购物车
  • TargetMol
    您的购物车当前为空

Anti-CRB2 Polyclonal Antibody

Synonyms: RP11-230L22.2, Crumbs-like protein 2, Crumbs homolog 2(Drosophila), Crumbs homolog 2, CRUM2, Crb2
货号 TMAB-00476 一键复制产品信息
Rating icon 还可以

Anti-CRB2 Polyclonal Antibody 是一种 Rabbit 抗体,靶向 CRB2。Anti-CRB2 Polyclonal Antibody 可用于 IF,IHC-Fr,IHC-P,WB。

Anti-CRB2 Polyclonal Antibody

一键复制产品信息
Rating icon 还可以
货号 TMAB-00476

别名 RP11-230L22.2, Crumbs-like protein 2, Crumbs homolog 2(Drosophila), Crumbs homolog 2, CRUM2, Crb2

Anti-CRB2 Polyclonal Antibody 是一种 Rabbit 抗体,靶向 CRB2。Anti-CRB2 Polyclonal Antibody 可用于 IF,IHC-Fr,IHC-P,WB。

Anti-CRB2 Polyclonal Antibody
规格价格库存数量
50 μL
¥ 1,165
5日内发货
100 μL
¥ 1,965
5日内发货
200 μL
¥ 2,790
5日内发货
库存状态实时更新,以官网显示为准,现货产品可直接加购物车下单
大包装 & 定制
加入购物车

TargetMol的所有产品仅用作科学研究或药证申报,不能被用于人体,我们不向个人提供产品和服务。请您遵守承诺用途,不得违反法律法规规定用于任何其他用途。

实验操作小课堂
常见问题解答
查看更多

资源下载:产品操作手册

产品介绍


生物活性
产品描述
Anti-CRB2 Polyclonal Antibody is a Rabbit antibody targeting CRB2. Anti-CRB2 Polyclonal Antibody can be used in IF,IHC-Fr,IHC-P,WB.
别名
RP11-230L22.2, Crumbs-like protein 2, Crumbs homolog 2(Drosophila), Crumbs homolog 2, CRUM2, Crb2
Ig Type
IgG
反应种属
Mouse,Rat (predicted:Human)
验证活性
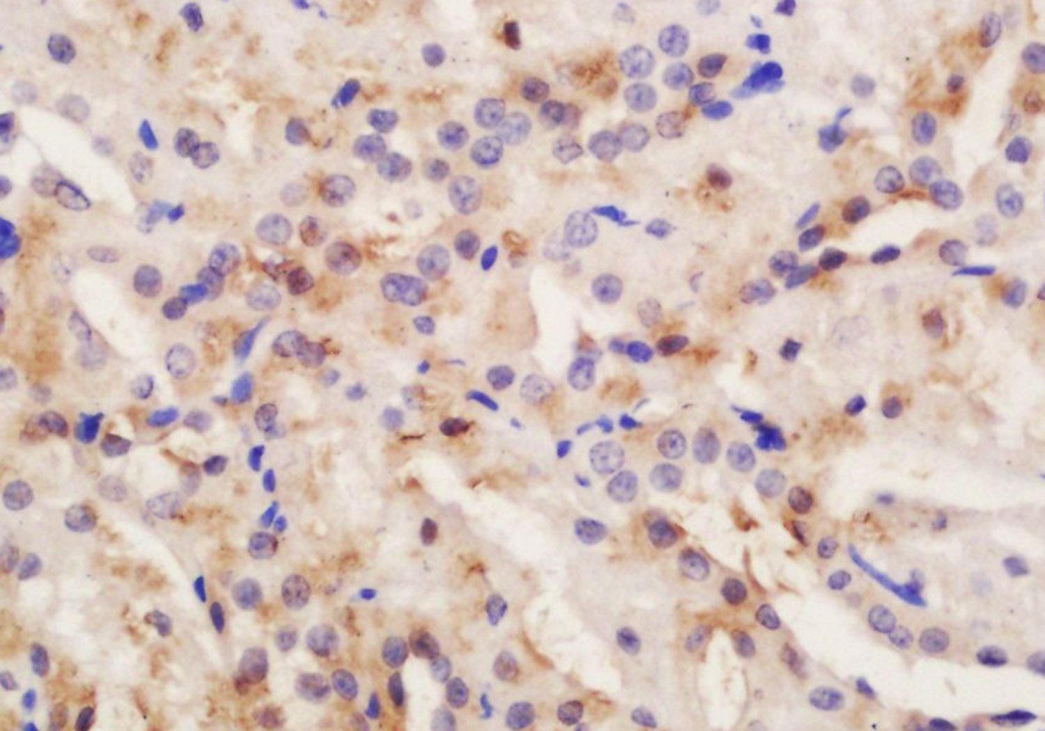
1. Paraformaldehyde-fixed, paraffin embedded (Mouse brain); Antigen retrieval by boiling in sodium citrate buffer (pH6.0) for 15 min; Block endogenous peroxidase by 3% hydrogen peroxide for 20 min; Blocking buffer (normal goat serum) at 37°C for 30 min; Antibody incubation with (CRB2) Polyclonal Antibody, Unconjugated (TMAB-00476) at 1:400 overnight at 4°C, followed by operating according to SP Kit (Rabbit) instructionsand DAB staining.
2. Sample:
Eye (Rat) Lysate at 40 μg
Primary: Anti-CRB2 (TMAB-00476) at 1/1000 dilution
Secondary: IRDye800CW Goat Anti-Rabbit IgG at 1/20000 dilution
Predicted band size: 100/123/131 kDa
Observed band size: 135 kDa
3. Sample:
Cerebrum (Mouse) Lysate at 40 μg
Primary: Anti-CRB2 (TMAB-00476) at 1/1000 dilution
Secondary: IRDye800CW Goat Anti-Rabbit IgG at 1/20000 dilution
Predicted band size: 100,123,131 kDa
Observed band size: 100,131 kDa
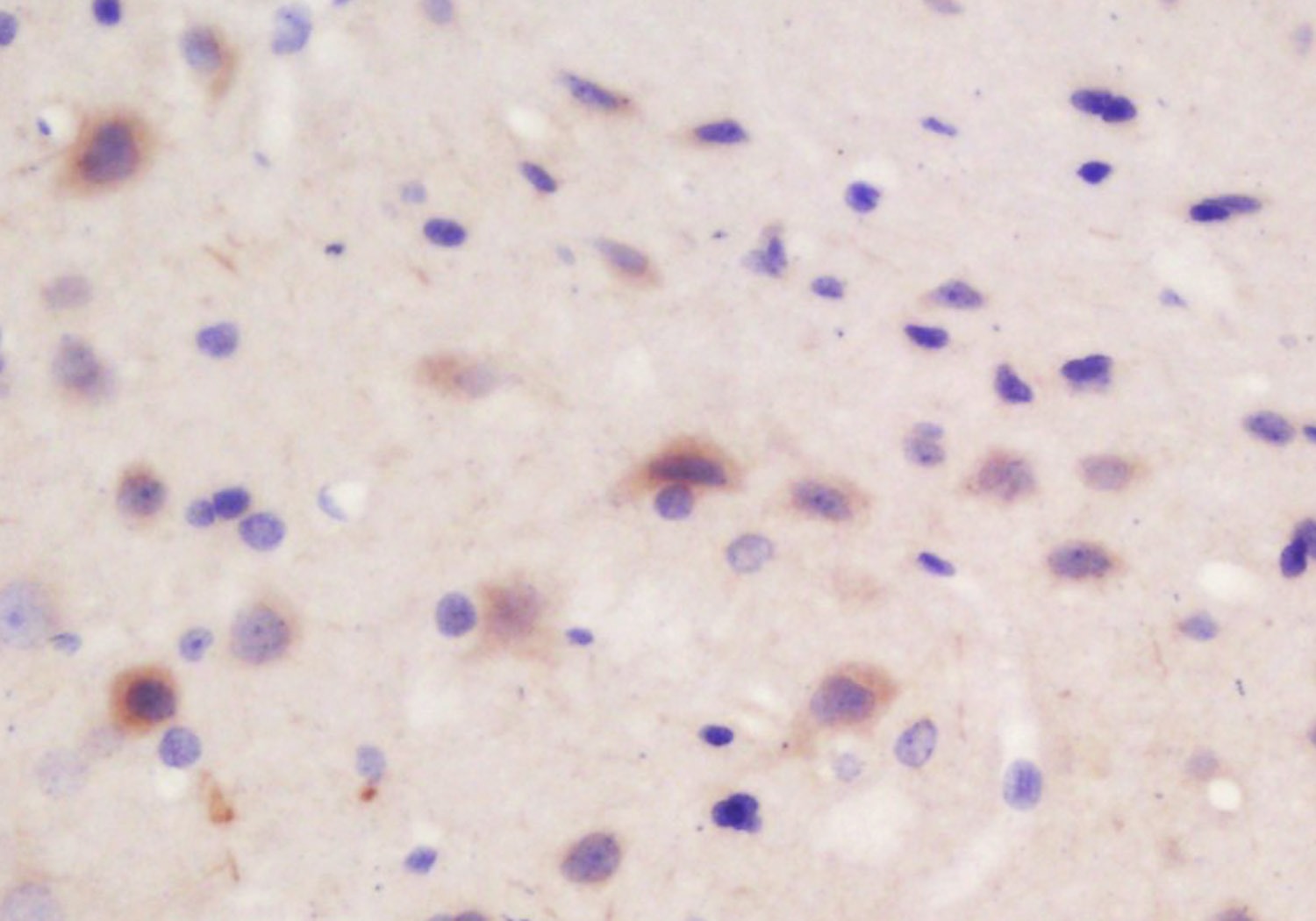
4. Tissue/cell: rat brain tissue; 4% Paraformaldehyde-fixed and paraffin-embedded;
Antigen retrieval: citrate buffer (0.01M, pH6.0), Boiling bathing for 15 min; Block endogenous peroxidase by 3% Hydrogen peroxide for 30 min; Blocking buffer (normal goat serum) at 37°C for 20 min;
Incubation: Anti-CRB2 Polyclonal Antibody, Unconjugated (TMAB-00476) 1:200, overnight at 4°C, followed by conjugation to the secondary antibody and DAb staining.
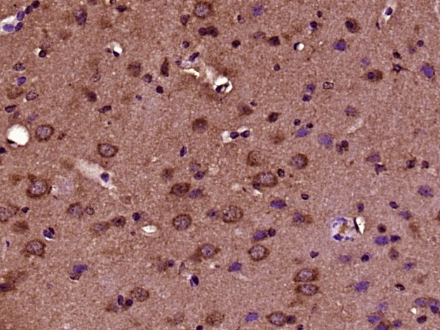
5. Tissue/cell: rat kidney tissue; 4% Paraformaldehyde-fixed and paraffin-embedded;
Antigen retrieval: citrate buffer (0.01M, pH6.0), Boiling bathing for 15 min; Block endogenous peroxidase by 3% Hydrogen peroxide for 30 min; Blocking buffer (normal goat serum) at 37°C for 20 min;
Incubation: Anti-CRB2 Polyclonal Antibody, Unconjugated (TMAB-00476) 1:200, overnight at 4°C, followed by conjugation to the secondary antibody and DAb staining.
verifiedActivityverifiedActivityverifiedActivityverifiedActivityverifiedActivity
应用IFIHC-FrIHC-PWB
推荐剂量
WB: 1:500-2000; IHC-P: 1:100-500; IHC-Fr: 1:100-500; IF: 1:100-500
抗体种类
Polyclonal
宿主来源Rabbit
亚细胞定位Secreted and Cell membrane.
组织特异性Expressed in retina, fetal eye and brain. Also expressed in kidney, ARPE-19 and RPE/choroid cell lines, and at low levels in lung, placenta, and heart.
构建方式Polyclonal Antibody
纯化方式Protein A purified
性状Liquid
缓冲液0.01M TBS (pH7.4) with 1% BSA, 0.02% Proclin300 and 50% Glycerol.
浓度1 mg/mL
研究背景CRB2 is a 1,285 amino acid protein that contains three laminin G-like domains and 15 EGF-like domains and exists as multiple alternatively spliced isoforms that are either secreted or membrane bound. Expressed in kidney and retina, as well as in fetal eye and brain, CRB2 is thought to play a role in the morphogenesis of polarized cells and may be involved in DNA repair. Defects in the gene encoding CRB2 are associated with the pathogenesis of autosomal recessive retinitis pigmentosa (RP) and Leber congenital amaurosis (LCA), the former of which refers to a group of diseases that lead to the degeneration of retinal photoreceptor cells, ultimately resulting in a loss of vision. The gene encoding CRB2 maps to human chromosome 9, which houses over 900 genes and comprises nearly 4% of the human genome.
抗原信息
免疫原
KLH conjugated synthetic peptide: human CRB2
抗原种属
Human
基因名称
CRB2
基因ID
蛋白名称
Protein crumbs homolog 2
Uniprot ID
研究领域
Other Antibodies
功能
May play a role in polarized cells morphogenesis.
化学信息
分子量Theoretical: 100, 123, 131 kDa. Actual: 100-135 kDa.
储存&溶解度
储存方式Store at -20°C or -80°C for 12 months. Avoid repeated freeze-thaw cycles.
运输方式Shipping with blue ice.

计算器

  • 稀释 计算器
  • 配液 计算器
Related Tags: buy Anti-CRB2 Polyclonal Antibody | purchase Anti-CRB2 Polyclonal Antibody | Anti-CRB2 Polyclonal Antibody cost | order Anti-CRB2 Polyclonal Antibody | Anti-CRB2 Polyclonal Antibody molecular weight