• TargetMol
    您的购物车当前为空

Anti-CDK9 Antibody (1M957)

一键复制产品信息
Rating icon 还可以
货号 TMAC-00804

别名 Tat associated kinase complex catalytic subunit, TAK, Serine/threonine-protein kinase PITALRE, PITALRE, Cyclin-dependent kinase 9, Cyclin dependent kinase 9, CTK1, Cell division protein kinase 9, Cell division cycle 2-like protein kinase 4, CDK9_HUMAN, Cdk9, CDK 9, CDC2L4, CDC2 related kinase, C-2K

Anti-CDK9 Antibody (1M957) 是一种 Rabbit 抗体,靶向 CDK9。Anti-CDK9 Antibody (1M957) 可用于 ICC/IF,IHC,IP,WB。

Anti-CDK9 Antibody (1M957)

Anti-CDK9 Antibody (1M957)

一键复制产品信息
Rating icon 还可以
货号 TMAC-00804 别名 Tat associated kinase complex catalytic subunit, TAK, Serine/threonine-protein kinase PITALRE, PITALRE, Cyclin-dependent kinase 9, Cyclin dependent kinase 9, CTK1, Cell division protein kinase 9, Cell division cycle 2-like protein kinase 4, CDK9_HUMAN, Cdk9, CDK 9, CDC2L4, CDC2 related kinase, C-2K

Anti-CDK9 Antibody (1M957) 是一种 Rabbit 抗体,靶向 CDK9。Anti-CDK9 Antibody (1M957) 可用于 ICC/IF,IHC,IP,WB。

规格价格库存数量
50 μL
¥ 1,485
5日内发货
100 μL
¥ 2,480
5日内发货
库存状态实时更新,以官网显示为准,现货产品可直接加购物车下单
大包装 & 定制
加入购物车
TargetMol的所有产品仅用作科学研究或药证申报,不能被用于人体,我们不向个人提供产品和服务。请您遵守承诺用途,不得违反法律法规规定用于任何其他用途。
实验操作小课堂
常见问题解答
查看更多
资源下载:

产品介绍


生物活性
产品描述
Anti-CDK9 Antibody (1M957) is a Rabbit antibody targeting CDK9. Anti-CDK9 Antibody (1M957) can be used in ICC/IF,IHC,IP,WB.
别名Tat associated kinase complex catalytic subunit, TAK, Serine/threonine-protein kinase PITALRE, PITALRE, Cyclin-dependent kinase 9, Cyclin dependent kinase 9, CTK1, Cell division protein kinase 9, Cell division cycle 2-like protein kinase 4, CDK9_HUMAN, Cdk9, CDK 9, CDC2L4, CDC2 related kinase, C-2K
Ig Type
IgG
克隆号
1M957
反应种属
Human
验证活性
1. Western blot analysis of Cdk9 on different lysates using anti-Cdk9 antibody at 1/1,000 dilution. Positive control: Lane 1: Hela, Lane 2: Jurkat, Lane 3: A431.
2. Immunohistochemical analysis of paraffin-embedded human lung cancer tissue using anti-Cdk9 antibody. Counter stained with hematoxylin.
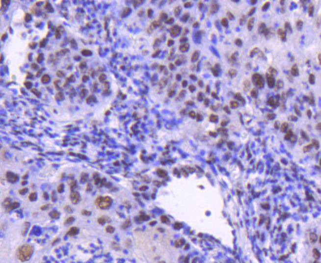
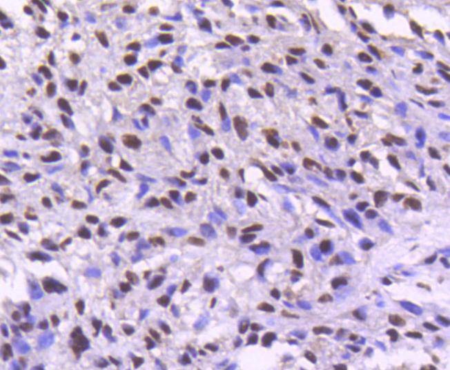
3. Immunohistochemical analysis of paraffin-embedded human breast carcinoma tissue using anti-Cdk9 antibody. Counter stained with hematoxylin.
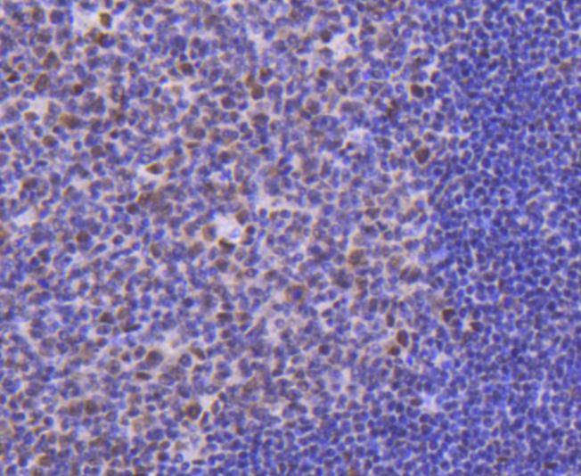
4. Immunohistochemical analysis of paraffin-embedded human tonsil tissue using anti-Cdk9 antibody. Counter stained with hematoxylin.
5. Immunohistochemical analysis of paraffin-embedded human colon cancer tissue using anti-Cdk9 antibody. Counter stained with hematoxylin.
6. ICC staining Cdk9 in Hela cells (green). The nuclear counter stain is DAPI (blue). Cells were fixed in paraformaldehyde, permeabilised with 0.25% Triton X100/PBS.
7. ICC staining Cdk9 in A549 cells (green). The nuclear counter stain is DAPI (blue). Cells were fixed in paraformaldehyde, permeabilised with 0.25% Triton X100/PBS.
8. ICC staining Cdk9 in SW480 cells (green). The nuclear counter stain is DAPI (blue). Cells were fixed in paraformaldehyde, permeabilised with 0.25% Triton X100/PBS.
verifiedActivityverifiedActivityverifiedActivityverifiedActivityverifiedActivityverifiedActivityverifiedActivityverifiedActivity
应用ICC/IFIHCIPWB
推荐剂量
WB: 1:1000; IHC: 1:50-200; ICC/IF: 1:50-200
抗体种类
Monoclonal
宿主来源Rabbit
构建方式Recombinant Antibody
纯化方式ProA affinity purified
性状Liquid
缓冲液1*TBS (pH7.4), 1%BSA, 40%Glycerol. Preservative: 0.05% Sodium Azide.
研究背景A family of proteins designated cyclin dependent kinases (Cdks) are critical regulators of cell cycle progression. Cdk family members, including Cdc2 p34, Cdk1?C9, PISSLRE, KKIALRE, PITSLRE, and PCTAIRE 1?C3 are constitutively expressed throughout the cell cycle. Cdc2 p34 activity peaks during mitosis and Cdk2 activity rises in late G1 or early S phase. Cdk4 and Cdk6 are critically involved in G1 to S phase progression. The functions of Cdk3, Cdk5b, PISSLRE, KKIALRE and PCTAIRE 1?C3 are less well defined. Cdk9 (also designated PITALRE) has been shown to specifically phosphorylate the retinoblastoma protein. The more recently cloned Drosophila protein, P-TEFb, is thought to be the homolog of mammalian PITALRE. P-TEFb has been shown to be required for HIV Tat transcriptional activation.
偶联与修饰
偶联
Unconjugated
抗原信息
免疫原
Recombinant Protein
Uniprot ID
化学信息
分子量Theoretical: 43/37 kDa.
储存&溶解度
储存方式Store at -20°C or -80°C for 12 months. Avoid repeated freeze-thaw cycles.
运输方式Shipping with blue ice.
存储store at low temperature | -20°C for 1 year

计算器

  • 稀释 计算器
Related Tags: buy Anti-CDK9 Antibody (1M957) | purchase Anti-CDK9 Antibody (1M957) | Anti-CDK9 Antibody (1M957) cost | order Anti-CDK9 Antibody (1M957) | Anti-CDK9 Antibody (1M957) molecular weight