- 全部删除
 您的购物车当前为空 您的购物车当前为空
Anti-CRLF1 Polyclonal Antibody 是一种 Rabbit 抗体,靶向 CRLF1。Anti-CRLF1 Polyclonal Antibody 可用于 IF,IHC-Fr,IHC-P。
Anti-CRLF1 Polyclonal Antibody 是一种 Rabbit 抗体,靶向 CRLF1。Anti-CRLF1 Polyclonal Antibody 可用于 IF,IHC-Fr,IHC-P。
| 规格 | 价格 | 库存 | 数量 | 
|---|---|---|---|
| 50 μL | ¥ 1,165 | 5日内发货 | |
| 100 μL | ¥ 1,960 | 5日内发货 | |
| 200 μL | ¥ 2,790 | 5日内发货 | 
| 产品描述 | Anti-CRLF1 Polyclonal Antibody is a Rabbit antibody targeting CRLF1. Anti-CRLF1 Polyclonal Antibody can be used in IF,IHC-Fr,IHC-P. | 
| 别名 | ZcytoR5, Cytokine-like factor 1 (CLF-1), Cytokine receptor-like factor 1, CRLF1 | 
| Ig Type | IgG | 
| 交叉反应 | Rat (predicted:Human,Mouse,Chicken,Dog,Pig,Cow,Sheep) | 
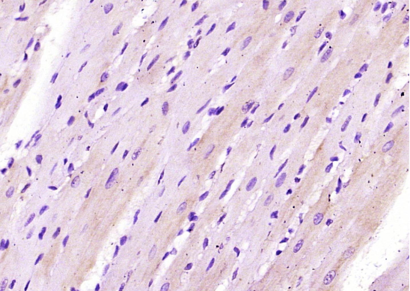
| 验证活性 | 1. Paraformaldehyde-fixed, paraffin embedded (rat skeletal muscle); Antigen retrieval by boiling in sodium citrate buffer (pH6.0) for 15 min; Block endogenous peroxidase by 3% hydrogen peroxide for 20 min; Blocking buffer (normal goat serum) at 37°C for 30 min; Antibody incubation with (CRLF1) Polyclonal Antibody, Unconjugated (TMAB-00483) at 1:400 overnight at 4°C, followed by operating according to SP Kit (Rabbit) instructionsand DAB staining. 2. Paraformaldehyde-fixed, paraffin embedded (rat heart tissue); Antigen retrieval by boiling in sodium citrate buffer (pH6.0) for 15 min; Block endogenous peroxidase by 3% hydrogen peroxide for 20 min; Blocking buffer (normal goat serum) at 37°C for 30 min; Antibody incubation with (CRLF1) Polyclonal Antibody, Unconjugated (TMAB-00483) at 1:400 overnight at 4°C, followed by operating according to SP Kit (Rabbit) instructionsand DAB staining.   | 
| 应用 | IFIHC-FrIHC-P | 
| 推荐剂量 | IHC-P: 1:100-500; IHC-Fr: 1:100-500; IF: 1:100-500 | 
| 抗体种类 | Polyclonal | 
| 宿主来源 | Rabbit | 
| 亚细胞定位 | Secreted. | 
| 组织特异性 | Highest levels of expression observed in spleen, thymus, lymph node, appendix, bone marrow, stomach, placenta, heart, thyroid and ovary. Strongly expressed also in fetal lung. | 
| 构建方式 | Polyclonal Antibody | 
| 纯化方式 | Protein A purified | 
| 性状 | Liquid | 
| 缓冲液 | 0.01M TBS (pH7.4) with 1% BSA, 0.02% Proclin300 and 50% Glycerol. | 
| 浓度 | 1 mg/mL | 
| 研究背景 | CRLF1 is a 422 amino acid secreted protein that interacts with cells expressing ciliary neurotrophic factor receptors. A cytokine receptor subunit belonging to the type I cytokine receptor family and type 3 subfamily, CRLF1 is thought to play a role in fetal nervous system development and immunity. CRLF1 is highly expressed in stomach, placenta, heart, ovary, thyroid, bone marrow, appendix, lymph node, spleen, thymus and fetal lung, and promotes neuronal cell survival. CRLF3 is a 442 amino acid protein that contains one fibronectin type-III domain. CRLF3 is expressed in lesion actinic keratosis (AK) and skin and squamous cell carcinoma (SCC), and is thought to negatively regulate the G0/G1 phase of the cell cycle. | 
| 免疫原 | KLH conjugated synthetic peptide: human CRLF1 | 
| 抗原种属 | Human | 
| 基因名称 | CRLF1 | 
| 基因ID | |
| 蛋白名称 | Cytokine receptor-like factor 1 | 
| Uniprot ID | |
| 研究领域 | Cytokines | 
| 功能 | CRLF1 (Cytokine receptor-like factor 1) is a cytokine receptor subunit. It forms a heteromeric complex with cardiotrophin-like cytokine (CLC) and the CRLF1/CLC complex is a ligand for the ciliary neurotrophic factor receptor (CNTFR). Mutations in CRLF1 are responsible for both Crisponi and cold-induced sweating syndromes. | 
| 分子量 | Theoretical: 43 kDa. | 
| 储存方式 | Store at -20°C or -80°C for 12 months. Avoid repeated freeze-thaw cycles. | 
| 运输方式 | Shipping with blue ice. | 
评论内容