购物车
  • TargetMol
    您的购物车当前为空

Anti-CILP Polyclonal Antibody

Synonyms: CILP-1, CILP, Cartilage intermediate-layer protein, Cartilage intermediate layer protein 1
货号 TMAB-00434 一键复制产品信息
Rating icon 还可以

Anti-CILP Polyclonal Antibody 是一种 Rabbit 抗体,靶向 CILP。Anti-CILP Polyclonal Antibody 可用于 IF,IHC-Fr,IHC-P,WB。

Anti-CILP Polyclonal Antibody

一键复制产品信息
Rating icon 还可以
货号 TMAB-00434

别名 CILP-1, CILP, Cartilage intermediate-layer protein, Cartilage intermediate layer protein 1

Anti-CILP Polyclonal Antibody 是一种 Rabbit 抗体,靶向 CILP。Anti-CILP Polyclonal Antibody 可用于 IF,IHC-Fr,IHC-P,WB。

Anti-CILP Polyclonal Antibody
规格价格库存数量
50 μL
¥ 1,165
5日内发货
100 μL
¥ 1,970
5日内发货
200 μL
¥ 2,785
5日内发货
库存状态实时更新,以官网显示为准,现货产品可直接加购物车下单
大包装 & 定制
加入购物车

TargetMol的所有产品仅用作科学研究或药证申报,不能被用于人体,我们不向个人提供产品和服务。请您遵守承诺用途,不得违反法律法规规定用于任何其他用途。

实验操作小课堂
常见问题解答
查看更多

资源下载:产品操作手册

产品介绍


生物活性
产品描述
Anti-CILP Polyclonal Antibody is a Rabbit antibody targeting CILP. Anti-CILP Polyclonal Antibody can be used in IF,IHC-Fr,IHC-P,WB.
别名
CILP-1, CILP, Cartilage intermediate-layer protein, Cartilage intermediate layer protein 1
Ig Type
IgG
反应种属
Human,Mouse,Rat (predicted:Cow,Horse,Sheep)
验证活性
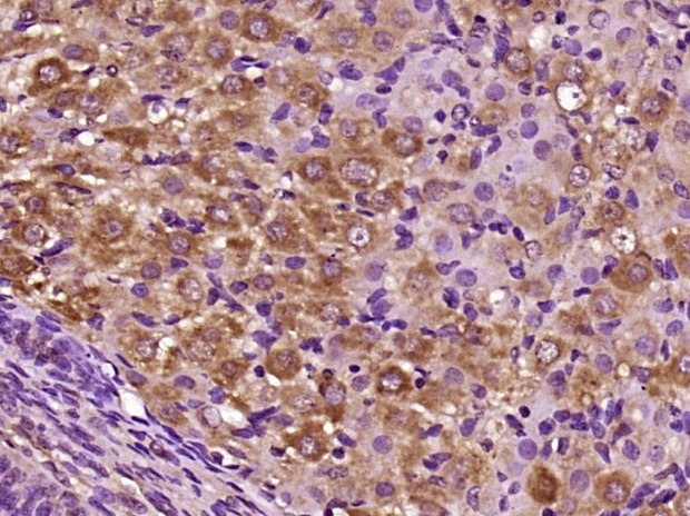
1. Paraformaldehyde-fixed, paraffin embedded (Rat ovary); Antigen retrieval by boiling in sodium citrate buffer (pH6.0) for 15 min; Block endogenous peroxidase by 3% hydrogen peroxide for 20 min; Blocking buffer (normal goat serum) at 37°C for 30 min; Antibody incubation with (CILP) Polyclonal Antibody, Unconjugated (TMAB-00434) at 1:400 overnight at 4°C, followed by operating according to SP Kit (Rabbit) instructionsand DAB staining.
2. Sample:
MCF-7 Cell (Human) Lysate at 30 μg
Primary: Anti-CILP (TMAB-00434) at 1/300 dilution
Secondary: IRDye800CW Goat Anti-Rabbit IgG at 1/20000 dilution
Predicted band size: 132 kDa
Observed band size: 132 kDa
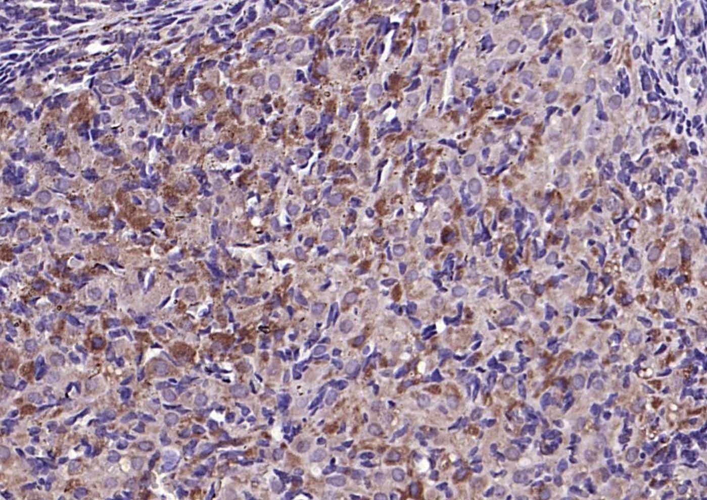
3. Paraformaldehyde-fixed, paraffin embedded (mouse ovary); Antigen retrieval by boiling in sodium citrate buffer (pH6.0) for 15 min; Block endogenous peroxidase by 3% hydrogen peroxide for 20 min; Blocking buffer (normal goat serum) at 37°C for 30 min; Incubation with (CILP) Polyclonal Antibody, Unconjugated (TMAB-00434) at 1:200 overnight at 4°C, followed by operating according to SP Kit (Rabbit) instructionsand DAB staining.
verifiedActivityverifiedActivityverifiedActivity
应用IFIHC-FrIHC-PWB
推荐剂量
WB: 1:500-2000; IHC-P: 1:100-500; IHC-Fr: 1:100-500; IF: 1:100-500
抗体种类
Polyclonal
宿主来源Rabbit
亚细胞定位Secreted > extracellular space > extracellular matrix.
组织特异性Specifically expressed in cartilage. Localizes in the intermediates layer of articular cartilage but neither in the superficial nor in the deepest regions. Specifically and highly expressed in intervertebral disk tissue. Expression increases with aging in
构建方式Polyclonal Antibody
纯化方式Protein A purified
性状Liquid
缓冲液0.01M TBS (pH7.4) with 1% BSA, 0.02% Proclin300 and 50% Glycerol.
浓度1 mg/mL
研究背景Major alterations in the composition of the cartilage extracellular matrix occur in joint disease, such as osteoarthrosis. This gene encodes the cartilage intermediate layer protein (CILP), which increases in early osteoarthrosis cartilage. The encoded protein was thought to encode a protein precursor for two different proteins; an N-terminal CILP and a C-terminal homolog of NTPPHase, however, later studies identified no nucleotide pyrophosphatase phosphodiesterase (NPP) activity. The full-length and the N-terminal domain of this protein was shown to function as an IGF-1 antagonist. An allelic variant of this gene has been associated with lumbar disc disease. [provided by RefSeq, Sep 2010]
抗原信息
免疫原
KLH conjugated synthetic peptide: human CILP
抗原种属
Human
基因名称
CILP
基因ID
蛋白名称
Cartilage intermediate layer protein 1
Uniprot ID
研究领域
Other ECM Proteins,Autoimmune
功能
Probably plays a role in cartilage scaffolding. May act by antagonizing TGF-beta1 (TGFB1) and IGF1 functions. Has the ability to suppress IGF1-induced proliferation and sulfated proteoglycan synthesis, and inhibits ligand-induced IGF1R autophosphorylation. May inhibit TGFB1-mediated induction of cartilage matrix genes via its interaction with TGFB1. Overexpression may lead to impair chondrocyte growth and matrix repair and indirectly promote inorganic pyrophosphate (PPi) supersaturation in aging and osteoarthritis cartilage.
化学信息
分子量Theoretical: 132 kDa. Actual: 132 kDa.
储存&溶解度
储存方式Store at -20°C or -80°C for 12 months. Avoid repeated freeze-thaw cycles.
运输方式Shipping with blue ice.

计算器

  • 稀释 计算器
  • 配液 计算器

关键词

Related Tags: buy Anti-CILP Polyclonal Antibody | purchase Anti-CILP Polyclonal Antibody | Anti-CILP Polyclonal Antibody cost | order Anti-CILP Polyclonal Antibody | Anti-CILP Polyclonal Antibody molecular weight