购物车
  • TargetMol
    您的购物车当前为空

Anti-Complement C3 Antibody (4V625)

Synonyms: Complement Component C3a, C3a, Anaphylatoxin
货号 TMAC-00505 一键复制产品信息
Rating icon 还可以

Anti-Complement C3 Antibody (4V625) 是一种 Rabbit 抗体,靶向 Complement C3。Anti-Complement C3 Antibody (4V625) 可用于 IHC,IP,WB。

Anti-Complement C3 Antibody (4V625)

一键复制产品信息
Rating icon 还可以
货号 TMAC-00505

别名 Complement Component C3a, C3a, Anaphylatoxin

Anti-Complement C3 Antibody (4V625) 是一种 Rabbit 抗体,靶向 Complement C3。Anti-Complement C3 Antibody (4V625) 可用于 IHC,IP,WB。

Anti-Complement C3 Antibody (4V625)
规格价格库存数量
50 μL
¥ 1,485
5日内发货
100 μL
¥ 2,480
5日内发货
库存状态实时更新,以官网显示为准,现货产品可直接加购物车下单
大包装 & 定制
加入购物车

TargetMol的所有产品仅用作科学研究或药证申报,不能被用于人体,我们不向个人提供产品和服务。请您遵守承诺用途,不得违反法律法规规定用于任何其他用途。

实验操作小课堂
常见问题解答
查看更多

资源下载:产品操作手册

产品介绍


生物活性
产品描述
Anti-Complement C3 Antibody (4V625) is a Rabbit antibody targeting Complement C3. Anti-Complement C3 Antibody (4V625) can be used in IHC,IP,WB.
别名
Complement Component C3a, C3a, Anaphylatoxin
Ig Type
IgG
克隆号
4V625
反应种属
Human
验证活性
1. Western blot analysis of C3 on SiHa cell lysates using anti-C3 antibody at 1/500 dilution.
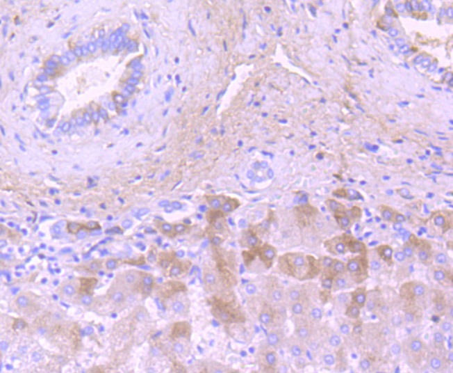
2. Immunohistochemical analysis of paraffin-embedded human liver tissue using anti-C3 antibody. Counter stained with hematoxylin.
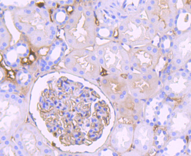
3. Immunohistochemical analysis of paraffin-embedded human kidney tissue using anti-C3 antibody. Counter stained with hematoxylin.
verifiedActivityverifiedActivityverifiedActivity
应用IHCIPWB
推荐剂量
WB: 1:500; IHC: 1:50-100; IP: 1:10-50
抗体种类
Monoclonal
宿主来源Rabbit
构建方式Recombinant Antibody
纯化方式ProA affinity purified
性状Liquid
缓冲液1*TBS (pH7.4), 1%BSA, 40%Glycerol. Preservative: 0.05% Sodium Azide.
研究背景Complement C3 precursor contains complement C3 beta chain, complement C3 alpha chain, C3a anaphylatoxin, complement C3b alpha chain, complement C3c fragment, complement C3dg fragment, complement C3g fragment, complement C3d fragment and complement C3f fragment. C3a, C4a, and C5a are potent anaphylatoxins that are released during complement activation, a system of ligand-surface protein interactions specific to cells of hematopoietic lineage that aids in the elimination of pathogens. C3a and C5a secretion correlates with pathophysiological phenotypes such as asthma and bacterial meningitis. Binding of these proteins to their respective G protein-coupled receptors (C3aR, C5aR), which are present on the surface of myeloid leukocytes, induces proinflammatory events such as cellular degranulation, smooth muscle contraction, arachidonic acid metabolism, cytokine release, leukocyte activation and cellular chemotaxis. C3aR is expressed in brain and activated B-lymphocytes whereas C5aR is prevalent on the surface of hepatocyte, lung, smooth muscle, and endothelial cells. Upon activation, C3aR and C5aR are susceptible to rapid GRK-mediated phosphorylation and clathrin-coated vesicle targeting. C5aR utilizes the Ras-Raf-ERK1/2 cascade and couples to Gi/G16 proteins.
偶联与修饰
偶联
Unconjugated
抗原信息
免疫原
Recombinant Protein
Uniprot ID
化学信息
分子量Theoretical: 187 kDa.
储存&溶解度
储存方式Store at -20°C or -80°C for 12 months. Avoid repeated freeze-thaw cycles.
运输方式Shipping with blue ice.

计算器

  • 稀释 计算器
  • 配液 计算器
Related Tags: buy Anti-Complement C3 Antibody (4V625) | purchase Anti-Complement C3 Antibody (4V625) | Anti-Complement C3 Antibody (4V625) cost | order Anti-Complement C3 Antibody (4V625) | Anti-Complement C3 Antibody (4V625) molecular weight