购物车
  • 全部删除
  • TargetMol
    您的购物车当前为空

Anti-CD63 Antibody (1H895)

一键复制产品信息
Rating icon 还可以
产品编号 TMAC-00726
别名 Tspan30, OMA81H, MLA1, ME491, LAMP-3, CD63 molecule

Anti-CD63 Antibody (1H895) 是一种 Rabbit 抗体,靶向 CD63。Anti-CD63 Antibody (1H895) 可用于 IHC,WB。

Anti-CD63 Antibody (1H895)

Anti-CD63 Antibody (1H895)

一键复制产品信息
Rating icon 还可以
产品编号 TMAC-00726 别名 Tspan30, OMA81H, MLA1, ME491, LAMP-3, CD63 molecule

Anti-CD63 Antibody (1H895) 是一种 Rabbit 抗体,靶向 CD63。Anti-CD63 Antibody (1H895) 可用于 IHC,WB。

规格价格库存数量
50 μL
¥ 1,480
5日内发货
100 μL
¥ 2,490
5日内发货
大包装 & 定制
加入购物车
TargetMol 的所有产品仅用作科学研究或药证申报,不能被用于人体,我们不向个人提供产品和服务。请您遵守承诺用途,不得违反法律法规规定用于任何其他用途。
实验操作小课堂
常见问题解答
查看更多
联系我们获取更多批次信息
资源下载

产品介绍

生物活性
产品描述
Anti-CD63 Antibody (1H895) is a Rabbit antibody targeting CD63. Anti-CD63 Antibody (1H895) can be used in IHC,WB.
别名Tspan30, OMA81H, MLA1, ME491, LAMP-3, CD63 molecule
Ig Type
IgG
克隆号
1H895
交叉反应
Human
验证活性
1. All lanes use the Antibody at 1:1K dilution for 1 hour at room temperature.
2. Western blot analysis of CD63 expression in A375 cell lysate.
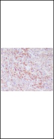
3. Immunohistochemical analysis of paraffin-embedded human spleen, using CD63 Antibody.
4. Immunofluorescent analysis using the Antibody at 1:50 dilution.
verifiedActivityverifiedActivityverifiedActivityverifiedActivity
应用IHCWB
推荐剂量
WB: 1:1000-2000; IHC: 1:500-1000
抗体种类
Monoclonal
宿主来源Rabbit
构建方式Recombinant Antibody
纯化方式Affinity-chromatography
性状Liquid
缓冲液Rabbit IgG in phosphate buffered saline , pH 7.4, 150mM NaCl, 0.02% sodium azide and 50% glycerol
研究背景Functions as cell surface receptor for TIMP1 and plays a role in the activation of cellular signaling cascades. Plays a role in the activation of ITGB1 and integrin signaling, leading to the activation of AKT, FAK/PTK2 and MAP kinases. Promotes cell survival, reorganization of the actin cytoskeleton, cell adhesion, spreading and migration, via its role in the activation of AKT and FAK/PTK2.
偶联与修饰
偶联
Unconjugated
抗原信息
免疫原
A synthesized peptide: human CD63
抗原种属
human
Uniprot ID
化学信息
分子量Theoretical: 26 kDa.
存储&运输
储存方式Store at 2°C-8°C for 1 month. Store at -20°C or -80°C for 12 months. Avoid repeated freeze-thaw cycles.
运输方式Shipping with blue ice.

计算器

  • 稀释 计算器

关键词

评论列表

4个月前
5.0
Rating icon 很棒

评论内容

Related Tags: buy Anti-CD63 Antibody (1H895) | purchase Anti-CD63 Antibody (1H895) | Anti-CD63 Antibody (1H895) cost | order Anti-CD63 Antibody (1H895) | Anti-CD63 Antibody (1H895) molecular weight