购物车
  • TargetMol
    您的购物车当前为空

Anti-CLEC5A Polyclonal Antibody

Synonyms: C-type lectin domain family 5, member A
货号 TMAB-00447 一键复制产品信息
Rating icon 还可以

Anti-CLEC5A Polyclonal Antibody 是一种 Rabbit 抗体,靶向 CLEC5A。Anti-CLEC5A Polyclonal Antibody 可用于 IF,IHC-Fr,IHC-P,WB。

Anti-CLEC5A Polyclonal Antibody

一键复制产品信息
Rating icon 还可以
货号 TMAB-00447

别名 C-type lectin domain family 5, member A

Anti-CLEC5A Polyclonal Antibody 是一种 Rabbit 抗体,靶向 CLEC5A。Anti-CLEC5A Polyclonal Antibody 可用于 IF,IHC-Fr,IHC-P,WB。

Anti-CLEC5A Polyclonal Antibody
规格价格库存数量
50 μL
¥ 1,165
5日内发货
100 μL
¥ 1,960
5日内发货
200 μL
¥ 2,780
5日内发货
库存状态实时更新,以官网显示为准,现货产品可直接加购物车下单
大包装 & 定制
加入购物车

TargetMol的所有产品仅用作科学研究或药证申报,不能被用于人体,我们不向个人提供产品和服务。请您遵守承诺用途,不得违反法律法规规定用于任何其他用途。

实验操作小课堂
常见问题解答
查看更多

资源下载:产品操作手册

产品介绍


生物活性
产品描述
Anti-CLEC5A Polyclonal Antibody is a Rabbit antibody targeting CLEC5A. Anti-CLEC5A Polyclonal Antibody can be used in IF,IHC-Fr,IHC-P,WB.
别名
C-type lectin domain family 5, member A
Ig Type
IgG
反应种属
Human,Mouse,Rat (predicted:Pig,Cow,Horse,Rabbit)
验证活性
1. Sample: Spleen (Mouse) Lysate at 40 μg
Primary: Anti-CLEC5a (TMAB-00447) at 1/300 dilution
Secondary: IRDye800CW Goat Anti-Rabbit IgG at 1/20000 dilution
Predicted band size: 22 kDa
Observed band size: 22 kDa
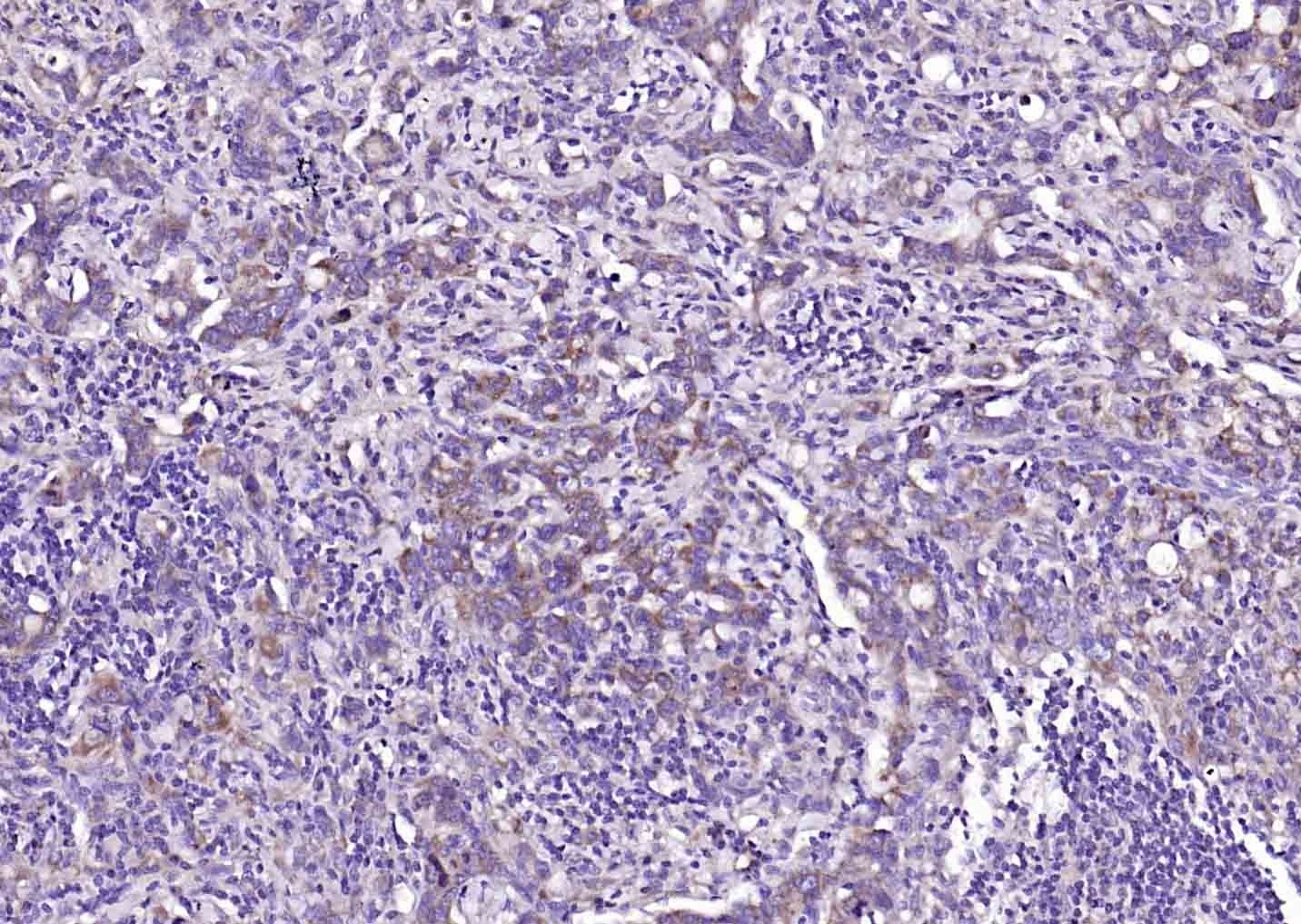
2. Paraformaldehyde-fixed, paraffin embedded (human gastric carcinoma); Antigen retrieval by boiling in sodium citrate buffer (pH6.0) for 15 min; Block endogenous peroxidase by 3% hydrogen peroxide for 20 min; Blocking buffer (normal goat serum) at 37°C for 30 min; Antibody incubation with (CLEC5A) Polyclonal Antibody, Unconjugated (TMAB-00447) at 1:200 overnight at 4°C, followed by operating according to SP Kit (Rabbit) instructionsand DAB staining.
3. Sample:
Lane 1: Mouse Spinal cord tissue lysates
Lane 2: Rat Spinal cord tissue lysates
Primary: Anti-CLEC5A (TMAB-00447) at 1/1000 dilution
Secondary: IRDye800CW Goat Anti-Rabbit IgG at 1/20000 dilution
Predicted band size: 22 kDa
Observed band size: 37 kDa
verifiedActivityverifiedActivityverifiedActivity
应用IFIHC-FrIHC-PWB
推荐剂量
WB: 1:500-2000; IHC-P: 1:100-500; IHC-Fr: 1:100-500; IF: 1:100-500
抗体种类
Polyclonal
宿主来源Rabbit
亚细胞定位Cell membrane; Single-pass type II membrane protein.
组织特异性Expressed in peripheral blood monocytes and in the monocyte/macrophage cell lines U937 and MonoMac6, but not in cell lines of other origins. Expression is down-regulated when monocytes differentiate into dendritic cells.
构建方式Polyclonal Antibody
纯化方式Protein A purified
性状Liquid
缓冲液0.01M TBS (pH7.4) with 1% BSA, 0.02% Proclin300 and 50% Glycerol.
浓度1 mg/mL
研究背景This gene encodes a member of the C-type lectin/C-type lectin-like domain (CTL/CTLD) superfamily. Members of this family share a common protein fold and have diverse functions, such as cell adhesion, cell-cell signalling, glycoprotein turnover, and roles in inflammation and immune response. The encoded type II transmembrane protein interacts with dnax-activation protein 12 and may play a role in cell activation. Alternative splice variants have been described but their full-length sequence has not been determined. [provided by RefSeq].
抗原信息
免疫原
KLH conjugated synthetic peptide: mouse CLEC5A
抗原种属
Mouse
基因名称
CLEC5A
基因ID
蛋白名称
C-type lectin domain family 5 member A
Uniprot ID
研究领域
Antiviral Signaling,Macrophage / Inflamm.,Host Virus Interaction
功能
Functions as a positive regulator of osteoclastogenesis. Cell surface receptor that signals via TYROBP. Regulates inflammatory responses. Acts as a key regulator of synovial injury and bone erosion during autoimmune joint inflammation. Critical macrophage receptor for dengue virus serotypes 1-4. The binding of dengue virus to CLEC5A triggers signaling through phosphylation of TYROBP, this interaction does not result in viral entry but stimulates proinflammatory cytokine release.
化学信息
分子量Theoretical: 22 kDa. Actual: 25-37 kDa.
储存&溶解度
储存方式Store at -20°C or -80°C for 12 months. Avoid repeated freeze-thaw cycles.
运输方式Shipping with blue ice.

计算器

  • 稀释 计算器
  • 配液 计算器
Related Tags: buy Anti-CLEC5A Polyclonal Antibody | purchase Anti-CLEC5A Polyclonal Antibody | Anti-CLEC5A Polyclonal Antibody cost | order Anti-CLEC5A Polyclonal Antibody | Anti-CLEC5A Polyclonal Antibody molecular weight