• TargetMol
    您的购物车当前为空

Anti-Cyclophilin F Antibody (6E743)

一键复制产品信息
Rating icon 还可以
货号 TMAC-01056

别名 peptidylprolyl isomerase F, CyP-M, Cyp-D, CypD, CYP3

Anti-Cyclophilin F Antibody (6E743) 是一种 Rabbit 抗体,靶向 Cyclophilin F。Anti-Cyclophilin F Antibody (6E743) 可用于 IHC,IP,WB。

Anti-Cyclophilin F Antibody (6E743)

Anti-Cyclophilin F Antibody (6E743)

一键复制产品信息
Rating icon 还可以
货号 TMAC-01056 别名 peptidylprolyl isomerase F, CyP-M, Cyp-D, CypD, CYP3

Anti-Cyclophilin F Antibody (6E743) 是一种 Rabbit 抗体,靶向 Cyclophilin F。Anti-Cyclophilin F Antibody (6E743) 可用于 IHC,IP,WB。

规格价格库存数量
50 μL
¥ 1,490
5日内发货
100 μL
¥ 2,490
5日内发货
库存状态实时更新,以官网显示为准,现货产品可直接加购物车下单
大包装 & 定制
加入购物车
TargetMol的所有产品仅用作科学研究或药证申报,不能被用于人体,我们不向个人提供产品和服务。请您遵守承诺用途,不得违反法律法规规定用于任何其他用途。
实验操作小课堂
常见问题解答
查看更多
资源下载:

产品介绍


生物活性
产品描述
Anti-Cyclophilin F Antibody (6E743) is a Rabbit antibody targeting Cyclophilin F. Anti-Cyclophilin F Antibody (6E743) can be used in IHC,IP,WB.
别名peptidylprolyl isomerase F, CyP-M, Cyp-D, CypD, CYP3
Ig Type
IgG
克隆号
6E743
反应种属
Human,Mouse,Rat
验证活性
1. Western blot analysis of Cyclophilin F on human heart (1) and human brain (2) tissue lysate using anti-Cyclophilin F antibody at 1/1,000 dilution.
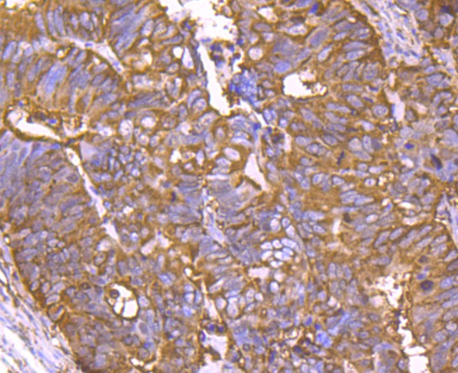
2. Immunohistochemical analysis of paraffin-embedded human colon cancer tissue using anti-Cyclophilin F antibody. Counter stained with hematoxylin.
3. Immunohistochemical analysis of paraffin-embedded human breast cancer tissue using anti-Cyclophilin F antibody. Counter stained with hematoxylin.
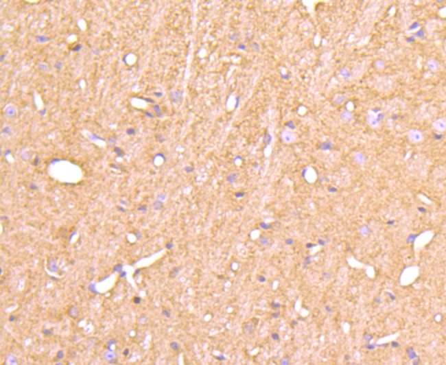
4. Immunohistochemical analysis of paraffin-embedded mouse brain tissue using anti-Cyclophilin F antibody. Counter stained with hematoxylin.
verifiedActivityverifiedActivityverifiedActivityverifiedActivity
应用IHCIPWB
推荐剂量
WB: 1:500-2000; IHC: 1:50-200
抗体种类
Monoclonal
宿主来源Rabbit
构建方式Recombinant Antibody
纯化方式ProA affinity purified
性状Liquid
缓冲液1*TBS (pH7.4), 1%BSA, 40%Glycerol. Preservative: 0.05% Sodium Azide.
研究背景Cyclophilins are conserved, ubiquitous and abundant cytosolic peptidyl-prolyl cis-trans isomerases that accelerate the isomerization of XaaPro peptide bonds and the refolding of proteins. Human cyclophilin A (CyPA), an intracellular protein of 165 amino acids, is the target of cyclosporin A (CsA) and is encoded by a single unique gene conserved between yeast to humans. Cyclophilin B (CyPB) is secreted in biological fluids such as blood or milk, and binds to a specific receptor present on human peripheral blood lymphocytes and expressed in Jurkat cells, a line of human lymphoblasts. Cyclophilin D (CyP40) is a widely expressed cytoplasmic protein that catalyzes the cis-trans isomerization of proline imidic peptide bonds in oligopeptides. Cyclophilin F (CyP3), is also known as PPIF, Cyp-D or Rotamase F, is a 207 amino acid mitochondrial matrix protein involved in the induction of necrotic and apoptotic cell death through the activation of the mitochondrial permeability transition (mPT) pore.
偶联与修饰
偶联
Unconjugated
抗原信息
免疫原
Recombinant Protein
Uniprot ID
化学信息
分子量Theoretical: 20 kDa.
储存&溶解度
储存方式Store at -20°C or -80°C for 12 months. Avoid repeated freeze-thaw cycles.
运输方式Shipping with blue ice.
存储store at low temperature | -20°C for 1 year

计算器

  • 稀释 计算器

关键词

Related Tags: buy Anti-Cyclophilin F Antibody (6E743) | purchase Anti-Cyclophilin F Antibody (6E743) | Anti-Cyclophilin F Antibody (6E743) cost | order Anti-Cyclophilin F Antibody (6E743) | Anti-Cyclophilin F Antibody (6E743) molecular weight