• TargetMol
    您的购物车当前为空

Anti-CD93 Polyclonal Antibody

一键复制产品信息
Rating icon 还可以
货号 TMAB-00399

别名 MXRA4, ECSM3, dJ737E23.1, CDw93, CD93, C1qRp, C1QR1, C1qR(p), C1qR, C1q/MBL/SPA receptor

Anti-CD93 Polyclonal Antibody 是一种 Rabbit 抗体,靶向 CD93。Anti-CD93 Polyclonal Antibody 可用于 IF,IHC-Fr,IHC-P。

Anti-CD93 Polyclonal Antibody

Anti-CD93 Polyclonal Antibody

一键复制产品信息
Rating icon 还可以
货号 TMAB-00399 别名 MXRA4, ECSM3, dJ737E23.1, CDw93, CD93, C1qRp, C1QR1, C1qR(p), C1qR, C1q/MBL/SPA receptor

Anti-CD93 Polyclonal Antibody 是一种 Rabbit 抗体,靶向 CD93。Anti-CD93 Polyclonal Antibody 可用于 IF,IHC-Fr,IHC-P。

规格价格库存数量
50 μL
¥ 1,170
5日内发货
100 μL
¥ 1,975
5日内发货
200 μL
¥ 2,785
5日内发货
库存状态实时更新,以官网显示为准,现货产品可直接加购物车下单
大包装 & 定制
加入购物车
TargetMol的所有产品仅用作科学研究或药证申报,不能被用于人体,我们不向个人提供产品和服务。请您遵守承诺用途,不得违反法律法规规定用于任何其他用途。
实验操作小课堂
常见问题解答
查看更多
资源下载:

产品介绍


生物活性
产品描述
Anti-CD93 Polyclonal Antibody is a Rabbit antibody targeting CD93. Anti-CD93 Polyclonal Antibody can be used in IF,IHC-Fr,IHC-P.
别名MXRA4, ECSM3, dJ737E23.1, CDw93, CD93, C1qRp, C1QR1, C1qR(p), C1qR, C1q/MBL/SPA receptor
Ig Type
IgG
反应种属
Human (predicted:Mouse,Rat,Dog)
验证活性
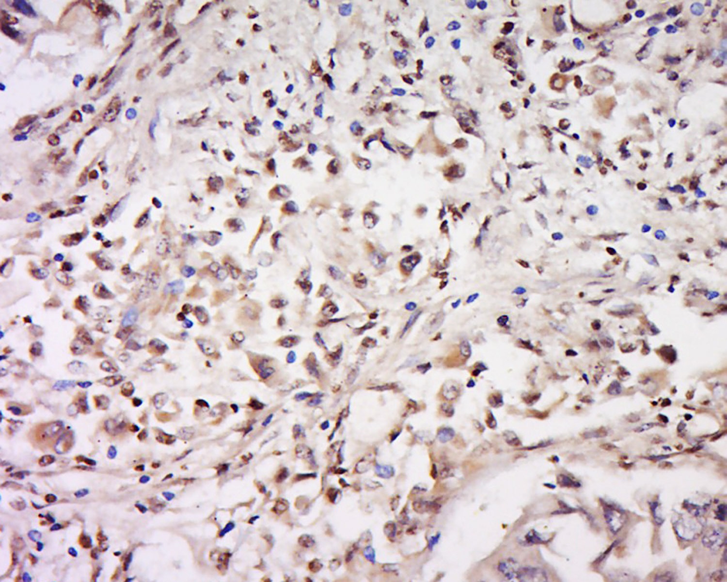
1. Tissue/cell: human lung carcinoma; 4% Paraformaldehyde-fixed and paraffin-embedded;
Antigen retrieval: citrate buffer (0.01M, pH6.0), Boiling bathing for 15 min; Block endogenous peroxidase by 3% Hydrogen peroxide for 30 min; Blocking buffer (normal goat serum) at 37°C for 20 min;
Incubation: Anti-CD93 Polyclonal Antibody, Unconjugated (TMAB-00399) 1:200, overnight at 4°C, followed by conjugation to the secondary antibody and DAb staining.
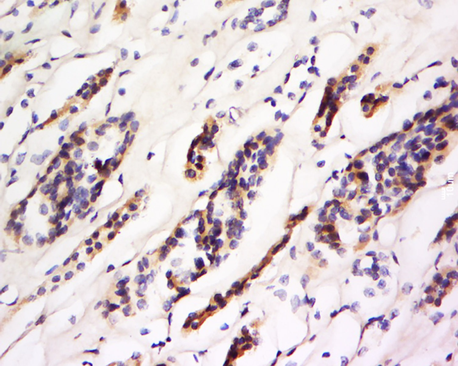
2. Tissue/cell: human kidney tissue; 4% Paraformaldehyde-fixed and paraffin-embedded;
Antigen retrieval: citrate buffer (0.01M, pH6.0), Boiling bathing for 15 min; Block endogenous peroxidase by 3% Hydrogen peroxide for 30 min; Blocking buffer (normal goat serum) at 37°C for 20 min;
Incubation: Anti-CD93 Polyclonal Antibody, Unconjugated (TMAB-00399) 1:200, overnight at 4°C, followed by conjugation to the secondary antibody and DAb staining.
verifiedActivityverifiedActivity
应用IFIHC-FrIHC-P
推荐剂量
IHC-P: 1:100-500; IHC-Fr: 1:100-500; IF: 1:100-500
抗体种类
Polyclonal
宿主来源Rabbit
亚细胞定位Membrane; Single-pass type I membrane protein.
组织特异性Highly expressed in endothelial cells, platelets, cells of myeloid origin, such as monocytes and neutrophils. Not expressed in cells of lymphoid origin.
构建方式Polyclonal Antibody
纯化方式Protein A purified
性状Liquid
缓冲液0.01M TBS (pH7.4) with 1% BSA, 0.02% Proclin300 and 50% Glycerol.
浓度1 mg/mL
研究背景The protein encoded by this gene is a cell-surface glycoprotein and type I membrane protein that was originally identified as a myeloid cell-specific marker. The encoded protein was once thought to be a receptor for C1q, but now is thought to instead be involved in intercellular adhesion and in the clearance of apoptotic cells. The intracellular cytoplasmic tail of this protein has been found to interact with moesin, a protein known to play a role in linking transmembrane proteins to the cytoskeleton and in the remodelling of the cytoskeleton. [provided by RefSeq, Jul 2008].
抗原信息
免疫原
KLH conjugated synthetic peptide: human CD93
抗原种属
Human
基因名称
CD93
基因ID
蛋白名称
Complement component C1q receptor
Uniprot ID
研究领域
Endothelial Cell Markers,Adhesion,Surface Molecules
功能
Receptor (or element of a larger receptor complex) for C1q, mannose-binding lectin (MBL2) and pulmonary surfactant protein A (SPA). May mediate the enhancement of phagocytosis in monocytes and macrophages upon interaction with soluble defense collagens. May play a role in intercellular adhesion.
化学信息
分子量Theoretical: 70 kDa.
储存&溶解度
储存方式Store at -20°C or -80°C for 12 months. Avoid repeated freeze-thaw cycles.
运输方式Shipping with blue ice.
存储store at low temperature | store at -20°C

计算器

  • 稀释 计算器
Related Tags: buy Anti-CD93 Polyclonal Antibody | purchase Anti-CD93 Polyclonal Antibody | Anti-CD93 Polyclonal Antibody cost | order Anti-CD93 Polyclonal Antibody | Anti-CD93 Polyclonal Antibody molecular weight