• TargetMol
    您的购物车当前为空

Anti-CDC5L Antibody (8R159)

一键复制产品信息
Rating icon 还可以
货号 TMAC-00773

别名 Pombe Cdc5 related protein, PCDC5RP, KIAA0432, dJ319D22.1, Cell division cycle 5-like protein, Cell division cycle 5 S. pombe homolog, CEF1, CDC5-LIKE, Cdc5 related protein, CDC5 cell division cycle 5-like (S. pombe), CDC5

Anti-CDC5L Antibody (8R159) 是一种 Rabbit 抗体,靶向 CDC5L。Anti-CDC5L Antibody (8R159) 可用于 ICC/IF,IHC,WB。

Anti-CDC5L Antibody (8R159)

Anti-CDC5L Antibody (8R159)

一键复制产品信息
Rating icon 还可以
货号 TMAC-00773 别名 Pombe Cdc5 related protein, PCDC5RP, KIAA0432, dJ319D22.1, Cell division cycle 5-like protein, Cell division cycle 5 S. pombe homolog, CEF1, CDC5-LIKE, Cdc5 related protein, CDC5 cell division cycle 5-like (S. pombe), CDC5

Anti-CDC5L Antibody (8R159) 是一种 Rabbit 抗体,靶向 CDC5L。Anti-CDC5L Antibody (8R159) 可用于 ICC/IF,IHC,WB。

规格价格库存数量
50 μL
¥ 1,490
5日内发货
100 μL
¥ 2,480
5日内发货
库存状态实时更新,以官网显示为准,现货产品可直接加购物车下单
大包装 & 定制
加入购物车
TargetMol的所有产品仅用作科学研究或药证申报,不能被用于人体,我们不向个人提供产品和服务。请您遵守承诺用途,不得违反法律法规规定用于任何其他用途。
实验操作小课堂
常见问题解答
查看更多
资源下载:

产品介绍


生物活性
产品描述
Anti-CDC5L Antibody (8R159) is a Rabbit antibody targeting CDC5L. Anti-CDC5L Antibody (8R159) can be used in ICC/IF,IHC,WB.
别名Pombe Cdc5 related protein, PCDC5RP, KIAA0432, dJ319D22.1, Cell division cycle 5-like protein, Cell division cycle 5 S. pombe homolog, CEF1, CDC5-LIKE, Cdc5 related protein, CDC5 cell division cycle 5-like (S. pombe), CDC5
Ig Type
IgG
克隆号
8R159
反应种属
Human,Mouse,Rat
验证活性
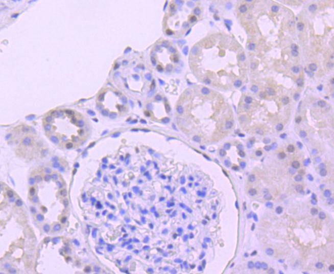
1. Immunohistochemical analysis of paraffin-embedded mouse kidney tissue using anti-CDC5L antibody. Counter stained with hematoxylin.
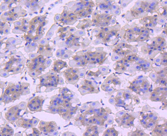
2. Immunohistochemical analysis of paraffin-embedded mouse stomach tissue using anti-CDC5L antibody. Counter stained with hematoxylin.
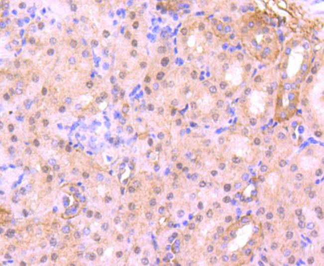
3. Immunohistochemical analysis of paraffin-embedded human kidney tissue using anti-CDC5L antibody. Counter stained with hematoxylin.
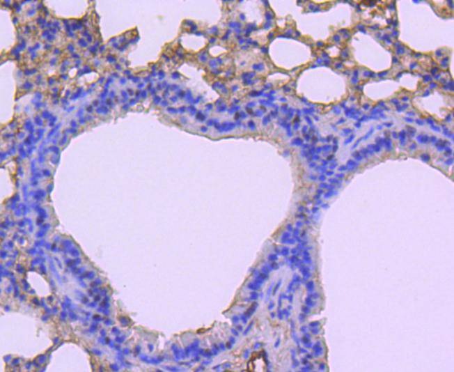
4. Immunohistochemical analysis of paraffin-embedded mouse lung tissue using anti-CDC5L antibody. Counter stained with hematoxylin.
5. ICC staining CDC5L in Hela cells (green). The nuclear counter stain is DAPI (blue). Cells were fixed in paraformaldehyde, permeabilised with 0.25% Triton X100/PBS.
6. ICC staining CDC5L in NIH/3T3 cells (green). The nuclear counter stain is DAPI (blue). Cells were fixed in paraformaldehyde, permeabilised with 0.25% Triton X100/PBS.
7. ICC staining CDC5L in 293T cells (green). The nuclear counter stain is DAPI (blue). Cells were fixed in paraformaldehyde, permeabilised with 0.25% Triton X100/PBS.
8. ICC staining CDC5L in HepG2 cells (green). The nuclear counter stain is DAPI (blue). Cells were fixed in paraformaldehyde, permeabilised with 0.25% Triton X100/PBS.
9. ICC staining CDC5L in SH-SY-5Y cells (green). The nuclear counter stain is DAPI (blue). Cells were fixed in paraformaldehyde, permeabilised with 0.25% Triton X100/PBS.
verifiedActivityverifiedActivityverifiedActivityverifiedActivityverifiedActivityverifiedActivityverifiedActivityverifiedActivityverifiedActivity
应用ICC/IFIHCWB
推荐剂量
WB: 1:1000; IHC: 1:50-200; ICC/IF: 1:50-200
抗体种类
Monoclonal
宿主来源Rabbit
构建方式Recombinant Antibody
纯化方式ProA affinity purified
性状Liquid
缓冲液1*TBS (pH7.4), 1%BSA, 40%Glycerol. Preservative: 0.05% Sodium Azide.
研究背景Cdc5L (Cell division cycle 5-like protein, Pombe Cdc5-related protein) is a DNA-binding protein encoded by the human gene CDC5L. Cdc5L contains 2 HTH myb-type DNA-binding domains and may shuttle between cytoplasm and nucleus. It is involved in cell cycle control and may act as a transcription activator. CDC5L is a spliceosomal protein that is highly conserved across species. It is a member of a protein group that comprise the core of spliceosomal complexes and are essential for pre-mRNA splicing. Cdc5L is involved in the second catalytic step of pre-mRNA splicing, which involves cleavage at the 3' splice site and the ligation of the exons. This process releases the intact intron lariat. A chromosomal aberration involving Cdc5L is found in multicystic renal dysplasia. This aberration is caused by a translocation with USF-2.
偶联与修饰
偶联
Unconjugated
抗原信息
免疫原
Recombinant Protein
Uniprot ID
化学信息
分子量Theoretical: 92/100 kDa.
储存&溶解度
储存方式Store at -20°C or -80°C for 12 months. Avoid repeated freeze-thaw cycles.
运输方式Shipping with blue ice.
存储store at low temperature | -20°C for 1 year

计算器

  • 稀释 计算器
Related Tags: buy Anti-CDC5L Antibody (8R159) | purchase Anti-CDC5L Antibody (8R159) | Anti-CDC5L Antibody (8R159) cost | order Anti-CDC5L Antibody (8R159) | Anti-CDC5L Antibody (8R159) molecular weight