• TargetMol
    您的购物车当前为空

Anti-CD74 Polyclonal Antibody

一键复制产品信息
Rating icon 还可以
货号 TMAB-00387

别名 Ii, Ia-γ, Ia-GAMMA, HLADG, DHLAG, CLIP, CD74 molecule, major histocompatibility complex, class II invariant chain

Anti-CD74 Polyclonal Antibody 是一种 Rabbit 抗体,靶向 CD74。Anti-CD74 Polyclonal Antibody 可用于 ELISA,IF,IHC-Fr,IHC-P。

Anti-CD74 Polyclonal Antibody

Anti-CD74 Polyclonal Antibody

一键复制产品信息
Rating icon 还可以
货号 TMAB-00387 别名 Ii, Ia-γ, Ia-GAMMA, HLADG, DHLAG, CLIP, CD74 molecule, major histocompatibility complex, class II invariant chain

Anti-CD74 Polyclonal Antibody 是一种 Rabbit 抗体,靶向 CD74。Anti-CD74 Polyclonal Antibody 可用于 ELISA,IF,IHC-Fr,IHC-P。

规格价格库存数量
50 μL
¥ 1,160
5日内发货
100 μL
¥ 1,960
5日内发货
200 μL
¥ 2,795
5日内发货
库存状态实时更新,以官网显示为准,现货产品可直接加购物车下单
大包装 & 定制
加入购物车
TargetMol的所有产品仅用作科学研究或药证申报,不能被用于人体,我们不向个人提供产品和服务。请您遵守承诺用途,不得违反法律法规规定用于任何其他用途。
实验操作小课堂
常见问题解答
查看更多
资源下载:

产品介绍


生物活性
产品描述
Anti-CD74 Polyclonal Antibody is a Rabbit antibody targeting CD74. Anti-CD74 Polyclonal Antibody can be used in ELISA,IF,IHC-Fr,IHC-P.
别名Ii, Ia-γ, Ia-GAMMA, HLADG, DHLAG, CLIP, CD74 molecule, major histocompatibility complex, class II invariant chain
Ig Type
IgG
反应种属
Mouse
验证活性
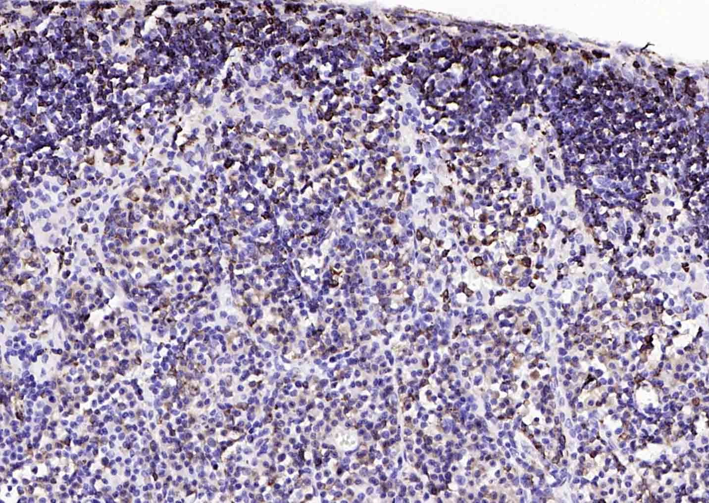
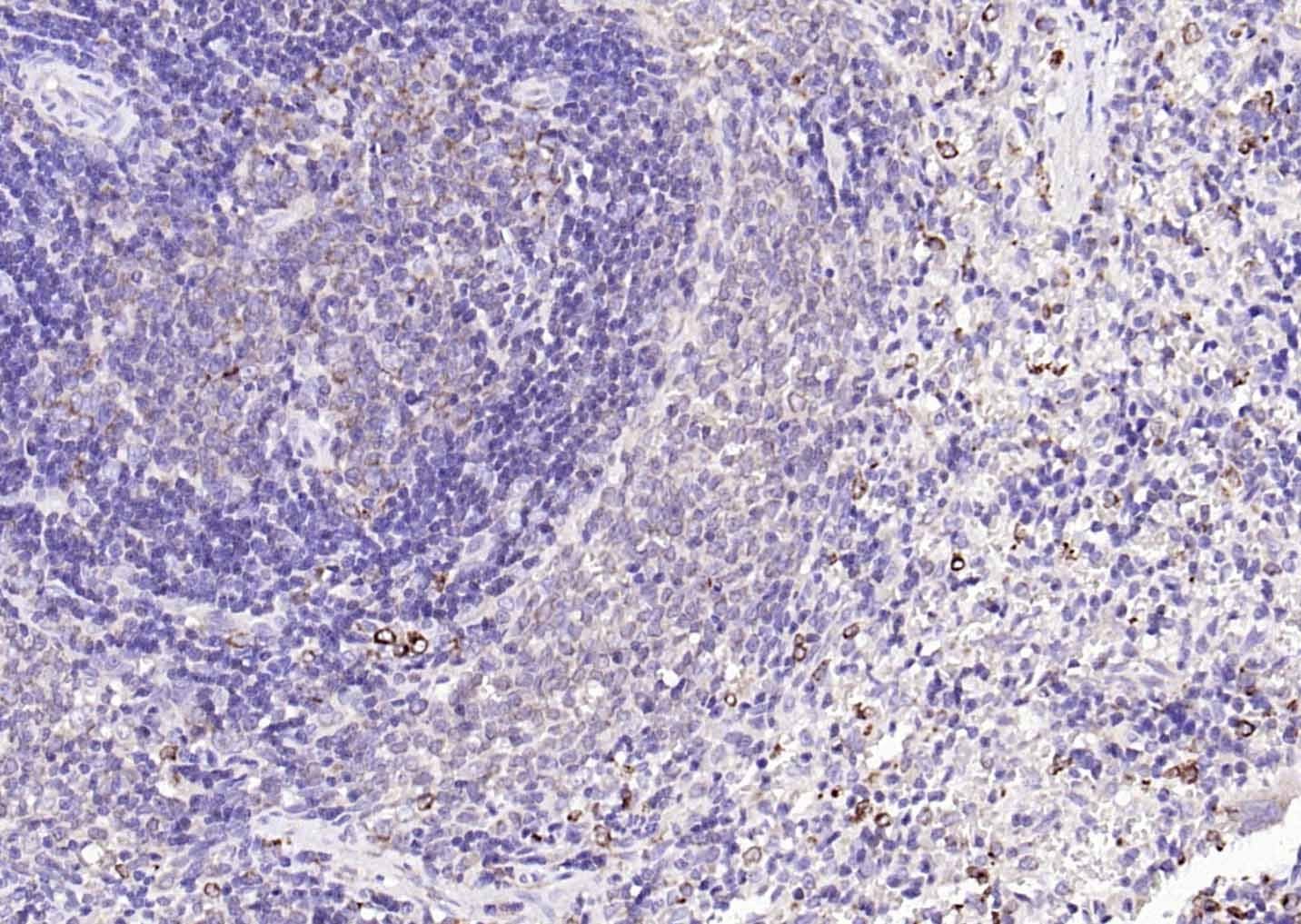
1. Paraformaldehyde-fixed, paraffin embedded Mouse Spleen; Antigen retrieval by boiling in sodium citrate buffer (pH6.0) for 15 min; Antibody incubation with CD74 Polyclonal Antibody, Unconjugated (TMAB-00387) at 1:200 overnight at 4°C, followed by conjugation to the secondary antibody and DAB staining.
2. Paraformaldehyde-fixed, paraffin embedded Mouse Lymph; Antigen retrieval by boiling in sodium citrate buffer (pH6.0) for 15 min; Antibody incubation with CD74 Polyclonal Antibody, Unconjugated (TMAB-00387) at 1:200 overnight at 4°C, followed by conjugation to the secondary antibody and DAB staining.
3. Paraformaldehyde-fixed, paraffin embedded Mouse Thymus; Antigen retrieval by boiling in sodium citrate buffer (pH6.0) for 15 min; Antibody incubation with CD74 Polyclonal Antibody, Unconjugated (TMAB-00387) at 1:200 overnight at 4°C, followed by conjugation to the secondary antibody and DAB staining.
verifiedActivityverifiedActivityverifiedActivity
应用ELISAIFIHC-FrIHC-P
推荐剂量
IHC-P: 1:100-500; IHC-Fr: 1:100-500; IF: 1:100-500; ELISA: 1:5000-10000
抗体种类
Polyclonal
宿主来源Rabbit
亚细胞定位Cell membrane; Single-pass type II membrane protein (Potential). Endoplasmic reticulum membrane. Golgi apparatus, trans-Golgi network. Endosome. Lysosome. Note=Transits through a number of intracellular compartments in the endocytic pathway. It can either undergo proteolysis or reach the cell membrane.
构建方式Polyclonal Antibody
纯化方式Protein A purified
性状Liquid
缓冲液0.01M TBS (pH7.4) with 1% BSA, 0.02% Proclin300 and 50% Glycerol.
浓度1 mg/mL
研究背景CD74, also known as the MHC class II associated invariant chain (Ii), is a type II transmembrane protein which binds to the peptide binding groove of newly synthesized MHC class II alpha/beta heterodimers and prevents their premature association with endogenous polypeptides. CD74 is produced in molar excess over MHC class II and some of this is expressed by an unknown pathway on the cell surface independent of, or in association with, MHC class II molecules. The half life of CD74 on the cell surface is only 3 to 4 min after which it is internalized. It has been proposed that cell surface CD74 binds The protein encoded by this gene associates with class II major histocompatibility complex (MHC) and is an important chaperone that regulates antigen presentation for immune response. It also serves as cell surface receptor for the cytokine macrophage migration inhibitory factor (MIF) which, when bound to the encoded protein, initiates survival pathways and cell proliferation. This protein also interacts with amyloid precursor protein (APP) and suppresses the production of amyloid beta (Abeta). Multiple alternatively spliced transcript variants encoding different isoforms have been identified. [provided by RefSeq, Aug 2011]
抗原信息
免疫原
KLH conjugated synthetic peptide: human CD74
抗原种属
Human
基因名称
CD74
基因ID
蛋白名称
HLA class II histocompatibility antigen gamma chain
Uniprot ID
研究领域
SARS Coronavirus,CD
功能
Plays a critical role in MHC class II antigen processing by stabilizing peptide-free class II alpha/beta heterodimers in a complex soon after their synthesis and directing transport of the complex from the endoplasmic reticulum to the endosomal/lysosomal system where the antigen processing and binding of antigenic peptides to MHC class II takes place. Serves as cell surface receptor for the cytokine MIF.
化学信息
分子量Theoretical: 34 kDa. Actual: 35 kDa.
储存&溶解度
储存方式Store at -20°C or -80°C for 12 months. Avoid repeated freeze-thaw cycles.
运输方式Shipping with blue ice.
存储store at low temperature | store at -20°C

计算器

  • 稀释 计算器
Related Tags: buy Anti-CD74 Polyclonal Antibody | purchase Anti-CD74 Polyclonal Antibody | Anti-CD74 Polyclonal Antibody cost | order Anti-CD74 Polyclonal Antibody | Anti-CD74 Polyclonal Antibody molecular weight