• TargetMol
    您的购物车当前为空

Anti-CD8 alpha Polyclonal Antibody 2

一键复制产品信息
Rating icon 还可以
货号 TMAB-00389

别名 p32, OKT8 T-cell antigen, MAL, Lyt-2, Leu2, CD8a molecule, CD8a, CD8 α/CD8A, CD8

Anti-CD8 alpha Polyclonal Antibody 2 是一种 Rabbit 抗体,靶向 CD8 alpha。Anti-CD8 alpha Polyclonal Antibody 2 可用于 IF,IHC-Fr,IHC-P,WB。

Anti-CD8 alpha Polyclonal Antibody 2

Anti-CD8 alpha Polyclonal Antibody 2

一键复制产品信息
Rating icon 还可以
货号 TMAB-00389 别名 p32, OKT8 T-cell antigen, MAL, Lyt-2, Leu2, CD8a molecule, CD8a, CD8 α/CD8A, CD8

Anti-CD8 alpha Polyclonal Antibody 2 是一种 Rabbit 抗体,靶向 CD8 alpha。Anti-CD8 alpha Polyclonal Antibody 2 可用于 IF,IHC-Fr,IHC-P,WB。

规格价格库存数量
50 μL
¥ 1,170
5日内发货
100 μL
¥ 1,970
5日内发货
库存状态实时更新,以官网显示为准,现货产品可直接加购物车下单
大包装 & 定制
加入购物车
TargetMol的所有产品仅用作科学研究或药证申报,不能被用于人体,我们不向个人提供产品和服务。请您遵守承诺用途,不得违反法律法规规定用于任何其他用途。
实验操作小课堂
常见问题解答
查看更多
资源下载:

产品介绍


生物活性
产品描述
Anti-CD8 alpha Polyclonal Antibody 2 is a Rabbit antibody targeting CD8 alpha. Anti-CD8 alpha Polyclonal Antibody 2 can be used in IF,IHC-Fr,IHC-P,WB.
别名p32, OKT8 T-cell antigen, MAL, Lyt-2, Leu2, CD8a molecule, CD8a, CD8 α/CD8A, CD8
Ig Type
IgG
反应种属
Rat
验证活性
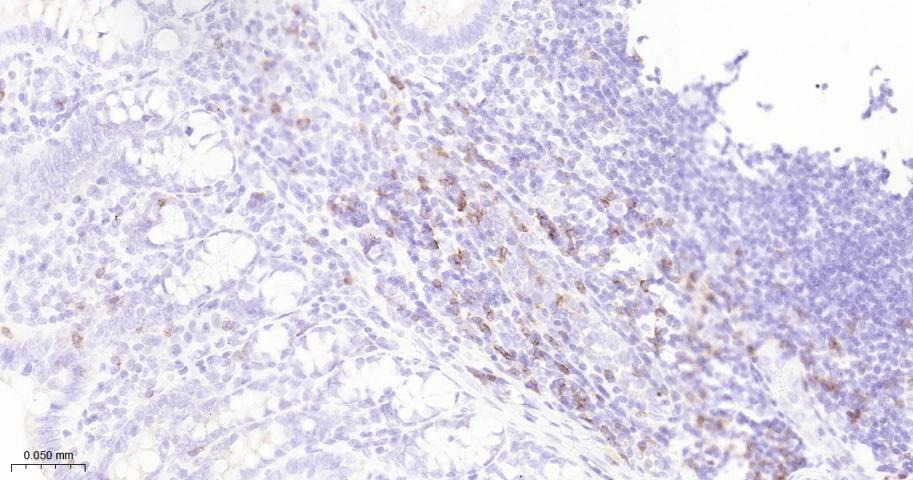
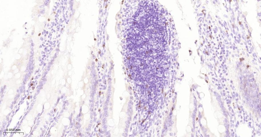
1. Paraformaldehyde-fixed, paraffin embedded Rat Colon; Antigen retrieval by boiling in sodium citrate buffer (pH6.0) for 15 min; The section was incubated with CD8 Polyclonal Antibody, Unconjugated (TMAB-00389) at 1:500 overnight at 4°C, followed by conjugation to the secondary antibody and DAB staining.
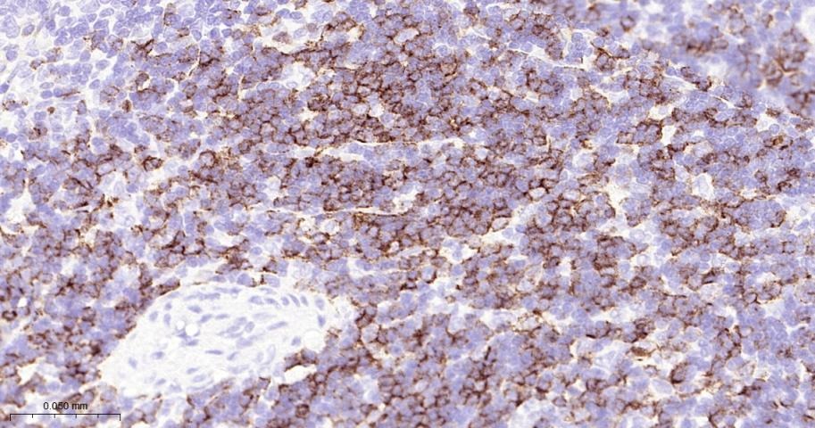
2. Paraformaldehyde-fixed, paraffin embedded Rat Spleen; Antigen retrieval by boiling in sodium citrate buffer (pH6.0) for 15 min; The section was incubated with CD8 Polyclonal Antibody, Unconjugated (TMAB-00389) at 1:500 overnight at 4°C, followed by conjugation to the secondary antibody and DAB staining.
3. Paraformaldehyde-fixed, paraffin embedded Rat Small Intestine; Antigen retrieval by boiling in sodium citrate buffer (pH6.0) for 15 min; The section was incubated with CD8 Polyclonal Antibody, Unconjugated (TMAB-00389) at 1:500 overnight at 4°C, followed by conjugation to the secondary antibody and DAB staining.
verifiedActivityverifiedActivityverifiedActivity
应用IFIHC-FrIHC-PWB
推荐剂量
WB: 1:500-2000; IHC-P: 1:200-500; IHC-Fr: 1:200-500; IF: 1:200-500
抗体种类
Polyclonal
宿主来源Rabbit
亚细胞定位Membrane; Single-pass type I membrane protein.
组织特异性Most prominently found in the gastrointestinal tract, skin, lung, and brain but not in liver.
构建方式Polyclonal Antibody
纯化方式Protein A purified
性状Liquid
缓冲液0.01M TBS (pH7.4) with 1% BSA, 0.02% Proclin300 and 50% Glycerol.
浓度1 mg/mL
研究背景The CD8 antigen is a cell surface glycoprotein found on most cytotoxic T lymphocytes that mediates efficient cell-cell interactions within the immune system. The CD8 antigen acts as a coreceptor with the T-cell receptor on the T lymphocyte to recognize antigens displayed by an antigen presenting cell in the context of class I MHC molecules. The coreceptor functions as either a homodimer composed of two alpha chains or as a heterodimer composed of one alpha and one beta chain. Both alpha and beta chains share significant homology to immunoglobulin variable light chains. This gene encodes the CD8 alpha chain. Multiple transcript variants encoding different isoforms have been found for this gene. The major protein isoforms of this gene differ by the presence or absence of a transmembrane domain and thus differ in being a membrane-anchored or secreted protein. [provided by RefSeq, May 2020]
抗原信息
免疫原
KLH conjugated synthetic peptide: human CD8
抗原种属
Human
基因名称
CD8A
基因ID
蛋白名称
T-cell surface glycoprotein CD8 alpha chain
Uniprot ID
研究领域
Cytotoxic Cells,CD,CD markers
功能
Identifies cytotoxic/suppressor T-cells that interact with MHC class I bearing targets. CD8 is thought to play a role in the process of T-cell mediated killing. CD8 alpha chains binds to class I MHC molecules alpha-3 domains.
化学信息
分子量Theoretical: 27 kDa.
储存&溶解度
储存方式Store at -20°C or -80°C for 12 months. Avoid repeated freeze-thaw cycles.
运输方式Shipping with blue ice.
存储store at low temperature | store at -20°C

计算器

  • 稀释 计算器

关键词

Related Tags: buy Anti-CD8 alpha Polyclonal Antibody 2 | purchase Anti-CD8 alpha Polyclonal Antibody 2 | Anti-CD8 alpha Polyclonal Antibody 2 cost | order Anti-CD8 alpha Polyclonal Antibody 2 | Anti-CD8 alpha Polyclonal Antibody 2 molecular weight