intermembrane space. More recent studies have identifed cytosolic cytochrome c as a factor necessary for activation of apoptosis. During apoptosis, cytochrome c is translocated from the mitochondrial membrane to the cytosol, where it is required for activation of caspase-3 (CPP32). Overexpression of Bcl-2 has been shown to prevent the translocation of cytochrome c, thereby blocking the apoptotic process. Overexpression of Bax has been shown to induce the release of cytochrome c and to induce cell death. The release of cytochrome c from the mitochondria is thought to trigger an apoptotic cascade, whereby Apaf-1 binds to Apaf-3 (caspase-9) in a cytochrome c-dependent manner, leading to caspase-9 cleavage of caspase-3.
偶联与修饰
偶联
Unconjugated
抗原信息
免疫原
Recombinant Protein
Uniprot ID
化学信息
分子量Theoretical: 14 kDa.
储存&溶解度
储存方式Store at -20°C or -80°C for 12 months. Avoid repeated freeze-thaw cycles.
运输方式Shipping with blue ice.
存储store at low temperature | -20°C for 1 year

计算器

  • 稀释 计算器
Related Tags: buy Anti-CYCS Antibody (7T202) | purchase Anti-CYCS Antibody (7T202) | Anti-CYCS Antibody (7T202) cost | order Anti-CYCS Antibody (7T202) | Anti-CYCS Antibody (7T202) molecular weight