购物车
  • 全部删除
  • TargetMol
    您的购物车当前为空

Anti-Cyclin A2 Antibody (9J817)

一键复制产品信息
Rating icon 还可以
产品编号 TMAC-01026
别名 Cyclin-A2, Cyclin-A, Cyclin A2, CCNA2_HUMAN, Ccna2, CCNA, CCN1

Anti-Cyclin A2 Antibody (9J817) 是一种 Rabbit 抗体,靶向 Cyclin A2。Anti-Cyclin A2 Antibody (9J817) 可用于 ICC/IF,IHC,WB。

Anti-Cyclin A2 Antibody (9J817)

Anti-Cyclin A2 Antibody (9J817)

一键复制产品信息
Rating icon 还可以
产品编号 TMAC-01026 别名 Cyclin-A2, Cyclin-A, Cyclin A2, CCNA2_HUMAN, Ccna2, CCNA, CCN1

Anti-Cyclin A2 Antibody (9J817) 是一种 Rabbit 抗体,靶向 Cyclin A2。Anti-Cyclin A2 Antibody (9J817) 可用于 ICC/IF,IHC,WB。

规格价格库存数量
50 μL
¥ 1,485
5日内发货
100 μL
¥ 2,480
5日内发货
大包装 & 定制
加入购物车
TargetMol 的所有产品仅用作科学研究或药证申报,不能被用于人体,我们不向个人提供产品和服务。请您遵守承诺用途,不得违反法律法规规定用于任何其他用途。
实验操作小课堂
常见问题解答
查看更多
联系我们获取更多批次信息
资源下载

产品介绍

生物活性
产品描述
Anti-Cyclin A2 Antibody (9J817) is a Rabbit antibody targeting Cyclin A2. Anti-Cyclin A2 Antibody (9J817) can be used in ICC/IF,IHC,WB.
别名Cyclin-A2, Cyclin-A, Cyclin A2, CCNA2_HUMAN, Ccna2, CCNA, CCN1
Ig Type
IgG
克隆号
9J817
交叉反应
Human,Mouse,Rat
验证活性
1. Western blot analysis of Cyclin A2 on different lysates using anti-Cyclin A2 antibody at 1/1,000 dilution. Positive control: Lane 1: PC12, Lane 2: NIH/3T3.
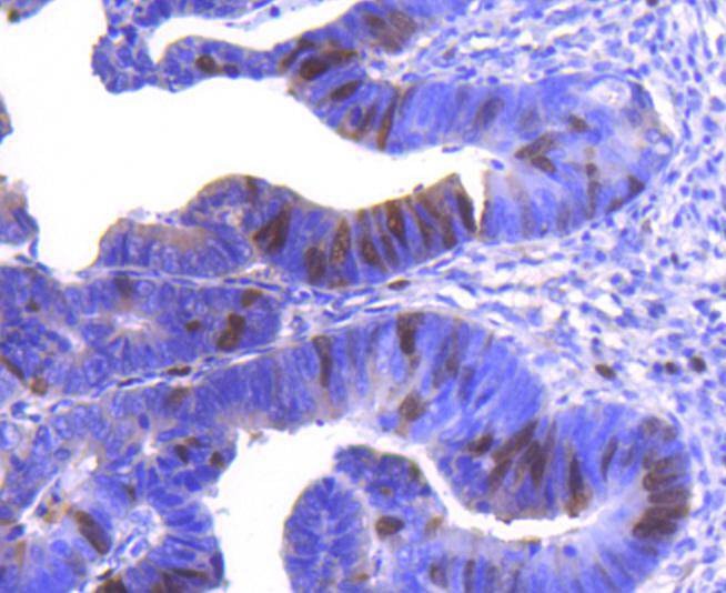
2. Immunohistochemical analysis of paraffin-embedded human colon cancer tissue using anti-Cyclin A2 antibody. Counter stained with hematoxylin.
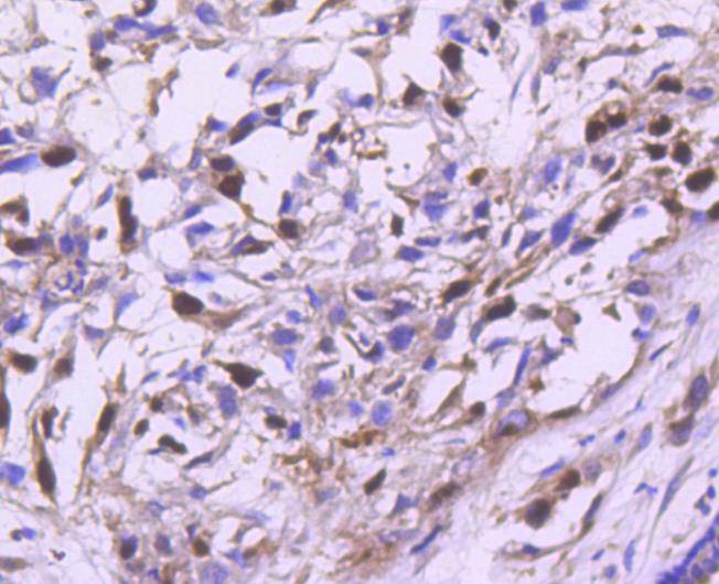
3. Immunohistochemical analysis of paraffin-embedded human breast carcinoma tissue using anti-Cyclin A2 antibody. Counter stained with hematoxylin.
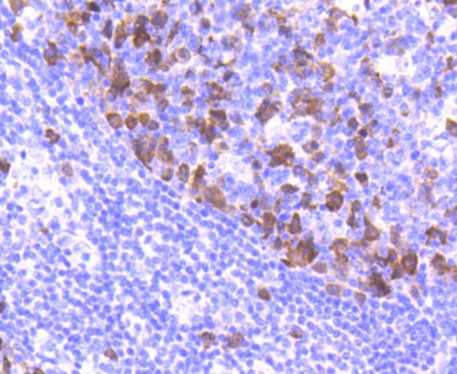
4. Immunohistochemical analysis of paraffin-embedded human tonsil tissue using anti-Cyclin A2 antibody. Counter stained with hematoxylin.
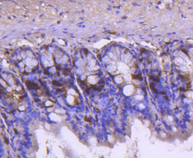
5. Immunohistochemical analysis of paraffin-embedded mouse colon tissue using anti-Cyclin A2 antibody. Counter stained with hematoxylin.
6. ICC staining Cyclin A2 in Hela cells (green). The nuclear counter stain is DAPI (blue). Cells were fixed in paraformaldehyde, permeabilised with 0.25% Triton X100/PBS.
7. ICC staining Cyclin A2 in HepG2 cells (green). The nuclear counter stain is DAPI (blue). Cells were fixed in paraformaldehyde, permeabilised with 0.25% Triton X100/PBS.
8. ICC staining Cyclin A2 in RH-35 cells (green). The nuclear counter stain is DAPI (blue). Cells were fixed in paraformaldehyde, permeabilised with 0.25% Triton X100/PBS.
verifiedActivityverifiedActivityverifiedActivityverifiedActivityverifiedActivityverifiedActivityverifiedActivityverifiedActivity
应用ICC/IFIHCWB
推荐剂量
WB: 1:1000-2000; IHC: 1:50-200; ICC/IF: 1:100-500
抗体种类
Monoclonal
宿主来源Rabbit
构建方式Recombinant Antibody
纯化方式ProA affinity purified
性状Liquid
缓冲液1*TBS (pH7.4), 1%BSA, 40%Glycerol. Preservative: 0.05% Sodium Azide.
研究背景The critical role that the family of regulatory proteins known as cyclins play in eukaryotic cell cycle regulation is well established. The best-characterized cyclin complex is the mitotic cyclin B/Cdc2 p34 kinase, the active component of maturing promoting factor. Cyclin A accumulates prior to cyclin B in the cell cycle, appears to be involved in control of S phase and has been shown to associate with cyclin- dependent kinase-2 (Cdk2). In addition, cyclin A has been implicated in cell transformation and is found in complexes with E1A, transcription factors DRTF1 and E2F and retinoblastoma protein, p110. A second form of cyclin A, named cyclin A1 because of its high sequence homology to Xenopus cyclin A1, is most highly expressed in germ cells. It has been proposed that cyclin A1 can associate with Cdk2, p39 and Cdc2 p34.
偶联与修饰
偶联
Unconjugated
抗原信息
免疫原
Recombinant Protein
Uniprot ID
化学信息
分子量Theoretical: 49 kDa.
存储&运输
储存方式Store at -20°C or -80°C for 12 months. Avoid repeated freeze-thaw cycles.
运输方式Shipping with blue ice.

计算器

  • 稀释 计算器

评论列表

4个月前
5.0
Rating icon 很棒

评论内容

Related Tags: buy Anti-Cyclin A2 Antibody (9J817) | purchase Anti-Cyclin A2 Antibody (9J817) | Anti-Cyclin A2 Antibody (9J817) cost | order Anti-Cyclin A2 Antibody (9J817) | Anti-Cyclin A2 Antibody (9J817) molecular weight