• TargetMol
    您的购物车当前为空

Anti-COL4A1 Antibody (8N71)

一键复制产品信息
Rating icon 还可以
货号 TMAC-00923

别名 Collagen alpha-1(IV) chain, COL4A1

Anti-COL4A1 Antibody (8N71) 是一种 Mouse 抗体,靶向 COL4A1。Anti-COL4A1 Antibody (8N71) 可用于 ICC/IF,IHC-P。

Anti-COL4A1 Antibody (8N71)

Anti-COL4A1 Antibody (8N71)

一键复制产品信息
Rating icon 还可以
货号 TMAC-00923 别名 Collagen alpha-1(IV) chain, COL4A1

Anti-COL4A1 Antibody (8N71) 是一种 Mouse 抗体,靶向 COL4A1。Anti-COL4A1 Antibody (8N71) 可用于 ICC/IF,IHC-P。

规格价格库存数量
50 μL
¥ 1,340
5日内发货
100 μL
¥ 2,190
5日内发货
库存状态实时更新,以官网显示为准,现货产品可直接加购物车下单
大包装 & 定制
加入购物车
TargetMol的所有产品仅用作科学研究或药证申报,不能被用于人体,我们不向个人提供产品和服务。请您遵守承诺用途,不得违反法律法规规定用于任何其他用途。
实验操作小课堂
常见问题解答
查看更多
资源下载:

产品介绍


生物活性
产品描述
Anti-COL4A1 Antibody (8N71) is a Mouse antibody targeting COL4A1. Anti-COL4A1 Antibody (8N71) can be used in ICC/IF,IHC-P.
别名Collagen alpha-1(IV) chain, COL4A1
克隆号
8N71
反应种属
Human,Mouse,Rat
验证活性
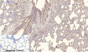
1. Immunohistochemical analysis of paraffin-embedded Human-lung tissue. 1,Collagen IV Mouse Monoclonal Antibody was diluted at 1:200 (4°C,overnight). 2, Sodium citrate pH 6.0 was used for antibody retrieval (>98°C,20min). 3,Secondary antibody was diluted at 1:200 (room tempeRature, 30min). Negative control was used by secondary antibody only.
2. Immunofluorescence analysis of human-liver tissue. 1,Collagen IV Mouse Monoclonal Antibody (red) was diluted at 1:200 (4°C,overnight). 2, Cy3 labled Secondary antibody was diluted at 1:300 (room temperature, 50min).3, Picture B: DAPI (blue) 10min. Picture A:Target. Picture B: DAPI. Picture C: merge of A+B.
verifiedActivityverifiedActivity
应用ICC/IFIHC-P
推荐剂量
IHC-P: 1:50-300; ICC/IF: 1:50-200
抗体种类
Monoclonal
宿主来源Mouse
构建方式Hybridoma Monoclonal Antibody
性状Liquid
偶联与修饰
偶联
Unconjugated
抗原信息
免疫原
A synthesized peptide: Collagen IV
化学信息
分子量Theoretical: 161 kDa.
储存&溶解度
储存方式Store at -20°C or -80°C for 12 months. Avoid repeated freeze-thaw cycles.
运输方式Shipping with blue ice.
存储store at low temperature | -20°C for 1 year

计算器

  • 稀释 计算器
Related Tags: buy Anti-COL4A1 Antibody (8N71) | purchase Anti-COL4A1 Antibody (8N71) | Anti-COL4A1 Antibody (8N71) cost | order Anti-COL4A1 Antibody (8N71) | Anti-COL4A1 Antibody (8N71) molecular weight