购物车
  • TargetMol
    您的购物车当前为空

Anti-CLEC9A Polyclonal Antibody

Synonyms: UNQ9341, HEEE9341, DNGR-1, CLEC9A, CD370, 9830005G06Rik
货号 TMAB-00450 一键复制产品信息
Rating icon 还可以

Anti-CLEC9A Polyclonal Antibody 是一种 Rabbit 抗体,靶向 CLEC9A。Anti-CLEC9A Polyclonal Antibody 可用于 IF,IHC-Fr,IHC-P,WB。

Anti-CLEC9A Polyclonal Antibody

一键复制产品信息
Rating icon 还可以
货号 TMAB-00450

别名 UNQ9341, HEEE9341, DNGR-1, CLEC9A, CD370, 9830005G06Rik

Anti-CLEC9A Polyclonal Antibody 是一种 Rabbit 抗体,靶向 CLEC9A。Anti-CLEC9A Polyclonal Antibody 可用于 IF,IHC-Fr,IHC-P,WB。

Anti-CLEC9A Polyclonal Antibody
规格价格库存数量
50 μL
¥ 1,175
5日内发货
100 μL
¥ 1,970
5日内发货
200 μL
¥ 2,780
5日内发货
库存状态实时更新,以官网显示为准,现货产品可直接加购物车下单
大包装 & 定制
加入购物车

TargetMol的所有产品仅用作科学研究或药证申报,不能被用于人体,我们不向个人提供产品和服务。请您遵守承诺用途,不得违反法律法规规定用于任何其他用途。

实验操作小课堂
常见问题解答
查看更多

选择批次:
颜色: 无色透明
性状: Liquid
资源下载: COA产品操作手册

产品介绍


生物活性
产品描述
Anti-CLEC9A Polyclonal Antibody is a Rabbit antibody targeting CLEC9A. Anti-CLEC9A Polyclonal Antibody can be used in IF,IHC-Fr,IHC-P,WB.
别名
UNQ9341, HEEE9341, DNGR-1, CLEC9A, CD370, 9830005G06Rik
Ig Type
IgG
反应种属
Mouse,Rat (predicted:Human)
验证活性
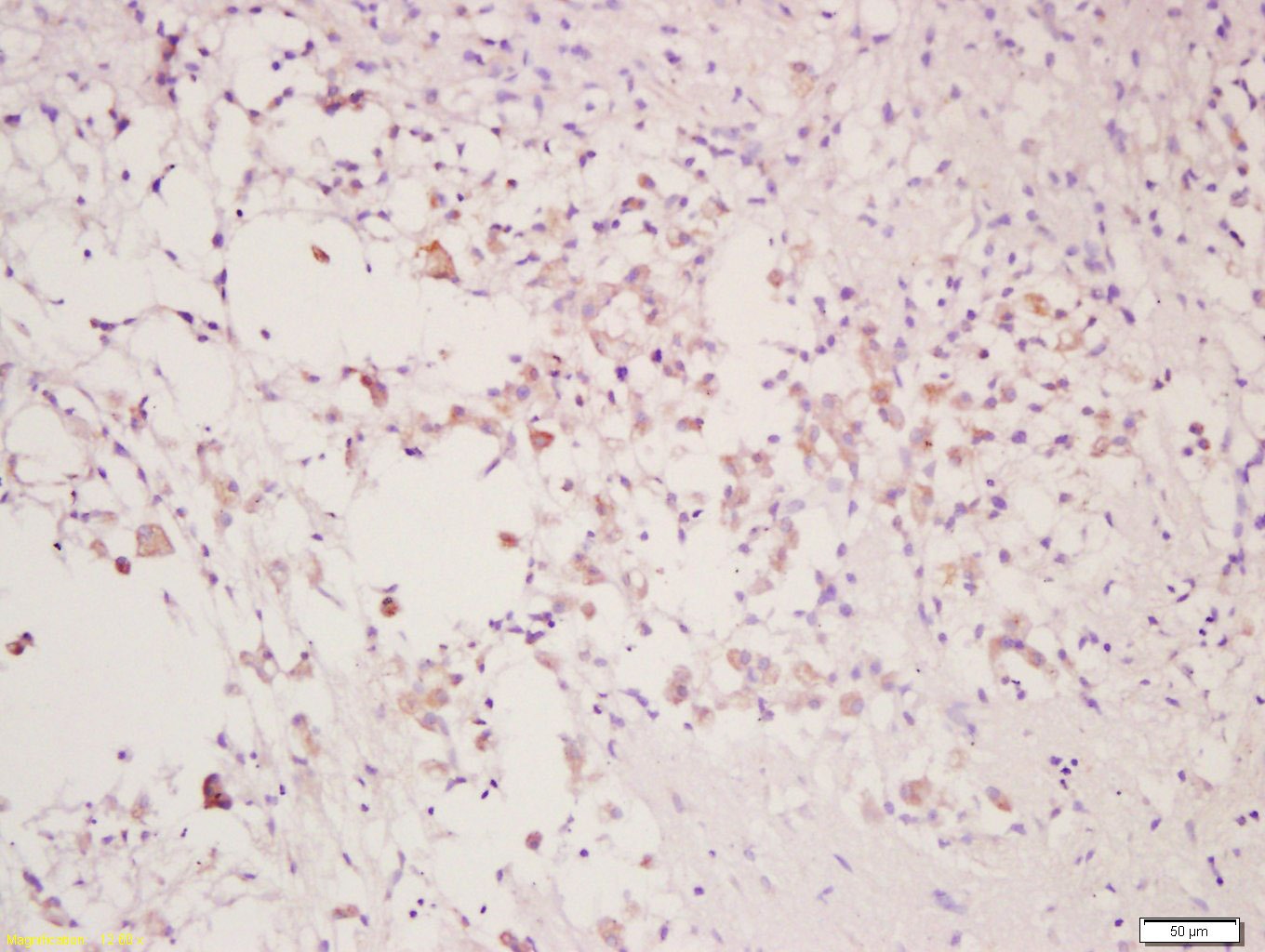
1. Tissue/cell: rat injured brain; 4% Paraformaldehyde-fixed and paraffin-embedded;
Antigen retrieval: citrate buffer (0.01M, pH6.0), Boiling bathing for 15 min; Block endogenous peroxidase by 3% Hydrogen peroxide for 30 min; Blocking buffer (normal goat serum) at 37°C for 20 min;
Incubation: Anti-CLEC9A Polyclonal Antibody, Unconjugated (TMAB-00450) 1:200, overnight at 4°C, followed by conjugation to the secondary antibody and DAb staining.
2. Sample:
Spleen (Mouse) Lysate at 40 μg
Primary: Anti-CLEC9A (TMAB-00450) at 1/1000 dilution
Secondary: IRDye800CW Goat Anti-Rabbit IgG at 1/20000 dilution
Predicted band size: 27 kDa
Observed band size: 35 kDa
verifiedActivityverifiedActivity
应用IFIHC-FrIHC-PWB
推荐剂量
WB: 1:500-2000; IHC-P: 1:100-500; IHC-Fr: 1:100-500; IF: 1:100-500
抗体种类
Polyclonal
宿主来源Rabbit
亚细胞定位Membrane.
组织特异性In peripheral blood highly restricted on the surface of BDCA31(+) dendritic cells and on a small subset of CD14(+) and CD16(-) monocytes.
构建方式Polyclonal Antibody
纯化方式Protein A purified
性状Liquid
缓冲液0.01M TBS (pH7.4) with 1% BSA, 0.02% Proclin300 and 50% Glycerol.
浓度1 mg/mL
研究背景The C-type lectin/C-type lectin-like domain (CTL/CTLD) superfamily consists of a variety of proteins that share a common protein fold and have diverse functions, including cell-cell signaling, cell adhesion, glycoprotein turnover and immune responses. CLEC-9A (C-type lectin domain family 9 member A), also known as DNGR1 (dendritic cell natural killer lectin group receptor 1), is a 241 amino acid single-pass type II membrane protein that contains one C-type lectin domain and belongs to the CTL/CTLD superfamily. Expressed in myeloid lineage cells, brain, spleen and thymus, CLEC-9A is a group V C-type lectin-like receptor (CTLR) that acts as an activation receptor. The gene encoding CLEC-9A maps to human chromosome 12p13.2 and mouse chromosome 6 F3.
抗原信息
免疫原
KLH conjugated synthetic peptide: human CLEC9A
抗原种属
Human
基因名称
CLEC9A
基因ID
蛋白名称
C-type lectin domain family 9 member A
研究领域
Myeloid Cells,Surface Molecules
功能
Functions as an endocytic receptor on a small subset of myeloid cells specialized for the uptake and processing of material from dead cells. Recognizes filamentous form of actin in association with particular actin-binding domains of cytoskeletal proteins, including spectrin, exposed when cell membranes are damaged, and mediate the cross-presentation of dead-cell associated antigens in a Syk-dependent manner.
化学信息
分子量Theoretical: 27 kDa. Actual: 35 kDa.
储存&溶解度
储存方式Store at -20°C or -80°C for 12 months. Avoid repeated freeze-thaw cycles.
运输方式Shipping with blue ice.

计算器

  • 稀释 计算器
  • 配液 计算器
Related Tags: buy Anti-CLEC9A Polyclonal Antibody | purchase Anti-CLEC9A Polyclonal Antibody | Anti-CLEC9A Polyclonal Antibody cost | order Anti-CLEC9A Polyclonal Antibody | Anti-CLEC9A Polyclonal Antibody molecular weight