• TargetMol
    您的购物车当前为空

Anti-CEACAM5 Antibody (1I250)

一键复制产品信息
Rating icon 还可以
货号 TMAC-00558

别名 CEA, CD66e, carcinoembryonic antigen-related cell adhesion molecule 5

Anti-CEACAM5 Antibody (1I250) 是一种 Rabbit 抗体,靶向 CEACAM5。Anti-CEACAM5 Antibody (1I250) 可用于 ICC/IF,IHC,WB。

Anti-CEACAM5 Antibody (1I250)

Anti-CEACAM5 Antibody (1I250)

一键复制产品信息
Rating icon 还可以
货号 TMAC-00558 别名 CEA, CD66e, carcinoembryonic antigen-related cell adhesion molecule 5

Anti-CEACAM5 Antibody (1I250) 是一种 Rabbit 抗体,靶向 CEACAM5。Anti-CEACAM5 Antibody (1I250) 可用于 ICC/IF,IHC,WB。

规格价格库存数量
50 μL
¥ 1,495
5日内发货
100 μL
¥ 2,490
5日内发货
库存状态实时更新,以官网显示为准,现货产品可直接加购物车下单
大包装 & 定制
加入购物车
TargetMol的所有产品仅用作科学研究或药证申报,不能被用于人体,我们不向个人提供产品和服务。请您遵守承诺用途,不得违反法律法规规定用于任何其他用途。
实验操作小课堂
常见问题解答
查看更多
资源下载:

产品介绍


生物活性
产品描述
Anti-CEACAM5 Antibody (1I250) is a Rabbit antibody targeting CEACAM5. Anti-CEACAM5 Antibody (1I250) can be used in ICC/IF,IHC,WB.
别名CEA, CD66e, carcinoembryonic antigen-related cell adhesion molecule 5
Ig Type
IgG
克隆号
1I250
反应种属
Human
验证活性
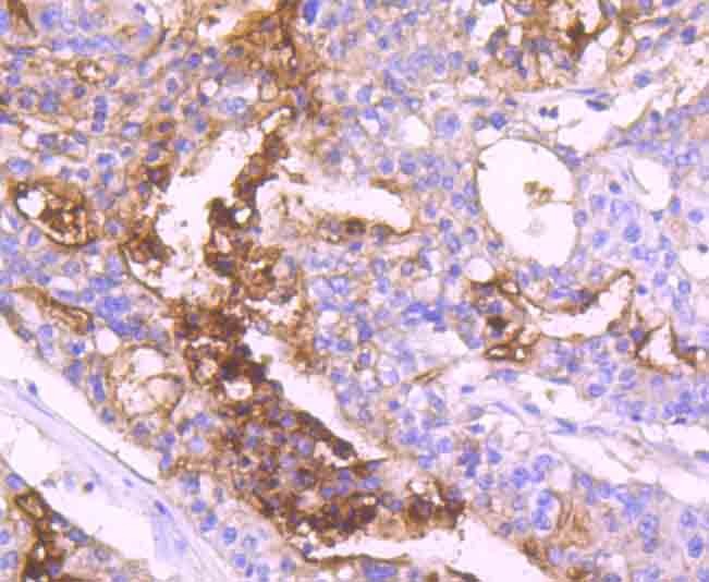
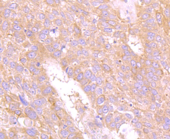
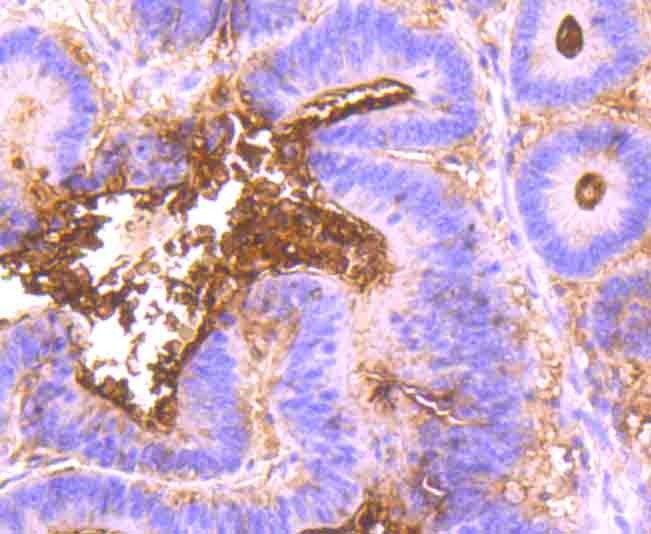
1. Immunohistochemical analysis of paraffin-embedded human lung cancer tissue using anti-Carcino Embryonic Antigen CEA (CD66e) antibody. Counter stained with hematoxylin.
2. Immunohistochemical analysis of paraffin-embedded human stomach cancer tissue using anti-Carcino Embryonic Antigen CEA (CD66e) antibody. Counter stained with hematoxylin.
3. Immunohistochemical analysis of paraffin-embedded human colon cancer tissue using anti-Carcino Embryonic Antigen CEA (CD66e) antibody. Counter stained with hematoxylin.
4. ICC staining Carcino Embryonic Antigen CEA (CD66e) in HUVEC cells (green). The nuclear counter stain is DAPI (blue). Cells were fixed in paraformaldehyde, permeabilised with 0.25% Triton X100/PBS.
5. ICC staining Carcino Embryonic Antigen CEA (CD66e) in MCF-7 cells (green). The nuclear counter stain is DAPI (blue). Cells were fixed in paraformaldehyde, permeabilised with 0.25% Triton X100/PBS.
verifiedActivityverifiedActivityverifiedActivityverifiedActivityverifiedActivity
应用ICC/IFIHCWB
推荐剂量
WB: 1:500; IHC: 1:50-200; ICC/IF: 1:50-200
抗体种类
Monoclonal
宿主来源Rabbit
构建方式Recombinant Antibody
纯化方式ProA affinity purified
性状Liquid
缓冲液1*TBS (pH7.4), 1%BSA, 40%Glycerol. Preservative: 0.05% Sodium Azide.
研究背景The CD66 (carcinoembryonic antigen, CEA, biliary glycoprotein I, BGP-1, CEACAM) immunoglobulin superfamily of genes encode cell adhesion proteins, which are expressed at higher levels in tumorous tissues than in normal tissues. The human CD66 gene family is a diverse set of glycoproteins of epithelial and hematopoietic lineage that comprises 29 genes, which map to chromosome position 19q13.1-q13.2. CD66A, CD66B, CD66C, CD66D, CD66E and CD66F are the best characterized CD66 antigens, and CD66A-D expression upregulates on the surface of granulocytes upon stimulation. Certain CD66 family members mediate homotypic and heterotypic intercellular adhesion events. CD66E, also known as CEA, is a well known tumor marker and a heavily glycosylated GPI-linked cell surface molecule.
偶联与修饰
偶联
Unconjugated
抗原信息
免疫原
Recombinant Protein
Uniprot ID
化学信息
分子量Theoretical: 76 kDa.
储存&溶解度
储存方式Store at -20°C or -80°C for 12 months. Avoid repeated freeze-thaw cycles.
运输方式Shipping with blue ice.
存储store at low temperature | -20°C for 1 year

计算器

  • 稀释 计算器
Related Tags: buy Anti-CEACAM5 Antibody (1I250) | purchase Anti-CEACAM5 Antibody (1I250) | Anti-CEACAM5 Antibody (1I250) cost | order Anti-CEACAM5 Antibody (1I250) | Anti-CEACAM5 Antibody (1I250) molecular weight