• TargetMol
    您的购物车当前为空

Anti-CXCL5 Polyclonal Antibody

一键复制产品信息
Rating icon 还可以
货号 TMAB-00502

别名 Scyb6, Scyb5, LIX, GCP-2, ENA-78, chemokine (C-X-C motif) ligand 5, AMCF-II

Anti-CXCL5 Polyclonal Antibody 是一种 Rabbit 抗体,靶向 CXCL5。Anti-CXCL5 Polyclonal Antibody 可用于 IF,IHC-Fr,IHC-P。

Anti-CXCL5 Polyclonal Antibody

Anti-CXCL5 Polyclonal Antibody

一键复制产品信息
Rating icon 还可以
货号 TMAB-00502 别名 Scyb6, Scyb5, LIX, GCP-2, ENA-78, chemokine (C-X-C motif) ligand 5, AMCF-II

Anti-CXCL5 Polyclonal Antibody 是一种 Rabbit 抗体,靶向 CXCL5。Anti-CXCL5 Polyclonal Antibody 可用于 IF,IHC-Fr,IHC-P。

规格价格库存数量
50 μL
¥ 1,170
5日内发货
100 μL
¥ 1,970
5日内发货
200 μL
¥ 2,790
5日内发货
库存状态实时更新,以官网显示为准,现货产品可直接加购物车下单
大包装 & 定制
加入购物车
TargetMol的所有产品仅用作科学研究或药证申报,不能被用于人体,我们不向个人提供产品和服务。请您遵守承诺用途,不得违反法律法规规定用于任何其他用途。
实验操作小课堂
常见问题解答
查看更多
资源下载:

产品介绍


生物活性
产品描述
Anti-CXCL5 Polyclonal Antibody is a Rabbit antibody targeting CXCL5. Anti-CXCL5 Polyclonal Antibody can be used in IF,IHC-Fr,IHC-P.
别名Scyb6, Scyb5, LIX, GCP-2, ENA-78, chemokine (C-X-C motif) ligand 5, AMCF-II
Ig Type
IgG
反应种属
Rat (predicted:Mouse)
验证活性
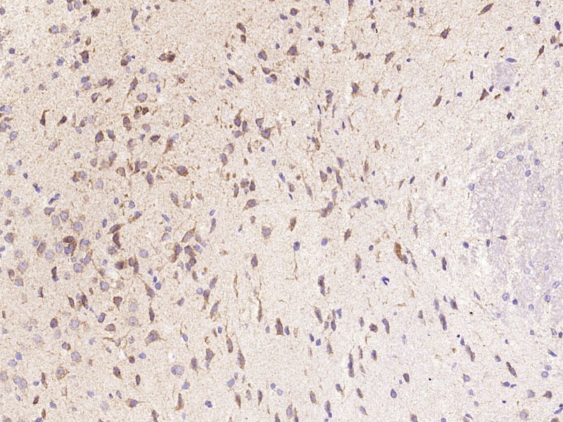
Paraformaldehyde-fixed, paraffin embedded (Rat brain); Antigen retrieval by microwave in sodium citrate buffer (pH6.0); Block endogenous peroxidase by 3% hydrogen peroxide for 30 minutes; Blocking buffer (3% BSA) at RT for 30 min; Antibody incubation with (CXCL5) Polyclonal Antibody, Unconjugated (TMAB-00502) at 1:400 overnight at 4°C, followed by conjugation to the secondary antibody (labeled with HRP) and DAB staining.
verifiedActivity
应用IFIHC-FrIHC-P
推荐剂量
IHC-P: 1:100-500; IHC-Fr: 1:100-500; IF: 1:100-500
抗体种类
Polyclonal
宿主来源Rabbit
亚细胞定位Secreted.
构建方式Polyclonal Antibody
纯化方式Protein A purified
性状Liquid
缓冲液0.01M TBS (pH7.4) with 1% BSA, 0.02% Proclin300 and 50% Glycerol.
浓度1 mg/mL
研究背景The protein encoded by this gene is an inflammatory chemokine that belongs to the CXC chemokine family. This chemokine is produced concomitantly with interleukin-8 (IL8) in response to stimulation with either interleukin-1 (IL1) or tumor necrosis factor-alpha (TNFA). This chemokine is a potent chemotaxin involved in neutrophil activation. [provided by RefSeq].
抗原信息
免疫原
KLH conjugated synthetic peptide: mouse CXCL5
抗原种属
Mouse
基因名称
CXCL5
基因ID
蛋白名称
C-X-C motif chemokine 5
Uniprot ID
研究领域
Chemokines,Alpha Chemokines (CXC)
功能
May participate in the recruitment of inflammatory cells by injured or infected tissue. GCP-2(1-78) and, more potent, GCP-2(9-78) attract neutrophils and are involved in neutrophil activation.
化学信息
分子量Theoretical: 8/9 kDa.
储存&溶解度
储存方式Store at -20°C or -80°C for 12 months. Avoid repeated freeze-thaw cycles.
运输方式Shipping with blue ice.
存储store at low temperature | store at -20°C

计算器

  • 稀释 计算器
Related Tags: buy Anti-CXCL5 Polyclonal Antibody | purchase Anti-CXCL5 Polyclonal Antibody | Anti-CXCL5 Polyclonal Antibody cost | order Anti-CXCL5 Polyclonal Antibody | Anti-CXCL5 Polyclonal Antibody molecular weight