购物车
  • TargetMol
    您的购物车当前为空

Anti-CDC42 Polyclonal Antibody

Synonyms: G25K, cell division cycle 42, CDC42Hs
货号 TMAB-00401 一键复制产品信息
Rating icon 还可以

Anti-CDC42 Polyclonal Antibody 是一种 Rabbit 抗体,靶向 CDC42。Anti-CDC42 Polyclonal Antibody 可用于 IF, IHC-Fr, IHC-P, WB。

Anti-CDC42 Polyclonal Antibody

一键复制产品信息
Rating icon 还可以
货号 TMAB-00401

别名 G25K, cell division cycle 42, CDC42Hs

Anti-CDC42 Polyclonal Antibody 是一种 Rabbit 抗体,靶向 CDC42。Anti-CDC42 Polyclonal Antibody 可用于 IF, IHC-Fr, IHC-P, WB。

Anti-CDC42 Polyclonal Antibody
规格价格库存数量
50 μL
¥ 1,160
5日内发货
100 μL
¥ 1,970
5日内发货
200 μL
¥ 2,795
5日内发货
库存状态实时更新,以官网显示为准,现货产品可直接加购物车下单
大包装 & 定制
加入购物车

TargetMol的所有产品仅用作科学研究或药证申报,不能被用于人体,我们不向个人提供产品和服务。请您遵守承诺用途,不得违反法律法规规定用于任何其他用途。

实验操作小课堂
常见问题解答
查看更多

资源下载:产品操作手册

产品介绍


生物活性
产品描述
Anti-CDC42 Polyclonal Antibody is a Rabbit antibody targeting CDC42. Anti-CDC42 Polyclonal Antibody can be used in IF, IHC-Fr, IHC-P, WB.
别名
G25K, cell division cycle 42, CDC42Hs
Ig Type
IgG
反应种属
Mouse,Rat (predicted:Human,Chicken,Dog,Pig,Cow,Horse,Rabbit)
验证活性
1. Sample:
placenta (Mouse) Lysate at 40 μg
Primary: Anti-CDC42 (TMAB-00401) at 1/300 dilution
Secondary: IRDye800CW Goat Anti-Rabbit IgG at 1/20000 dilution
Predicted band size: 25 kDa
Observed band size: 25 kDa
2. Sample: LympHnode (Mouse) Lysate at 40 μg
Primary: Anti-CDC42 (TMAB-00401) at 1/300 dilution
Secondary: IRDye800CW Goat Anti-Rabbit IgG at 1/20000 dilution
Predicted band size: 25 kDa
Observed band size: 28 kDa
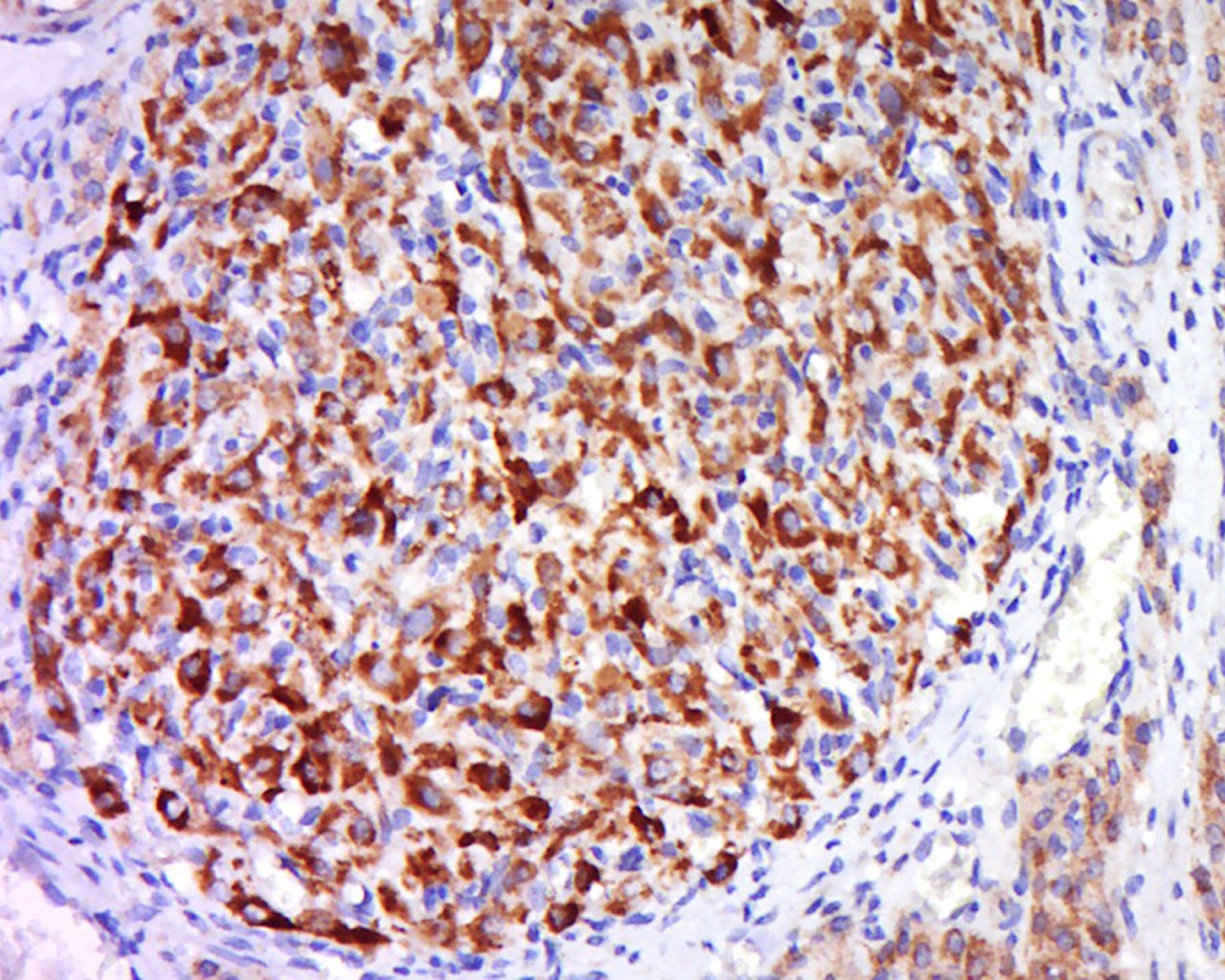
3. Tissue/cell: rat ovary tissue; 4% Paraformaldehyde-fixed and paraffin-embedded;
Antigen retrieval: citrate buffer (0.01M, pH6.0), Boiling bathing for 15 min; Block endogenous peroxidase by 3% Hydrogen peroxide for 30 min; Blocking buffer (normal goat serum) at 37°C for 20 min;
Incubation: Anti-CDC42 Polyclonal Antibody, Unconjugated (TMAB-00401) 1:600, overnight at 4°C, followed by conjugation to the secondary antibody and DAb staining.
4. Paraformaldehyde-fixed, paraffin embedded (rat cerebellum); Antigen retrieval by boiling in sodium citrate buffer (pH6.0) for 15 min; Block endogenous peroxidase by 3% hydrogen peroxide for 20 min; Blocking buffer (normal goat serum) at 37°C for 30 min; Antibody incubation with (CDC42) Polyclonal Antibody, Unconjugated (TMAB-00401) at 1:200 overnight at 4°C, followed by operating according to SP Kit (Rabbit) instructionsand DAB staining.
verifiedActivityverifiedActivityverifiedActivityverifiedActivity
应用IFIHC-FrIHC-PWB
推荐剂量
WB: 1:500-2000; IHC-P: 1:100-500; IHC-Fr: 1:100-500; IF: 1:100-500
抗体种类
Polyclonal
宿主来源Rabbit
亚细胞定位Cell membrane; Lipid-anchor; Cytoplasmic side (Potential). Cytoplasm, cytoskeleton, centrosome. Cytoplasm, cytoskeleton, spindle. Midbody.
构建方式Polyclonal Antibody
纯化方式Protein A purified
性状Liquid
缓冲液0.01M TBS (pH7.4) with 1% BSA, 0.02% Proclin300 and 50% Glycerol.
浓度1 mg/mL
研究背景The protein encoded by this gene is a small GTPase of the Rho-subfamily, which regulates signaling pathways that control diverse cellular functions including cell morphology, migration, endocytosis and cell cycle progression. This protein is highly similar to Saccharomyces cerevisiae Cdc 42, and is able to complement the yeast cdc42-1 mutant. The product of oncogene Dbl was reported to specifically catalyze the dissociation of GDP from this protein. This protein could regulate actin polymerization through its direct binding to Neural Wiskott-Aldrich syndrome protein (N-WASP), which subsequently activates Arp2/3 complex. Alternative splicing of this gene results in multiple transcript variants. Pseudogenes of this gene have been identified on chromosomes 3, 4, 5, 7, 8 and 20. [provided by RefSeq, Apr 2013]
抗原信息
免疫原
KLH conjugated synthetic peptide: human CDC42
抗原种属
Human
基因名称
CDC42
基因ID
蛋白名称
Cell division control protein 42 homolog
Uniprot ID
研究领域
Ras family,Cytokinesis,Kinases/Phosphatases,Regulation,Small G Proteins
功能
Plasma membrane-associated small GTPase which cycles between an active GTP-bound and an inactive GDP-bound state. In active state binds to a variety of effector proteins to regulate cellular responses. Involved in epithelial cell polarization processes. Regulates the bipolar attachment of spindle microtubules to kinetochores before chromosome congression in metaphase. Plays a role in the extension and maintenance of the formation of thin, actin-rich surface projections called filopodia. Mediates CDC42-dependent cell migration.
化学信息
分子量Theoretical: 25 kDa. Actual: 28 kDa.
储存&溶解度
储存方式Store at -20°C or -80°C for 12 months. Avoid repeated freeze-thaw cycles.
运输方式Shipping with blue ice.

计算器

  • 稀释 计算器
  • 配液 计算器
Related Tags: buy Anti-CDC42 Polyclonal Antibody | purchase Anti-CDC42 Polyclonal Antibody | Anti-CDC42 Polyclonal Antibody cost | order Anti-CDC42 Polyclonal Antibody | Anti-CDC42 Polyclonal Antibody molecular weight