购物车
  • TargetMol
    您的购物车当前为空

Anti-CPT1A Polyclonal Antibody

Synonyms: CPTI-L, CPT1-L, CPT1A, CPT I, CPT 1, Carnitine palmitoyltransferase 1A, carnitine palmitoyl transferase 1, Carnitine O-palmitoyltransferase 1, liver isoform
货号 TMAB-00474 一键复制产品信息
Rating icon 还可以

Anti-CPT1A Polyclonal Antibody 是一种 Rabbit 抗体,靶向 HPV16 E7。Anti-CPT1A Polyclonal Antibody 可用于 IHC-P,IHC-F,ICC/IF,IF,FCM。

Anti-CPT1A Polyclonal Antibody

一键复制产品信息
Rating icon 还可以
货号 TMAB-00474

别名 CPTI-L, CPT1-L, CPT1A, CPT I, CPT 1, Carnitine palmitoyltransferase 1A, carnitine palmitoyl transferase 1, Carnitine O-palmitoyltransferase 1, liver isoform

Anti-CPT1A Polyclonal Antibody 是一种 Rabbit 抗体,靶向 HPV16 E7。Anti-CPT1A Polyclonal Antibody 可用于 IHC-P,IHC-F,ICC/IF,IF,FCM。

Anti-CPT1A Polyclonal Antibody
规格价格库存数量
50 μL
¥ 1,175
5日内发货
100 μL
¥ 1,975
5日内发货
200 μL
¥ 2,790
5日内发货
库存状态实时更新,以官网显示为准,现货产品可直接加购物车下单
大包装 & 定制
加入购物车

TargetMol的所有产品仅用作科学研究或药证申报,不能被用于人体,我们不向个人提供产品和服务。请您遵守承诺用途,不得违反法律法规规定用于任何其他用途。

实验操作小课堂
常见问题解答
查看更多

资源下载:产品操作手册

产品介绍


生物活性
产品描述
Anti-CPT1A Polyclonal Antibody is a Rabbit antibody targeting HPV16 E7. Anti-CPT1A Polyclonal Antibody can be used in IHC-P,IHC-F,ICC/IF,IF,FCM.
别名
CPTI-L, CPT1-L, CPT1A, CPT I, CPT 1, Carnitine palmitoyltransferase 1A, carnitine palmitoyl transferase 1, Carnitine O-palmitoyltransferase 1, liver isoform
Ig Type
IgG
反应种属
Human,Mouse,Rat
验证活性
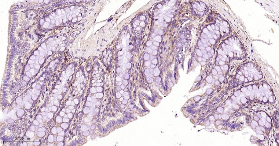
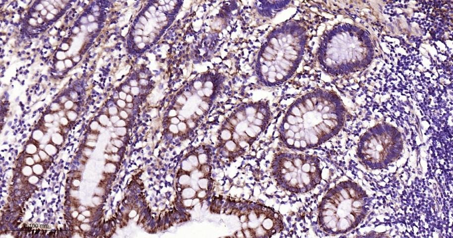
1. Paraformaldehyde-fixed, paraffin embedded Rat Colon; Antigen retrieval by boiling in sodium citrate buffer (pH6.0) for 15 min; Antibody incubation with CPT1A Polyclonal Antibody, Unconjugated (TMAB-00474) at 1:200 overnight at 4°C, followed by conjugation to the secondary antibody and DAB staining.
2. Paraformaldehyde-fixed, paraffin embedded Mouse Colon; Antigen retrieval by boiling in sodium citrate buffer (pH6.0) for 15 min; Antibody incubation with CPT1A Polyclonal Antibody, Unconjugated (TMAB-00474) at 1:200 overnight at 4°C, followed by conjugation to the secondary antibody and DAB staining.
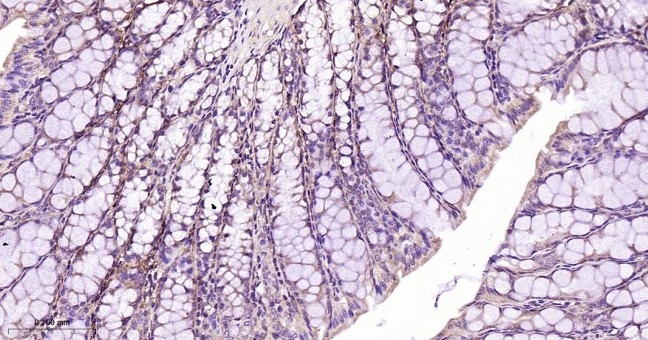
3. Paraformaldehyde-fixed, paraffin embedded Human Colon; Antigen retrieval by boiling in sodium citrate buffer (pH6.0) for 15 min; Antibody incubation with CPT1A Polyclonal Antibody, Unconjugated (TMAB-00474) at 1:200 overnight at 4°C, followed by conjugation to the secondary antibody and DAB staining.
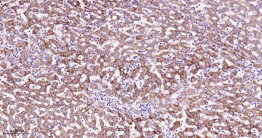
4. Paraformaldehyde-fixed, paraffin embedded Human Liver; Antigen retrieval by boiling in sodium citrate buffer (pH6.0) for 15 min; Antibody incubation with CPT1A Polyclonal Antibody, Unconjugated (TMAB-00474) at 1:200 overnight at 4°C, followed by conjugation to the secondary antibody and DAB staining.
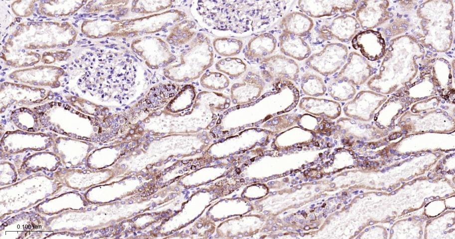
5. Paraformaldehyde-fixed, paraffin embedded Human Kidney; Antigen retrieval by boiling in sodium citrate buffer (pH6.0) for 15 min; Antibody incubation with CPT1A Polyclonal Antibody, Unconjugated (TMAB-00474) at 1:200 overnight at 4°C, followed by conjugation to the secondary antibody and DAB staining.
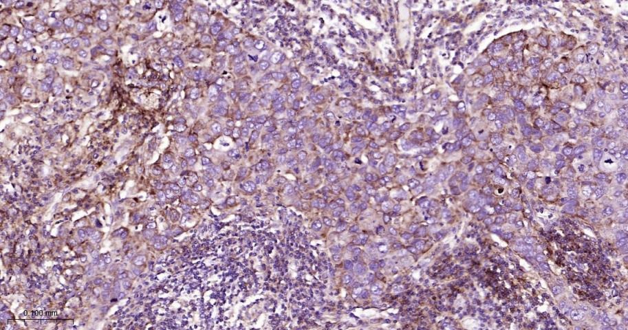
6. Paraformaldehyde-fixed, paraffin embedded Human Ovarian Cancer; Antigen retrieval by boiling in sodium citrate buffer (pH6.0) for 15 min; Antibody incubation with CPT1A Polyclonal Antibody, Unconjugated (TMAB-00474) at 1:200 overnight at 4°C, followed by conjugation to the secondary antibody and DAB staining.
7. Paraformaldehyde-fixed, paraffin embedded Human Breast Cancer; Antigen retrieval by boiling in sodium citrate buffer (pH6.0) for 15 min; Antibody incubation with CPT1A Polyclonal Antibody, Unconjugated (TMAB-00474) at 1:200 overnight at 4°C, followed by conjugation to the secondary antibody and DAB staining.
verifiedActivityverifiedActivityverifiedActivityverifiedActivityverifiedActivityverifiedActivityverifiedActivity
应用IHC-PIHC-FICC/IFIFFCM
推荐剂量
IHC-P=1:100-500,IHC-F=1:100-500,ICC/IF=1:50-200,IF=1:100-500,FCM=1:100-200
抗体种类
Polyclonal
宿主来源Rabbit
亚细胞定位Mitochondrion outer membrane; Multi-pass membrane protein.
组织特异性Strong expression in kidney and heart, and lower in liver and skeletal muscle.
构建方式Polyclonal Antibody
纯化方式Protein A purified
性状Liquid
缓冲液0.01M TBS (pH7.4) with 1% BSA, 0.02% Proclin300 and 50% Glycerol.
浓度1 mg/mL
研究背景The mitochondrial oxidation of long-chain fatty acids is nitiated by the sequential action of carnitine palmitoyltransferase I (which is located in the outer membrane and is detergent-labile) and carnitine palmitoyltransferase II (which is located in the inner membrane and is detergent-stable), together with a carnitine-acylcarnitine translocase. CPT I is the key enzyme in the carnitine-dependent transport across the mitochondrial inner membrane and its deficiency results in a decreased rate of fatty acid beta-oxidation. Alternatively spliced transcript variants encoding different isoforms have been found for this gene. [provided by RefSeq, Jul 2008].
抗原信息
免疫原
KLH conjugated synthetic peptide: human CPT1A
抗原种属
Human
基因名称
CPT1A
基因ID
蛋白名称
Carnitine O-palmitoyltransferase 1, liver isoform
Uniprot ID
研究领域
Metabolism of lipids and lipoproteins,Metabolism,Fatty acids,Lipid metabolism,Mitochondrial markers,Fatty acid oxidation,Obesity,Lipid metabolism,Mitochondrial,Mitochondria
功能
Catalyzes the transfer of the acyl group of long-chain fatty acid-CoA conjugates onto carnitine, an essential step for the mitochondrial uptake of long-chain fatty acids and their subsequent beta-oxidation in the mitochondrion. Plays an important role in triglyceride metabolism.
化学信息
分子量Theoretical: 86 kDa.
储存&溶解度
储存方式Store at -20°C or -80°C for 12 months. Avoid repeated freeze-thaw cycles.
运输方式Shipping with blue ice.

计算器

  • 稀释 计算器
  • 配液 计算器
Related Tags: buy Anti-CPT1A Polyclonal Antibody | purchase Anti-CPT1A Polyclonal Antibody | Anti-CPT1A Polyclonal Antibody cost | order Anti-CPT1A Polyclonal Antibody | Anti-CPT1A Polyclonal Antibody molecular weight